Licht ins Verborgene bringen: Wie scanR das Unsichtbare sichtbar macht

Yeasts imaged with the scanR high-content screening system and analyzed with TruAI deep-learning technology.

Rebecca Chandler

Rebecca Chandler

24. Juli 2025

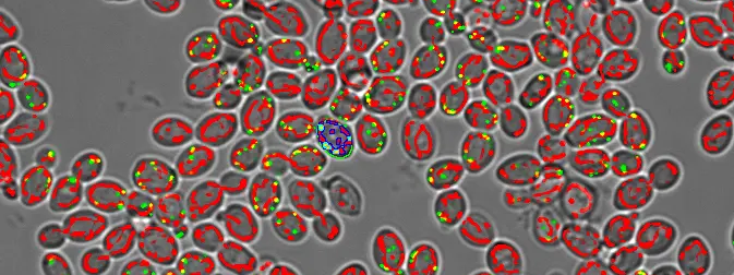
Hefen in einer Well-Platte in Nahaufnahme mit einem automatisierten scanR High-Content-Screening-System mit Spinning-Disk-Mikroskoptechnologie und einem 40-fachen XAPO-Luftobjektiv (NA 0,95). Die vom Mikroskop aufgenommenen Originalbilder sind viermal größer. Die Hefen haben einen Durchmesser von etwa 5 μm. Rote und grüne Signale sind Organellen-Wahrscheinlichkeiten, die aus vorab trainierten KI-Netzwerken innerhalb der scanR-Software berechnet werden.

Mit scanR können Forschende mehr schaffen, entdecken und erreichen als jemals zuvor.

Für Evident geht es bei Innovation nicht nur darum, neue Tools zu entwickeln, sondern eine Zukunft zu ermöglichen, in der Wissenschaftler und Mediziner Barrieren überwinden, bisher Unsichtbares sichtbar machen und bedeutende Fortschritte in den Bereichen Gesundheit, Biologie und Technologie erzielen können.

Unser kürzlich aktualisiertes High-Content-Screening-System scanR, Version 3.6, setzt diesbezüglich Maßstäbe. Um mehr darüber zu erfahren, sprachen wir mit Dr. Manoel Veiga, Anwendungsspezialist bei Evident und einer der Entwickler der neuesten Version von scanR

über die Zukunft der Bildgebung, künstliche Intelligenz und Entdeckungen in großem Maßstab.

Entwicklung von Plattformen, die die Grenzen der Wissenschaft erweitern

F: Dr. Veiga, fangen wir mit den Grundlagen an. Was bedeutet „Schaffen“ im Zusammenhang mit scanR Version 3.6?

Dr. Veiga: Für Evident bedeutet „schaffen“, Forschenden eine Plattform zur Verfügung zu stellen, die mehr kann als nur Bilder erfassen – es geht darum, die Schaffung von echtem Wissen zu ermöglichen. Ob es um die Entwicklung eines völlig neuen Assays oder um ein neues KI-Modell zur Verbesserung eines bereits etablierten Assays geht: scanR fungiert als Sprungbrett für wissenschaftliche Innovationen.

Lassen Sie uns einige Beispiele aus der Vergangenheit und der Gegenwart betrachten. Vor mehr als einem Jahrzehnt entwickelten Forschende inspiriert von der Bildzytometrie-Schnittstelle von scanR eine vollständige Erfassungs- und Analyselösung mit dem Namen „Quantitative Image-Based Cytometry“ (quantitative bildbasierte Zytometrie). Diese Entwicklung führte zu einer Reihe von viel beachteten Veröffentlichungen in der Krebsforschung.1 Streudiagramme von Tausenden einzelner Zellkerne, in denen der DNA-Inhalt mit spezifischen Proteinmarkern verglichen wurde, trugen dazu bei, die biologischen Mechanismen und Abläufe aufzudecken, die bei der Reaktion auf Medikamente eine Rolle spielen.

