Camera Selection Specialty

Contact Us

4k

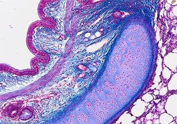
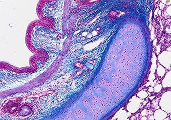
Microscope image resolution is determined by the resolution of the optics and the camera. The UC90 and SC180 4K cameras provide excellent resolution at low magnification (4x and 10x) or for stereo microscopes where the camera’s resolution is so important.

Live

A high frame rate is essential for obtaining smooth live images. Other important features include image lag and shutter type (i.e., rolling or global). The DP74 camera provides a fast 60 frames per second frame rate and delivers images with minimal distortion thanks to its global shutter CMOS sensor.

Specialty

Still

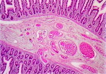
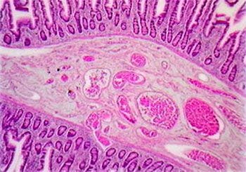
Framerate is less important when capturing still images, but resolution, the field of view, and color reproduction are still essential. While all our cameras work well for capturing still images, choose the camera that’s right for you based on the above characteristics.