Mikroskop für Zellkulturen CKX53

Das CKX53 Mikroskop erleichtert Workflows mit Zellkulturen und Gewebekulturen und vereinfacht Vorgänge wie etwa die Betrachtung von Lebendzellen, die Entnahme und Handhabung von Zellen, die Bilderfassung und die Fluoreszenzbeobachtung. Ein integriertes Phasenkontrastsystem, das kompakte ergonomische Design und die stabile Leistung sorgen für eine einfache und effiziente Betrachtung der Zellen. Die Universal-Probenhalterung und der erweiterbare Tisch eignen sich für Zellkulturbehälter verschiedener Art und Größe.

Kompaktes und ergonomisches Inversmikroskop für Zellkulturen

Mit seiner verbesserten Bildqualität und Ergonomie bietet das Inversmikroskop CKX53 von Olympus zuverlässige Leistung und einen effizienten, komfortablen Workflow für verschiedenste Anforderungen in der Zellkultur, darunter Lebendzell-Beobachtungen, Probenaufbereitung, Bildaufnahme und Fluoreszenzmikroskopie.

Einfache Beobachtung von Lebendzellen

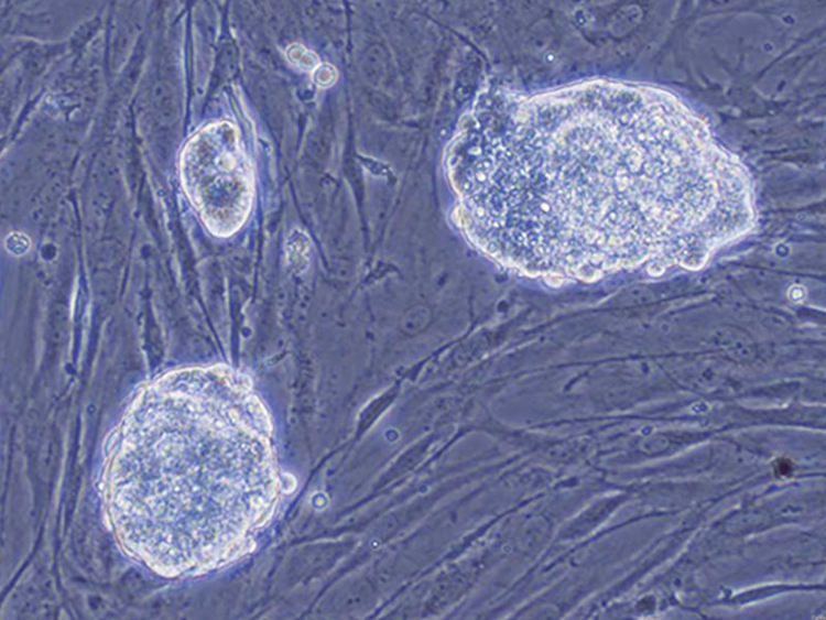
Schnelle Beobachtung von Zellen mit dem integrierten Phasenkontrastsystem (iPC)

  • Ein hoher Kontrast ermöglicht eine klare Darstellung von Zellen bei 4x, 10x, 20x und 40x, ganz ohne Austausch oder Neuzentrierung der Phasenblende.
  • Das Phasenkontrastsystem dient der einfachen und effizienten Zelluntersuchung für einen schnelleren, komfortableren Workflow.

Effiziente Untersuchung von Zellen mit einem klaren, großen Sehfeld

  • Der Aperturblendenschieber für das Objektiv PLN2X hat ein Sehfeld von 22 mm und einen Durchmesser von 11 mm.
  • Das 2X-Objektiv bietet einen deutlich höheren Kontrast als andere Objektive. Selbst transparente Objekte in der Probe sind klar erkennbar.

Integriertes Phasenkontrastsystem (iPC)

CKX3-SLPAS

Passt auf den Arbeitstisch einer Reinraumwerkbank sauberen Tisch zu passen

Lässt sich einfach mit einer Hand bewegen

Natürliche Handhaltung

Beobachtung von Lebendzellen unter sterilen Bedingungen

Die kleine Standfläche ermöglicht die Sterilisation in der sterilen Werkbank

Das CKX53 Mikroskop passt auf den Arbeitstisch einer Reinraumwerkbank und muss aufgrund seiner UV-beständigen Beschichtung bei der UV-Sterilisation nicht entfernt werden. Das System wiegt ca. 7 kg, es ist leichter als das Vorgängermodell und benötigt eine kleinere Stellfläche, sodass es weniger Platz im Labor einnimmt. Das Mikroskop ist mit einer Hand bedienbar und am Stativ des Beobachtungstubus leicht zu transportieren. Der Mikroskopsockel weist ein Gleitpad zur einfachen Positionierung auf.

Einfaches Zell-Sampling in einer sterilen Werkbank

Der kurze Abstand zwischen dem Sichtpunkt und der Einstellung für die optische Achse beziehungsweise dem Fokustrieb ermöglicht eine natürliche Handposition und erleichtert die Fokussierung und das Zell-Sampling.

Effiziente Zellbeobachtung und Bedienung

Geeignet für verschiedenste Zellkulturgefäße

  • Mit der Universalhalterung lassen sich Zellkulturen in verschiedenen Kulturgefäßen wie Petrischalen, Mikrotiterplatten und Flaschen bequem untersuchen.
  • Mit der optionalen Halterung passen drei 35-mm-Schalen auf den Tisch.
  • Zudem lassen sich verschiedene Arten von Mikrotiterplatten ohne Halter verwenden.