Gerade in diesem Jahr, 2025, wurde aufbauend auf den KI- und Zytometrie-Fähigkeiten von scanR ein Arbeitsablauf entwickelt, der als „Quantitative AI-based DNA fiber workflow” (Quantitativen KI-basierten DNA-Faser-Arbeitsablauf) bezeichnet wurde. Bei diesem Verfahren wurde der Replikationsstress anhand der einzelnen DNA-Fasern, die unter dem Mikroskop abgebildet wurden, in automatisierter Weise untersucht.2 Die DNA-Faseranalyse gab es bereits, aber ausschließlich mit manueller Bildaufnahme und -analyse, was sie zeitaufwändig und anfällig für Benutzerfehler machte. Der neue KI-basierte DNA-Faser-Workflow (qAID) ermöglicht die Bildgebung und Multiparameteranalyse von Tausenden von DNA-Fasern innerhalb von weniger als einer Stunde.

Schritte der automatisierten Bildanalyse von DNA-Fasern mit dem High-Content-Screening-System scanR.

Diese Beispiele zeigen, dass Forschende mit dem Erwerb eines scanR Systems nicht nur ein Mikroskop kaufen. Sie erzielen echte Ergebnisse.

F: Was unterscheidet scanR 3.6 von früheren Versionen?

Dr. Veiga: Die wichtigste Änderung besteht darin, dass scanR Version 3.6 mit der IXplore™ IX85-Plattform kompatibel ist – einem motorgesteuerten inversen Mikroskop mit einer branchenführenden Bildfeldgröße von 26,5 mm und einem unübertroffenen Sichtfeld. Die Einzelbilder der Kamera sind jetzt ebenfalls größer, was zu besseren statistischen Ergebnissen führt: 50 % mehr Zellen pro Bild und schnellere Scans, da man für die gleichen Zellstatistiken nicht mehr so viele Bilder wie zuvor erfassen muss.

Links: Die höhere Feldzahl erhöht die Anzahl der Zellen. Rechts: Motorgesteuerte inverse Mikroskop-Plattform Ixplore IX85.

Neben der neuen IX85 Plattform unterstützen wir nun auch eine größere Auswahl an Spinning-Disk-Konfigurationen. Zusätzlich zum CSU-W1 von Yokogawa, der in seiner SoRa-Version die Super-Resolution-Bildgebung unterstützt, haben wir nun Crest X-Light V3 mit einem speziellen Kopplungsdesign integriert, um das große Sichtfeld des IX85 optimal zu nutzen.


Jedoch trägt nicht nur die Hardware zu schnelleren Ergebnissen bei.

Der gesamte Software-Workflow ist ebenso entscheidend:

  1. Eine hervorragende Hardware beschleunigt das Scannen nicht, wenn die Benutzer viel Zeit für die Einrichtung der Erfassungsexperimente aufwenden müssen. Mit scanR lassen sich Erfassungsexperimente mit nur wenigen Klicks über die Software starten, wobei alle Zellen im Fokus bleiben.
  2. Die Gesamtgeschwindigkeit wird durch parallele Erfassung und Analyse beschleunigt. Wir haben Feedback von Nutzern erhalten, dass Aufgaben, die zuvor Wochen oder sogar Monate dauerten, nun deutlich schneller erledigt werden können – manchmal in nur wenigen Stunden.

F: KI scheint in scanR Version 3.6 eine größere Rolle zu spielen. Wie verbessert sie das System?

Dr. Veiga: Die meisten Analyseverfahren basieren auf derselben Abfolge:

1) Segmentierung von Objekten.

2) Extraktion der Merkmale dieser Objekte.

3) Klassifizierung einzelner Zellen anhand der extrahierten Merkmale.

4) Ermittlung eines genauen prozentualen Anteils der einzelnen Zelltarten je nach den Behandlungen.

Je besser Sie diese Objekte segmentieren können, desto höher ist die Qualität der Ergebnisse. Der Grund dafür ist, dass Intensitäts- und Formfaktoren sehr präzise extrahiert werden und die anschließenden Zellklassifizierungen zuverlässiger sind. Wenn Sie also genau segmentieren können, was Sie suchen, können Sie eine Vielzahl von Analysen speziell für verschiedene Bildgebungsanwendungen durchführen.

In der Vergangenheit benötigten die Nutzer viel Erfahrung in der Bildverarbeitung, um selektiv nur die spezifischen Strukturen von Interesse zu segmentieren. Glücklicherweise ist die Segmentierung mit KI, einem Tool, das die Assays erheblich vereinfacht, jetzt sehr bequem. scanR Version 3.6 verfügt über fünf vortrainierte Netzwerke – Kerne, Zellen, Punkte, Struktur und Kerne in Transmission – die den Nutzern bei den gängigsten Analyseaufgaben helfen.

