Objektträgerscanner für die digitale Pathologie SLIDEVIEW VS-M1

Erhalten Sie Bilder in Mikroskopqualität von Gewebe- und Zellproben mit einem schnellen, effizienten Objektträgerscanner. Durch standardisierte Arbeitsabläufe, eine intuitive Benutzeroberfläche und intelligente KI-Tools macht das SLIDEVIEW VS-M1 System die Bildgebung effizienter und ermöglicht es Einsteigern und erfahrenen Anwendern gleichermaßen, Hellfeld-Scans von pathologischen Routineproben mit nur wenigen Klicks zu erfassen. Klare und detaillierte Ergebnisse ermöglichen einen besseren Einblick und unterstützen die Entscheidungsfindung in der Pathologie.

  • Product Availability: Available in Japan as VS-M1J

SLIDEVIEW VS-M1 Objektträgerscanner für die digitale Pathologie

Einfache Scans, sichere Entscheidungen

Die optische Qualität, der Sie seit Jahren vertrauen – jetzt in einem dedizierten Objektträgerscanner.

Inspiriert von einem Jahrhundert Innovation und aufbauend auf unserer umfangreichen Expertise in der Pathologie-Bildgebung liefert der SLIDEVIEW VS-M1 Objektträgerscanner hochwertige Mikroskopiebilder von Histologie- und Zytologieproben.

Das SLIDEVIEW VS-M1 System optimiert mit standardisierten Arbeitsabläufen, einer intuitiven Benutzeroberfläche und intelligenten KI-Tools die Bildgebung von Einzelbildern oder Z-Stack-Aufnahmen. So können Anfänger genauso wie Routineanwender Hellfeld-Scans von Pathologieproben zuverlässig mit nur wenigen Klicks erfassen.

So erhalten Sie Details, die Sie für sichere Entscheidungen in der Pathologie benötigen.

Broschüre als Download

Einfache Scans, sichere Entscheidungen

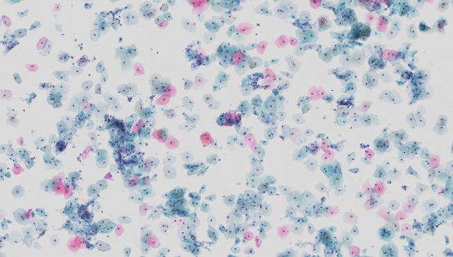
Bilder von links nach rechts: Dünnschichtzytologie (ThinPrep Pap-Test), Einzelschnitt-Histologie (Magen, H&E)

Bilder von links nach rechts: Dünnschichtzytologie (ThinPrep Pap-Test), Einzelschnitt-Histologie (Magen, H&E)

Bilder von links nach rechts: Dünnschichtzytologie (ThinPrep Pap-Test), Einzelschnitt-Histologie (Magen, H&E)

Schnelle und effiziente Abläufe in der digitalen Pathologie

Das SLIDEVIEW VS-M1 System verbessert den Pathologie-Arbeitsablauf durch schnelle, detaillierte Scans von Gewebe- und Zellproben.

  • Hochwertige Digitalisierung kompletter Objektträger: Erfassen Sie klare, scharfe Bilder mit feinen Details und hoher Auflösung.
  • Beleuchtung speziell für Pathologiefärbungen: Die LED-Lichtquelle des Scanners, farbkorrigierte Kameraprofile und das leistungsstarke X Line Objektiv sorgen für eine Farbwiedergabe, die für die Betrachtung von Pathologiefärbungen auf dem Bildschirm erforderlich sind.
  • Wie beim Blick durch das Okular: Die Bilder auf dem Bildschirm werden in naturgetreuen Farben auf einem Monitor mit hoher Farbtreue und automatischer Kalibrierung dargestellt.
  • Ein virtueller Objektträgerhalter mit vertrauter Handhabung : Organisieren und navigieren Sie digitale Objektträger genauso, wie Sie es von einer physischen Objektträgermappe gewohnt sind.
  • Einfache Bildfreigabe: Teilen Sie Objektträgerbilder problemlos mit Pathologen und Experten innerhalb Ihres sicheren Netzwerks.

Für Pathologielabore mit hohem Probenaufkommen

Beschleunigen Sie die Digitalisierung von Objektträgern für eine effiziente Übergabe an den Pathologen. Durch das benutzerfreundliche Design und die flexiblen Scan-Funktionen ist das System nicht nur skalierbar und konfigurierbar, sondern auch intuitiv bedienbar. Jedes Detail ist darauf ausgelegt, Ihr Labor bei der effizienten Bewältigung hoher Probenzahlen zu unterstützen.