Umfassende Betrachtungen bei Mehrschicht-Gewebekulturflaschen

  • Die Breite und der einfach entfernbare Kondensor des Mikroskops ermöglichen die Betrachtung von Gefäßen wie Mehrschicht-Gewebekulturflaschen mit einer Höhe bis zu 190 mm.
  • Die Fokustiefe des Objektivs PLCN4X erleichtert die Zellbeobachtung der beiden unteren Schichten einer Mehrschicht-Gewebekulturflasche.

Flexibel genug auch für größere Zellkulturgefäße

  • Bewegliche Halterung zur manuellen Positionierung von Zellkulturgefäßen.
  • Erweiterbarer Tisch bis zu 70 mm nach links und rechts für größere Flexibilität.

Für verschiedene Zellkulturgefäße ausgelegt

Beobachtungen für Mehrschicht-Gewebekulturflaschen

Bewegliche Halterung

ergonomisches Design für anwenderfreundliche Bedienung

Ergonomisches Mikroskopdesign

Komfortable Betrachtungsposition

Der 45-Grad-Winkel der Okulare und die Position des schmetterlingsförmigen Beobachtungstubus zum Tisch ermöglichen ergonomische Zelluntersuchungen, sei es im Stehen oder im Sitzen.

Bequeme Handhaltung neben Bedienelementen

Sämtliche Regler wie Netzschalter, Grob- und Feintrieb und der Knopf zur Umschaltung des Strahlengangs sind ergonomisch angeordnet und sorgen für einfachere Bedienung sowie ermüdungsfreies Arbeiten.

Angewandte Technologien

3D-Zellansichten mit der Inversionskontrast(IVC)-Technik

Bei der IVC-Technik ist die Fokustiefe niedriger als im Phasenkontrast. Das macht es möglich, klare 3D-Bilder von Proben jeder beliebigen Form oder Transparenz zu erzeugen. Außerdem liefert die IVC-Mikroskopie klare Abbildungen ohne Lichthöfe oder gerichtete Schatten. Die Integrität der Probendetails bleibt für die Betrachtung erhalten.

*Bei diesem neuartigen IVC-Verfahren kommen 10X-Objektive (PLCN10X, CACHN10XIPC) zum Einsatz.

PH (links), IVC (rechts)

Clear Views with a Wide Range of Fluorescence Dyes

Comparison of with and without Umbra Shield

Einfache Fluoreszenzbildgebung

Klare Abbildung mit einer großen Auswahl an Fluoreszenzfarbstoffen

Mit dem Standard-Fluoreszenzset des CKX53 können selbst schwache Fluoreszenzsignale gut beobachtet werden, dank verschiedener integrierbarer Lichtquellen wie einer 100-W-Quecksilberlampe (U-LH100HG), einer 130-W-Hochdruck-Quecksilberlampe (U-HGLGPS) sowie LEDs von Drittanbietern*. In die drei Positionen des Filterschiebers können die gleichen Filtermodule wie in den Mikroskopen IX3 und BX3 eingesetzt werden.

*Nicht überall erhältlich.

Hoher Kontrast bei hellen Lichtverhältnissen

Das Umbra Shield blockiert wirkungsvoll das Raumlicht, verstärkt den Fluoreszenzkontrast und ermöglicht eine deutliche Fluoreszenzmikroskopie in hellen Laborumgebungen. Wenn Phasenkontrast verwendet wird, kann das Umbraschild angehoben werden, um Licht durch die Probe zu lassen.

Für einen sichereren und flexibleren Zellkulturprozess mit einer drahtlosen Digitalkamera und einem Head-up-Display

Mit der WLAN-fähigen EP50 Digitalkamera kann ein CKX53 Mikroskop im Gewebekulturraum und in einen Biosicherheitsschrank bewegt werden, ohne dass die Kabelverbindung zu einem Computer dabei ein Problem darstellt. Bilder können an einem Computer, Tablet oder Smartphone aus der Ferne bearbeitet und gespeichert werden.

Mit dem Head-up-Display entsteht eine kompakte All-in-One-Bildgebungslösung. Die komplette Einheit kann sicher in einem Biosicherheitsschrank verwendet werden, sodass die Proben während der Bilderfassung steril bleiben.

* Produkte von Drittanbietern sind möglicherweise in einigen Ländern nicht erhältlich.

Achieve a Safer and More Flexible Cell Culture Process with a Wireless Digital Camera and Heads-Up Display

Spezifikationen

Mikroskopstativ
CKX53SF
Mikroskopieverfahren
Fluoreszenz (Anregung durch blaues/grünes Licht)
Fluoreszenz (Anregung durch ultraviolettes Licht)
Phasenkontrast
Hellfeld
Objektivrevolver
Manuell
Standardtyp
Eingebaut, 4 Positionen
Beobachtungstuben
Weitfeld (FN 22)
Trinokulartubus
Beleuchtung
Durchlichtbeleuchtung
LED-Lampe
Fluoreszenz-Beleuchtung
Quecksilberlampe 100 W
Lichtleiter-Beleuchtungsgerät
Tisch
Manuell
Plantisch
Kondensor
Manuell
Kondensor mit sehr großen Arbeitsabstand
NA 0,3/A.A. 72 mm (eingebaut)
Konfokaler Scanner
-
Verarbeitung mit Superauflösung
-
Zubehör
-
Abmessungen (B × T × H)
200 mm × 498 mm × 454 mm (Phasenkontrast-Einstiegskonfiguration)
Gewicht
Ca. 6,9 kg

*2x Übersicht mit einem Sicht-Durchmesser von 11 mm für eine effiziente Zelluntersuchung.

Multimedia

Whitepaper

Produktressourcen