Pluripotent stem cells acquired and segmented with a scanR widefield microscope. Mit einem scanR Weitfeldmikroskop aufgenommene pluripotente Stammzellen. Ein im Grün-Kanal angewendetes, vorab trainiertes KI-Modell zur Zellsegmentierung ist gelb dargestellt, ein im Orange-Kanal angewendetes, vorab trainiertes KI-Modell zur Kernsegmentierung rot.

Darüber hinaus können Nutzer mit einem KI-Trainingsmodul eigene Algorithmen zur Segmentierung spezifischer Strukturen entwickeln, ohne dafür Programmierkenntnisse zu benötigen. Ob es darum geht, Chromosomenbrücken während der Mitose zu finden, unterschiedliche Interaktionen von Zellen in Zeitrafferaufnahmen zu analysieren oder ein bestimmtes Fluoreszenzverteilungsmuster innerhalb einer Zelle zu identifizieren – mithilfe von KI sind Untersuchungen auf einem Niveau möglich, das wir sonst nicht erreichen könnten.

Die scanR-Klassifizierung und KI-Tools können aber letztendlich auch eingesetzt werden, um interessante Zellen oder Strukturen schnell zu identifizieren und mit der Funktion zum erneuten Scannen des Bereichs mit hoher Auflösung neu aufzunehmen.

Licht ins Verborgene bringen: Das Unsichtbare sichtbar machen

F: Evident konzentriert sich darauf, „Licht ins Verborgene bringen“, um die Grenzen der Wissenschaft zu erweitern. Was bedeutet das für Forschende, die scanR verwenden?

Dr. Veiga: „Licht ins Verborgene bringen“ bedeutet, die Komplexität und Vielfältigkeit biologischer Systeme tiefgreifender als mit herkömmlichen Bildgebungsverfahren kennen zu lernen. Jahrzehntelang ließ sich mit Mikroskopen nur das zu beobachten, was unmittelbar sichtbar war – helle Merkmale, markierte Zellen und fluoreszierende Marker. Aber unter der Oberfläche geschieht noch viel mehr. Mit scanR können Forschende Millionen von Zellen erfassen und analysieren und so einen umfassenden Überblick über die biologische Variabilität erhalten, nicht nur einige wenige aussagekräftige Bilder.

Darüber hinaus kann das scanR-System subzelluläre Strukturen, zelluläre Phänotypen oder dynamische Verhaltensweisen identifizieren, die sonst für eine Erkennung oder Messung zu geringfügig oder zu komplex wären. Deshalb können Forschende nun völlig neue wissenschaftliche Fragen untersuchen.

Es geht nicht nur um Rohdaten, sondern um die Gewinnung von Erkenntnissen, die bislang außerhalb unserer Reichweite lagen. Das ist die wahre Stärke von scanR: Es macht Unsichtbares sichtbar und gibt Forschenden die Werkzeuge an die Hand, um solche Entdeckungen zu machen.

F: Können Sie ein Beispiel nennen, wie sich das in der Praxis auswirkt?

Dr. Veiga: Selbstverständlich. Beispielsweise können zwei nebeneinander angeordnete Bilder, die jeweils Tausende von Zellen enthalten, für das menschliche Auge sehr ähnlich aussehen. Wenn die Zellen jedoch klassifiziert und in mehrdimensionalen Histogrammen dargestellt werden, werden die Unterschiede zwischen den Proben anhand der Histogramme deutlich.

Comparison of cell populations using the scanR high-content screening platform. Das Bild links (Kontrolle) unterscheidet sich deutlich von den beiden anderen (es gibt hellere und zahlreichere rosa Zellen). Die Unterschiede zwischen den beiden Bildern auf der rechten Seite sind nicht so offensichtlich. 2D-Histogrammdiagramme der Intensitätswerte der verschiedenen Fluoreszenzmarkierungen zeigen dagegen deutlich unterschiedliche Prozentsätze der Zellpopulationen in allen drei Bildern.

