Kunst mit Körperteilen: Unsere beliebtesten Mikroskopbilder im Juli 2021

Die beliebtesten Bilder des Monats Juli drehen sich alle um Körperteile. Vom Gehirn über die Milz bis zum Augapfel haben wir uns die Bestandteile des Körpers genau angesehen.
Kate Murphys eindrucksvolle rosafarbene Streifen sind nicht einfach nur ein hübsches Muster, sondern ein Abbild eines Gewebeschnitts aus der Netzhaut eines Hundes.
Ihre Begeisterung für ihr Thema ist offensichtlich:
„Die Netzhaut ist eine sehr dünne Schicht spezialisierter Zellen auf der Rückseite des Augapfels, wo sich der Sehnerv befindet. Die Netzhaut empfängt Licht und wandelt es in neuronale Signale um. Diese Signale werden dann an das Gehirn weitergeleitet und dort in Bilder umgewandelt.
Die Netzhaut setzt sich aus zehn Schichten zusammen:
- Retinales Pigmentepithel
- Fotorezeptoren
- Äußere Grenzschicht
- Äußere Körnerschicht
- Äußere plexiforme Schicht
- Innere Körnerschicht
- Innere plexiforme Schicht
- Ganglienzellschicht
- Nervenfaserschicht
- Innere Grenzschicht
Ich liebe Augäpfel! Sie sind wirklich ein faszinierendes Organ. Es ist verrückt, wenn man bedenkt, dass wir ohne diese kleine Zellschicht nicht sehen könnten!“
Bild und Beschreibung mit freundlicher Genehmigung von Kate Murphy. Aufgenommen mit dem Olympus Mikroskop BX40.
Neuronenkulturen sind ein gutes Modell, um die Enzymersatztherapie (ERT) für viele neurologische Erkrankungen zu testen. Dieses eindrucksvolle Bild stammt aus einem Experiment der Forscherin Nadia Efimova, bei dem sie die Aufnahme von künstlich hergestellten Enzymen in kortikalen Neuronen von Ratten untersuchte (die Färbung des Enzyms ist nicht abgebildet). Das Bild zeigt primäre kortikale Neuronen der Ratte nach 14 Tagen in vitro mit Zellkernen (grün) und sich entwickelnden Dendriten (mpl-inferno LUT). Die MAP2-Färbung wurde hinzugefügt, um die Umrisse der Neuronen darzustellen.
Bild mit freundlicher Genehmigung von Nadia Efimova, ehrenvolle Erwähnung beim Olympus Image of the Year Award 2020.
Zur Feier des Welt-Emoji-Tags am 17. Juli haben wir einige unserer Gewinnerbilder des Global Image of the Year Award 2020 in emojifizierte Kunstwerke verwandelt. Beginnend oben links:
Anthere von Arabidopsis arenosa.
Bild mit freundlicher Genehmigung von Jan Martinek, ehrenvolle Erwähnung beim Image of the Year Award 2020.
Kollagenfasern und dermale Pigmentzellen in der embryonalen Haut der Afrikanischen Hausschlange.
Bild mit freundlicher Genehmigung von Grigorii Timin, Gewinner des Image of the Year Award 2020 der Region Europe, Middle East and Africa.
Kompletter Rattenembryo.
Bild mit freundlicher Genehmigung von Werner Zuschratter, globaler Gewinner des Image of the Year Award 2020.
Schuppen von den Flügeln von über 40 Schmetterlingsarten.
Bild mit freundlicher Genehmigung von XinPei Zhang, Gewinner des Image of the Year Award 2020 der Region Asia-Pacific.
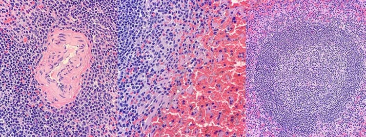
Kate Murphys wunderschöne histologische Färbungen haben es mit diesen atemberaubenden Milzbildern wieder unter die ersten fünf Plätze geschafft.
„Die Milz ist das größte Organ in unserem Lymphsystem. Sie speichert weiße Blutkörperchen und recycelt alte rote Blutkörperchen. Sie ist im Grunde das Qualitätskontrollzentrum des Blutes.
Unter dem Mikroskop können wir die beiden unterschiedlichen „Pulpen“ erkennen. Die weiße Pulpa sind die violetten, kreisförmigen Zellhaufen. Dies ist das lymphatische Gewebe. Die rote Pulpa (gefüllt mit roten Blutkörperchen) ist der Ort, an dem die Blutfiltration stattfindet.
Diese Milz stammt von einem Rotnackenwallaby.“
Bilder und Beschreibung mit freundlicher Genehmigung von Kate Murphy. Aufgenommen mit dem Olympus Mikroskop BX40.
Dieses Bild zeigt ein aus iPSC entstandenes Organoid, das sich zu dopaminergen Neuronen differenzierte. Das Experiment zielt darauf ab, seltene neurologische Entwicklungsstörungen mit Hilfe dieser Zellen und CRISPR-Cas9-Gene-Editing-Techniken zu modellieren.
Bild mit freundlicher Genehmigung von Scott Bell aus dem Olympus Discovery Center am Douglas Institute der McGill University, das Teil eines Programms zur Weiterentwicklung der Biowissenschaften ist, welches Forschern fortschrittliche Mikroskopiegeräte zur Verfügung stellt.
Wenn Sie mehr Bilder wie diese sehen wollen, folgen Sie uns auf Instagram: @olympuslifescience!
Möchten Sie Ihre eigenen Bilder vorstellen? Besuchen Sie unsere Website zur Bildereinreichung.
Manager, Marketing Communications
Kerry Israel is the Manager of Marketing and Communications for Life Science at Evident. She has a Bachelor of Arts degree from Brandeis University, and more than 15 years of experience in all aspects of marketing, from advertising and social media strategy to grassroots outreach.