  • Problemloses und sicheres Laden von Objektträgern : Die vertikale Objektträger-Handhabung minimiert das Risiko, dass Objektträger beschädigt werden oder herunterfallen und reduziert Ausfallzeiten des Scanners.
  • Anwenderfreundlich: Richten Sie Proben über den großen Touchscreen ein und starten Sie den Scan.
  • Hochgeschwindigkeits-Scanning: Scannen Sie mehr als 80 Objektträger pro Stunde im Speed-Scan-Modus – ohne Fokus-Mapping.
  • Weniger Nachscans, mehr Sicherheit: Die KI-gestützte Probenerkennung erhöht die Genauigkeit auch bei schwach gefärbten Probenbereichen. Zusätzlich lässt sich im manuellen Scan-Modus der Scanner gezielt auf Fokusbereiche und Scanbereiche ausrichten, um mit flexibler Scan-Kontrolle optimale Ergebnisse zu erzielen.
  • Scanner-Konfiguration nach Ihren Wünschen: Es stehen vier Scan-Modi zur Auswahl, um die Ergebnisse hinsichtlich Geschwindigkeit, Genauigkeit oder Probentyp, zum Beispiel bei schwach oder ungleichmäßig gefärbten Proben, zu optimieren. Passen Sie das Verhalten des Scanners dem Arbeitsablauf Ihres Labors an.
Für Pathologielabore mit hohem Probenaufkommen

Pathologen

Bilder in Mikroskopqualität auf dem Bildschirm

Das SLIDEVIEW VS-M1 System erfasst mit einem dedizierten, leistungsstarken X Line Objektiv hochauflösende Bilder mit verbesserter Bildebenheit, sodass sich Einzelbilder problemlos zusammenfügen lassen und klare Scans kompletter Objektträger möglich werden. Zuverlässige Detailerfassung für fundierte Entscheidungen.

Bilder in Mikroskopqualität auf dem Bildschirm
In jeder Probe mehr erkennen

In jeder Probe mehr erkennen

Der erweiterte X Line Apochromat bietet eine homogene Bildebenheit und einen erweiterten Korrekturbereich für chromatische Aberrationen. Das Objektiv wird mit unserer True Color LED-Lichtquelle mit hoher Farbtreue und kameraspezifischen ICC-Farbprofilen kombiniert. Beide sind speziell auf die Digitalisierung kompletter Objektträger abgestimmt, um eine naturgetreue Farbwiedergabe zu gewährleisten, wie sie für H&E-, IHC- und Spezialfärbungen erforderlich ist. Die Bilder werden auf einem Diagnosemonitor mit großem Farbraum angezeigt, der für die digitale Pathologie kalibriert ist. Dies gewährleistet Farbgenauigkeit, Konsistenz und Langzeitstabilität und trägt zu einem Detailniveau bei, das mit der Betrachtung durch ein Mikroskop vergleichbar ist.

Effizienter Arbeitsablauf in der Pathologie

Das SLIDEVIEW VS-M1 System wurde in Zusammenarbeit mit Pathologen entwickelt und ist dank seiner Benutzerfreundlichkeit intuitiv bedienbar. Mit mehreren Scan-Modi und anpassbaren Einstellungen passt es sich Ihrer Arbeitsweise an und ermöglicht die Erstellung von probenspezifischen Protokollen entsprechend den Prioritäten Ihres Labors. Ein virtueller Objektträgerhalter lässt sich ähnlich bedienen und bewegen wie ein physischer Objektträger und unterstützt so einen reibungslosen Umstieg in die digitale Pathologie bei gleichzeitiger Beibehaltung eines vertrauten Arbeitsablaufs.

Effizienter Arbeitsablauf in der Pathologie
Remote-Zusammenarbeit

Remote-Zusammenarbeit

Sichere, integrierte Kollaborationstools erleichtern die Freigabe von Objektträgerbildern für andere Pathologen und Experten weltweit. Die Nutzer können von jedem Computer aus auf die Daten zugreifen, ohne zusätzliche Software zu installieren.

Labortechniker

Mühelose, hochwertige Scans

Starten Sie den Scan mit nur einem Klick, ohne Scanprofile einrichten zu müssen. Mit einem großen Touchscreen, der Schritt-für-Schritt-Bedienung und der einfachen, sicheren vertikalen Objektträgerbeladung ist das SLIDEVIEW VS-M1 System für die einfache Integration in Labors mit hohem Probenaufkommen ausgelegt.

Benutzerfreundlicher Touchscreen

Der große Touchscreen des Scanners erlaubt einen einfachen und intuitiven den Zugriff auf Steuerungen und Einstellungen.

Schnelles, sicheres Laden der Objektträger

Laden Sie die Objektträger einfach in das Rack und stellen Sie sie in den Scanner. Die Objektträger werden vertikal statt horizontal geladen, um das Risiko von Beschädigungen oder Herunterfallen zu verringern und so Ausfallzeiten des Scanners zu reduzieren.