Da scanR Daten parallel zur Erfassung analysieren kann, können wir bei Demonstrationen tief in die Proben unserer Kunden eintauchen. Forschende, die an einen niedrigeren Bilddurchsatz und kleinere Zellstatistiken gewöhnt sind, sind manchmal überrascht, wenn sie die 2D-Histogramme betrachten, weil sie Phänotypen entdecken, die sie nicht erwartet haben.


Diese mögen zwar nur zu einem sehr geringen Prozentsatz auftreten, sind jedoch in den 2D-Histogrammen leicht als Sonderfall zu erkennen. Trotz ihres geringen Prozentsatzes können sie, sofern reproduzierbar, biologisch relevant sein. Die Nutzer können direkt in die 2D-Histogramme klicken und die Zellen hinter jedem Datenpunkt sehen, sodass sie die volle Kontrolle über das Experiment haben und neue wissenschaftliche Fragen untersuchen können.

2D histogram in scanR showing a cell with an abnormal number of spots. Eine Zelle mit einer abnormalen Anzahl von Punkten lässt sich in einem 2D-Histogramm leicht als Ausreißer identifizieren. Die Zelle kann mit der Funktion zum erneuten Scannen des Bereichs mit einer höheren Vergrößerung (oder sogar durch Umschalten von Weitwinkel auf Konfokalmodus) erneut abgebildet werden.

Das Wesentliche erreichen: Den Bedürfnissen der realen Welt gerecht werden

F: Inwiefern zeichnet sich scanR Version 3.6 in puncto praktische Anwendbarkeit aus?

Dr. Veiga: In der realen Welt sind Zeit, Ressourcen und Flexibilität begrenzt, daher ist es entscheidend, dass scanR 3.6 unter diesen Rahmenbedingungen funktioniert. Wir haben scanR modular aufgebaut, sodass Labore mit einer Grundausstattung beginnen und diese bei steigenden Anforderungen erweitern können – sei es durch KI-Funktionen, Lebendzellinkubation, Zellverfolgungsanalyse oder Super-Resolution-Bildgebung. Darüber hinaus können scanR und die cellSens Software gemeinsam auf demselben Mikroskop installiert werden, was die Flexibilität des Systems erweitert. Es geht darum, dem Anwender ein System an die Hand zu geben, das mit den Anforderungen des Labors mitwächst, ohne unnötige Komplexität zu verursachen.

Was die Analysesoftware angeht, bin ich beeindruckt davon, wie durchdacht scanR bereits von Anfang an war. Im Laufe der Jahre hat uns diese Struktur ermöglicht, neue Funktionen nahtlos in das Analyse-Toolset zu integrieren, beispielsweise Bildverarbeitung, Objekthierarchie, Zellverfolgung und KI-gestützte Segmentierung. Rohdaten werden niemals verändert, und es können mit demselben Datensatz mehrere Analysen durchgeführt werden, ohne dass die Bilder dupliziert werden müssen. Es können ein oder mehrere KI-Modelle in einem oder mehreren Kanälen in einem vollständigen Z-Stapel oder in einer einzelnen Z-Schicht verwendet werden. KI-Wahrscheinlichkeiten können zur Qualitätskontrolle überprüft werden und vieles mehr. Aus meiner Sicht ist es die perfekte Schnittstelle für KI-gestützte Analysen und die Entwicklung von Assays. Es macht Spaß, damit zu arbeiten – es ist mit Abstand das benutzerfreundlichste Forschungsinstrument, mit dem ich in meiner Karriere gearbeitet habe!

Darüber hinaus wurde aus Bildgebungszentren berichtet, dass scanR in Verbindung mit der cellSens-Software schnell zur meistgenutzten Mikroskopielösung geworden ist – sogar mehr als Konfokalmikroskope. Die Ergebnisse, die sie erzielen, sind ein echter Erfolgsmaßstab.3

F: Abschließend noch eine Frage: Was begeistert Sie am meisten an der Zukunft von scanR und der Rolle von Evident in den Biowissenschaften?

