Anwendungshinweisen

Kontaktieren Sie uns

Digitalisieren von Objektträgern mit einem manuellen Mikroskop und einer Digitalkamera

Die wachsende Bedeutung der Digitalisierung von Objektträgerproben

Die Steigerung der Effizienz von Laborabläufen durch Digitalisierung von Objektträgerpräparaten, eine Praxis, die unter dem Begriff Whole Slide Imaging (WSI) bekannt ist, gewinnt zunehmend an Bedeutung. Die Bildgebung kompletter Objektträger hat viele Vorteile für die Produktivität, da kein Mikroskop erforderlich ist, um eine Probe zu betrachten. Stattdessen können virtuelle Bilder der Objektträger auf dem PC angezeigt werden, wobei sich die Beobachtungsposition und die Vergrößerung verändern sowie Proben gemeinsam auch aus der Ferne betrachten lassen.

Vollmotorgesteuerte virtuelle Objektträger-Scanner können zwar den WSI-Prozess rationalisieren, doch hat nicht jeder Forscher das Budget, den Platz oder die Datenkapazität für einen solchen Scanner. Eine Alternative ist die Kombination des manuellen Mikroskops BX53 von Olympus mit einer Digitalkamera DP74, um auch bei begrenztem Platzangebot eine kostengünstige Objektträgerdigitalisierung durchzuführen.

Die wachsende Bedeutung der Digitalisierung von Objektträgerproben

Manuelle Digitalisierung von Objektträgern

Die manuelle Digitalisierung von Objektträgern (manual Whole Slide Imaging - mWSI) erzeugt digitale Bilddaten eines kompletten Präparats ohne motorgesteuerten Tisch. Für den mWSI-Ansatz werden das manuelle Mikroskop BX53 von Olympus, die Digitalkamera DP74 und die cellSen-Software zu einer effektiven Methode zur Erstellung von Panoramabildern bei geringer Vergrößerung kombiniert. Bei manueller Verstellung des Tischs werden die aufgenommenen Bilder in Echtzeit zusammengefügt. In einem beliebigen Bereich kann das gesamte Probenbild aufgenommen werden. So kann z. B. ein Probenbereich von 15 mm2 mit einem 4X Objektiv in etwa 30 Sekunden gescannt werden.

Häufige Anwendungen für die manuelle Objektträgerdigitalisierung

1. Fall. Gruppendiskussionen

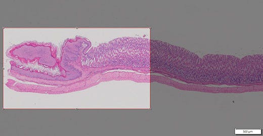
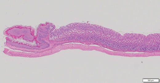
In bestimmten Situationen, beispielweise in einer Studiengruppe, kann es notwendig sein, das gesamte Präparat sowohl mit hoher als auch mit niedriger Vergrößerung anzeigen. Bei der manuellen Objektträgerdigitalisierung wird mit einem Objektiv mit geringer Vergrößerung ein Bild der gesamten Probe aufgenommen (Abbildung 1). Die Gruppe kann während der Diskussion das Bild des virtuellen Objektträgers auf einem Bildschirm betrachten, statt am Mikroskop zu arbeiten. Die manuelle Objektträgerdigitalisierung erleichtert auch die Diskussion über Probenbilder, die mit hoher Vergrößerung aufgenommen wurden, da erkennbar ist, wo sich das Bild auf der Objektträgerprobe befindet (Abbildung 2).

2. Fall. Bilder für akademische Konferenzen und Forschungsarbeiten

Akademische Konferenzposter und Vorträge müssen oft eine Vielzahl von Bildern enthalten. Es kann jedoch schwierig sein, die gesamte Probe zu erfassen, selbst mit einem Objektiv mit geringer Vergrößerung. Mit der manuellen Objektträgerdigitalisierung lassen sich mehrere Bereiche nahtlos zu einem klaren Übersichtsbild zusammenfügen (Abbildung 3). Anschließend wird das gekachelte Bild zugeschnitten, um einen bestimmten Bereich zu erfassen (Abbildung 4).

Abb. 3: Breites Übersichtsbild einer Probe

Abb. 3: Breites Übersichtsbild einer Probe

Abb. 4: Das Übersichtsbild lässt sich zuschneiden, um den interessierenden Bereich zu erfassen.