Einfacher, assistierter Arbeitsablauf

Das System führt Sie Schritt für Schritt durch den Scanvorgang. Nach Abschluss des Scans können Sie die Bilder direkt an den Pathologen übergeben, einfach, indem Sie mit dem Finger darauf tippen, oder die Qualität der digitalen Objektträger auf dem Touchscreen überprüfen, bevor Sie sie versenden.

Mühelose, hochwertige Scans

Mühelose, hochwertige Scans

Mühelose, hochwertige Scans

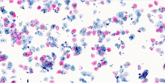
Dünnschichtzytologie (ThinPrep Pap-Test)

Dünnschichtzytologie (ThinPrep Pap-Test)

Passt sich dem individuellen Probenaufkommen an

Das SLIDEVIEW VS-M1 System wurde sowohl für die Histologie als auch die Zytologie konzipiert und ist flexibel genug, um unterschiedliche Laboranforderungen zu erfüllen – es passt sich verschiedenen Probentypen an und erleichtert bei Bedarf die Bearbeitung hoher Probenzahlen. Wählen Sie je nach Bedarf zwischen Einzelschnitt- oder Dünnschichtzytologie-Scans, je nach der benötigten höheren Präzision und Effizienz in der Analyse.

Erhöhter Durchsatz für die Routinediagnostik

Das SLIDEVIEW VS-M1 System nimmt bis zu 150 Objektträger gleichzeitig auf und ermöglicht so im Routinebetrieb einen hohen Durchsatz beim Scannen. Durch das kontinuierliche Laden können Racks mit jeweils 30 Objektträgern während des Scanvorgangs gewechselt sowie Objektträger mit besonderer Dringlichkeit im laufenden Stapelbetrieb eingesetzt werden, was den Durchsatz erhöht.

Eine Scan-Geschwindigkeit von mehr als 80 Objektträgern pro Stunde ermöglicht die Optimierung des Digitalisierungsprozesses und eine höhere Effizienz durch schnellere Arbeitsabläufe. Der Echtzeit-Autofokus des Systems reduziert das manuelle Fokus-Mapping und beschleunigt den Scanvorgang.

Erhöhter Durchsatz für die Routinediagnostik
Erfassen Sie nur die Daten, die Sie benötige

Erfassen Sie nur die Daten, die Sie benötigen

Die KI-gestützte Probenerkennung identifiziert automatisch alle Bereiche mit Zellen oder Gewebe auf dem Objektträger, beschleunigt die Scans und reduziert die Notwendigkeit von Nachscans. Dadurch lassen sich auch schwach gefärbte Bereiche erfassen, gleichzeitig reduziert sich der Speicherplatzbedarf.

Flexible digitale Bildgebung für die Pathologie

Erstellen Sie probenspezifische Arbeitsabläufe entsprechend den Prioritäten Ihres Labors. Vier Scan-Modi ermöglichen es, Ihren Scan an Anwendung und Probentyp anzupassen.

  • Speed-Scan-Modus: Für Scans mit hohem Durchsatz werden in diesem Modus mit Echtzeit-Autofokus schnell hochwertige Bilder erfasst.
  • Fokus-Scan-Modus: Erstellen Sie mit Einzelpunkt-Autofokus vor dem eigentlichen Scan eine detaillierte Fokuskarte und verbessern Sie so die Genauigkeit bei schwierigen Proben.
  • Manueller Scan-Modus: Legen Sie individuelle Fokuspunkte fest und definieren Sie den Scanbereich, um schwach oder ungleichmäßig gefärbte Proben optimal in den Fokus zu bringen.
  • Z-Stack-Scan-Modus: Nutzen Sie voreingestellte Protokolle für Standardprobentypen oder definieren Sie benutzerdefinierte Parameter für Ihre spezifische Anwendung.
Flexible digitale Bildgebung für die Pathologie

IT-Profis

Einfache Integration

Das SLIDEVIEW VS-M1 System lässt sich problemlos in ein vorhandenes Laborinformationssystem (LIS) integrieren und unterstützt verschiedene Netzwerkprotokolle des Gesundheitswesens, einschließlich HL7 und FHIR. Das DICOM-Format ermöglicht die Kompatibilität mit bestehenden PACS- oder DICOM-Bildverwaltungssystemen. Das System verfügt über HIPAA- und NIST-Datensicherheitsfunktionen, Verschlüsselung und zentrale Benutzerverwaltung. Nutzen Sie die zentrale Verwaltungsplattform des Systems, um Scannerfehler und -störungen aus der Ferne zu überwachen und Berichte herunterzuladen.

