IXplore Live for Luminescence

Erweiterung der Bildgebungsmöglichkeiten mit Biolumineszenz

Die Bildgebung mit Biolumineszenz auf Einzelzellebene ermöglicht es, eine vorläufige Bewertung von Lumineszenz-Assays mit einem Plattenlesegerät zu validieren und die Ursachen für unerwartete Ergebnisse festzustellen. Unser IXplore Live for Luminescence Mikroskopsystem ist für die Biolumineszenz-Bildgebung einzelner Zellen und ganzer Gewebe optimiert. Das Mikroskop verfügt über alle notwendigen Komponenten zur unmittelbaren Durchführung von Biolumineszenz-Experimenten in einer stabilen, kontrollierten Umgebung.

*Dieses System wurde in Zusammenarbeit mit Prof. Takeharu Nagai, Sanken, der Osaka University und Tokai Hit Co. Ltd. und Evident entwickelt. Das Projekt wurde von der Japan Science and Technology Agency (JST) finanziert.

Betrachtung von Proben in mehreren Vertiefungen einer Mikrowell-Platte

Zuverlässige Bilderfassung verschiedener Arten von Mikrowell-Platten mit einer Auflösung auf Einzelzellebene: Die cellSens Bildgebungssoftware und ein motorgesteuerter Tisch ermöglichen es, die XY-Position jeder Vertiefung im System zu speichern, sodass problemlos Bilder aller Vertiefungen einer 96-Well-Platte erfasst werden können.

Probe: HeLa-Zellen mit Expression von gelb-verstärkter Nano-Lantern. Datenquelle: Takeharu Nagai, Mitsuru Hattori, Department of Biomolecular Science and Engineering, Sanken, Osaka University.

Probe: HeLa-Zellen mit Expression einer gelb-verstärkten Nano-Lantern. Datenquelle: Takeharu Nagai, Mitsuru Hattori, Department of Biomolecular Science and Engineering, Sanken, Osaka University.

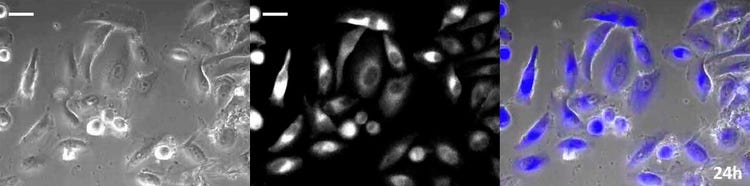
Stabile und langfristige Zeitraffer-Bildgebung

Ein Tischinkubationssystem bietet die richtige Umgebung für langfristige Zeitraffer-Experimente mit Lebendzellen und Gewebeproben. Das System überwacht Temperatur, CO₂ und andere Umgebungsbedingungen, um den Zustand der Proben während der Bildgebung zu erhalten.

Die Biolumineszenz-Bildgebung erfordert kein Anregungslicht (wie Fluoreszenz), da das Licht durch eine chemische Reaktion entsteht. Biolumineszenz minimiert die Phototoxizität und eliminiert den Beitrag des Autofluoreszenzsignals und ist daher ideal für eine stabile Langzeitbeobachtung von Lebendzellen.

Langzeitbeobachtung mit Tischinkubator (24 Stunden: Phasenkontrast/Lumineszenz/Überlagerung). Probe: HeLa-Zellen mit Expression einer gelb-verstärkten Nano-Lantern (Schale mit Glasboden, 35 mm).

Langzeitbeobachtung mit Tischinkubator (24 Stunden: Phasenkontrast/Lumineszenz/Überlagerung). Probe: HeLa-Zellen mit Expression einer gelb-verstärkten Nano-Lantern (Schale mit Glasboden, 35 mm).

Datenquelle: Takeharu Nagai, Mitsuru Hattori, Department of Biomolecular Science and Engineering, Sanken, Osaka University.

Kombination von Fluoreszenz-, Biolumineszenz- und Durchlicht-Bildgebung

Durch Kombination verschiedener Beobachtungsmethoden und -modi können Veränderungen in der gesamten Zelle und auf Genebene gleichzeitig dargestellt werden. Beispielsweise können die Ascl1-Genexpression und der Zellzyklus im Selbstreplikationsprozess neuraler Stammzellen beobachtet werden. Durch Verwendung eines fluoreszierenden, auf Ubiquitinierung basierenden Zellzyklusindikators (Fucci) ermöglicht das System, die Abweichungen der Ascl1-Genexpression in jedem Stadium des Zellzyklus zu visualisieren.

3-Kanal-Bildgebung auf Einzelzellebene mit Fluoreszenz (rechts, rot/grün), Biolumineszenz (links, gelb) und Phasenkontrast (links, Graustufen). Datenquelle: Itaru Imayoshi, Research Center for Dynamic Living Systems, Graduate School of Biostudies, Kyoto University; Akihiro Isomura, Ryoichiro Kageyama, Institute for Virus Research, Kyoto University.

3-Kanal-Bildgebung auf Einzelzellebene mit Fluoreszenz (rechts, rot/grün), Biolumineszenz (links, gelb) und Phasenkontrast (links, Graustufen). Datenquelle: Itaru Imayoshi, Research Center for Dynamic Living Systems, Graduate School of Biostudies, Kyoto University; Akihiro Isomura, Ryoichiro Kageyama, Institute for Virus Research, Kyoto University.

Referenz: Science. 2013 Dec 6;342(6163):1203-8. doi: 10.1126/science.1242366.

Bildgebung zur Beurteilung der Wirksamkeit von Arzneimitteln

Die Aktivität von G-Protein-gekoppelten Rezeptoren (GPCRs), einem häufig untersuchten Wirkstoffziel, kann anhand der Calziumkonzentration in einem Sphäroid gemessen werden. High-Content-Screening und -Analyse unter Verwendung von Mikrowell-Platten gestatten es, die verschiedenen Einflussgrößen wie Konzentrationen und Umgebungsbedingungen sowie die Arzneimittelkandidaten aus der Wirkstoff-Datenbank zu prüfen.

Mit einem stabilen Inkubationssystem lassen sich zellmorphologische Differenzierungen und das Ansprechen von Arzneimitteln über längere Zeiträume beobachten. Die Biolumineszenz hat im Vergleich zur Fluoreszenz ein besseres Signal-Rausch-Verhältnis, sodass selbst schwache Signale erfasst werden können.

Messung der Schwankung der Calciumkonzentration aufgrund von Histaminstimulation in einem Sphäroid. Das Diagramm zeigt die Messungen für drei Bereiche von Interesse (ROIs).

Kontakt