Dr. Veiga: Was mich persönlich am meisten fasziniert, ist die Erkenntnis, dass die Nutzer von scanR nicht nur unsere Kunden sind, sondern auch enge Partner. Ihr Feedback hilft uns, unsere Systeme jedes Jahr zu verbessern und so weit wie möglich an ihre wissenschaftlichen Bedürfnisse anzupassen. Darüber hinaus geht scanR über die Bildgebung hinaus bis zur Analyse, und wir bieten Unterstützung bei der Einrichtung von Analyseassays, die uns Einblicke in die Forschung und die neuesten Trends in der Mikroskopie geben. Aus Unternehmenssicht ist scanR eine große Bereicherung, die uns in wissenschaftlicher Hinsicht auf dem Laufenden hält.

Schließlich entwickeln wir bei Evident nicht nur modernste Mikroskopielösungen, sondern leisten auch einen Beitrag zur Zukunft der Wissenschaft. Ich glaube, dass scanR einen Dreh- und Angelpunkt in dieser Zukunft darstellt. Unsere Mission ist es, Forschende zu unterstützen. Wir möchten, dass jede/r Wissenschaftler/in Zugang zu den besten Bildgebungswerkzeugen hat, unabhängig von der Größe des Labors und der Fragestellung der jeweiligen Forschung.

Mehr über unseren Interviewpartner

Manoel Veiga

Manoel Veiga promovierte in physikalischer Chemie an der Universität Santiago de Compostela in Spanien. Nach zwei Postdoktoraten an der Complutense-Universität Madrid und der Universität Münster arbeitete er daran, Fachleute weltweit in den Bereichen Fluoreszenzlebensdauer-Mikroskopie (FLIM) und zeitaufgelöste Spektroskopie zu unterstützen. Seit 2017 bringt er seine Erfahrung im EVIDENT Technology Center Europe ein, wo er als globaler Anwendungsspezialist mit den Schwerpunkten High-Content-Analyse und Deep Learning tätig ist.

Literaturnachweis

  1. Toledo, L.I., M. Altmeyer, M.B. Rask, C. Lukas, D.H. Larsen, L.K. Povlsen, S. Bekker-Jensen, N. Mailand, J. Bartek und J. Lukas. 2013. „ATR Prohibits Replication Catastrophe by Preventing Global Exhaustion of RPA.“ Cell 155 (5): 1088–103.

    Michelena, J., A. Lezaja, F. Teloni, T. Schmid, R. Imhof und M. Altmeyer. 2018. „Analysis of PARP Inhibitor Toxicity by Multidimensional Fluorescence Microscopy Reveals Mechanisms of Sensitivity and Resistance.“ Nature Communications 9 (1): 2678.

    Zonderland, G., R. Vanzo, S.A. Gadi, E. Martín-Doncel, F. Coscia, A. Mund, M. Lerdrup, J. Benada, D. Boos und L. Toledo. 2022. „The TRESLIN-MTBP Complex Couples Completion of DNA Replication with S/G2 Transition.“ Molecular Cell 82 (18): 3350–65.e7.
  2. Fagherazzi, Paolo, Timo Diekmann, Alessandra Ardizzoia, Zuzana Machacova, Simran Negi, Anoop Kumar Yadav, Pavel Moudry, Vincenzo Costanzo und Hana Polasek-Sedlackova. 2025. „Quantitative AI-Based DNA Fiber Workflow to Study Replication Stress.“ bioRxiv.
  3. Veiga, Manoel. 2022. „Multimodal Solution Supports Whole Slide Scanning and High-Content Screening in Neuroscience.“ EvidentScientific.com. Aufgerufen am 24. Juli 2025.

Vorgestellte Produkte

scanR High-Content Screening System

High-Content-Screening-System scanR

Mehr erfahren

Rebecca Chandler, Picture

Rebecca Chandler

Autorin

Rebecca hat einen Bachelor-Abschluss in Journalismus vom Endicott College und schreibt über Trends und Technologien in Wissenschaft und Industrie. Sie arbeitet eng mit Ingenieuren und Wissenschaftlern von Evident zusammen, um Artikel über die neuesten Laserscanning-Systeme, High-Resolution-Systeme, Multiphotonen-Systeme, aufrechten Mikroskope, Stereo-Mikroskope und inversen Mikroskopsysteme sowie über modernste Optiken, Kameras und Software zu verfassen. Bleiben Sie auf dem Laufenden über ihre Arbeit, um mehr über die neuesten Entwicklungen bei Evident für zahlreiche Anwendungen zu erfahren, darunter Zytologie, Pathologie, Bildung usw.