Einfache Integration

Einfache Verwaltung

Das Evident Management Portal (EMP) bietet eine zentrale Plattform zur Konfiguration und Wartung mehrerer Scanner innerhalb eines Labors. Kontrollieren Sie, wer Zugriff auf den Scanner und das EMP hat; legen Sie Scannerkonfigurationen fest, z. B. zum Parsen von Strichcodes sowie den Standard-Scanmodus; überwachen Sie Diagnosedaten, einschließlich des aktiven Status, Geräteprotokolle, Audit-Protokolle und Statistiken zur Scannernutzung.

Technische Angaben

Gewünschte Probe Probe Objektträger mit Deckglas
Größe des Objektträgers Länge: 75–76,5 mm, Breite: 25–26,5 mm,
Dicke: 0,9–1,2 mm (ISO 8037-1)
Dicke des Deckglases 0,13–0,19 mm (ISO 8255-1) (Empfehlung: 0,17 mm)
Scanner Touchscreen Integriertes 21,5-Zoll-Farb-LCD-Display
Passen Sie die Scan-Einstellungen an und betrachten Sie die erfassten Bilder auf dem Touchscreen.
Objektträgerkapazität Bis zu 150 Objektträger
Objektträger-Rack 5 Objektträger-Racks mit jeweils bis zu 30 Objektträgern
Objektträger-Rackadapter Für Sakura Finetek Japan Co., Ltd. Objektträgerkorb (K1650009), zum gleichzeitigen Laden von 10 Objektträgern in das Rack
Scanmodi Speed-Scan-Modus (Priorität für Qualität oder Geschwindigkeit), Fokus-Scan-Modus, manueller Scan-Modus, Z-Stack-Modus
Durchsatz Mindestens 80 Objektträger pro Stunde (Bereich 15 × 15 mm bei 40x-facher äquivalenter Auflösung, Speed-Scan-Modus)
Objektiv Erweiterter X Line Apochromat
Auflösung 0,23 μm/Pixel (entspricht 40x)
Kamera Bildsensor: 1,1 Zoll CMOS, Pixelraster: 3,45 × 3,45 μm
Beleuchtung Lichtstarke LED mit hoher Farbtreue (Lebensdauer bis zu 50.000 Stunden)
Strichcodeleser 1D-Strichcode

WPC (JAN/EAN/UPC-A/UPC-E), NW-7, ITF, Code39, Code128, RSS-14, RSSLimited,

RSSExpanded

2D-Strichcode QR-Code (Model 1 und Model 2), DataMatrix (ECC200), MicroQR, PDF417, MicroPDF417
Automatische Objektträgererkennung Ja, das Objektträger-Rack und die Positionen der Objektträger werden automatisch erkannt und auf dem Touchscreen angezeigt.
Automatische Scanbereicherkennung Ja
Vibrationsunterdrückungs-Funktion Ja
LED-Statusanzeige Hardware-Status, Objektträger-Rackstatus, Scan-Status
Außenabmessungen (B × T × H) 106 × 625 × 710 mm
Gewicht 150 kg
Primärstromversorgung Eingang: 100–240 V Wechselstrom, 50–60 Hz
Leistungsaufnahme Max. 120 W
Umgebungsbedingungen

Temperaturbereich: Maximaler Betriebsbereich von 7 °C bis 15 °C bzw. 27 °C

(keine plötzlichen Temperaturänderungen)

Luftfeuchtigkeit: 35–80 % relative Luftfeuchtigkeit (nicht kondensierend, Innenbereich)

Höhenlage: Meereshöhe bis 2000 m

Bildmanagementsystem Anzeigefunktionen Suchfilter, Objektträgerliste, virtueller Objektträgerhalter, Vollbild, Splitscreen, Makrobild, Objektträgereigenschaften
Ansichtsfunktionen

Schwenken, Zoomen, Drehen, Synchronisation, Objektträger-Navigator, Drehkompass, Heatmap, Maßstab, Vergrößerungsstopp,

Lupe

Annotation und Messung Markierung, Quadrat, Kreis, Linie, Kommentartext
Kooperationsfunktionen Chat, geteilte Ansicht
Softwareoptionen DICOM

Scans werden gemäß den DICOM-Bildstandards erstellt, um die Integration mit PACS- und DICOM-Bildverwaltungssystemen zu ermöglichen.

Bildmanagementsysteme

LIS-Anschluss Integration mit LIS-Systemen zur Darstellung von Proben- und Patientendaten im Evident Bildmanagementsystem

Haftungsausschluss

Dieses Produkt ist für den Laboreinsatz bestimmt. Es liegt in der Verantwortung des Kunden sicherzustellen, dass die Leistung des Produkts für den spezifischen Einsatz oder die Anwendung des Kunden geeignet ist.

Hier finden Sie eine vollständige Liste der verfügbaren Optionen und Konfigurationen in Ihrer Region. Sie können sich auch an Ihren lokalen Evident-Vertreter wenden.

Informationsmaterialien

Videos

Produktseiten