Abb. 4: Das Übersichtsbild lässt sich zuschneiden, um den interessierenden Bereich zu erfassen.

3. Fall. Digitales Archiv

In der Vergangenheit waren vollmotorgesteuerte virtuelle Objektträger-Scanner notwendig, um ein ganzes Präparat als virtuelles Objektträgerbild zu erfassen. Mit der manuellen Objektträgerdigitalisierung lässt sich mit weniger Daten ein digitales Archiv erstellen, wenn das Mikroskop BX53 durch eine Digitalkamera DP74 und die cellSens-Software ergänzt wird.
Bei einigen Proben, beispielweise Zell-Clustern, muss die multifokale Ebene aufgenommen werden. Dazu wird einfach ein Video aufgenommen und dabei die Fokusposition manuell verschoben, so dass die notwendigen Informationen in einer kleineren Datei vorliegen.

Fall 4. Fernkonsultation

Bei Fernbetrachtungen, wie sie in der Ausbildung üblich sind, müssen die unter dem Mikroskop aufgenommenen Probenbilder elektronisch freigegeben werden. Es kann jedoch schwierig und zeitaufwendig sein, ein Mikroskop für eine Videokonferenz einzurichten. Durch Digitalisierung der gesamten Probe im Voraus mit der manuellen Objektträger-Digitalisierung lässt sich eine Probe problemlos gemeinsam mit Kollegen und Beratern per Remote-Technik überprüfen.

Verbesserte Beobachtung mit manueller Bilddigitalisierung von Objektträgern

Mit unserer manuellen Objektträger-Bilddigitalisierung mit dem manuellen Mikroskop BX53 von Olympus, der Digitalkamera DP74 und der cellSens-Software lassen sich Proben effizienter und kostengünstiger betrachten als mit motorgesteuerten virtuellen Objektträger-Scannern.

Verwendete Produkte

Halbmotorisiertes Fluoreszenzmikroskop

BX53

  • Echtfarben-LED-Beleuchtung mit hoher Lichtstärke
  • Modulares Konzept ermöglicht die Motorsteuerung einzelner Komponenten
  • Einfaches Erfassen von mehrfarbigen Fluoreszenzbildern

Mehr erfahren

Digitale Mikroskopkamera

DP74

Die digitale DP74 Mikroskopkamera mit gekühltem CMOS-Sensor ermöglicht eine scharfe Fluoreszenzdarstellung und liefert hochwertige Farbbilder mit 60 fps. Der Positionsnavigator der Kamera gestattet ferner die visuelle Nachverfolgung des Bereichs von Interesse.

  • Hochwertige Farbbilder von Lebendproben bei einer Bildfrequenz von 60 fps
  • Positionsnavigator für visuelles Tracking des interessierenden Bereichs in einem zusammengefügten Bild
  • Scharfe Fluoreszenzbilder mit weniger Hintergrundrauschen durch den gekühlten CMOS-Sensor

Mehr erfahren

cellSens

Das Layout der Benutzeroberfläche der cellSens Software mit intuitiver Bedienung und nahtlosem Arbeitsablauf kann benutzerindividuell verändert werden. Die cellSens Software ist in verschiedenen Versionen verfügbar und bietet eine Vielzahl an Funktionen, die für spezifische Bildgebungsanforderungen optimiert sind. Funktionen wie der Graphic Experiment Manager und der Well Navigator können die 5D-Bildaufnahme erleichtern. TruSight Dekonvolution verbessert die Auflösung, und mit dem Conference Mode können Aufnahmen geteilt werden.

  • Mehr Effizienz bei der Versuchsdurchführung mit der TruAI Deep Learning Segmentierungsanalyse für eine markerfreie Zellkernerkennung und Zellzählung
  • Modulare Imaging-Software-Plattform
  • Intuitive, anwendungsorientierte Benutzeroberfläche
  • Großer Funktionsumfang von der einfachen Momentaufnahme bis hin zu komplexen, mehrdimensionalen Echtzeitexperimenten

Mehr erfahren