Cast Iron Solutions
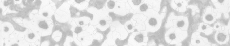
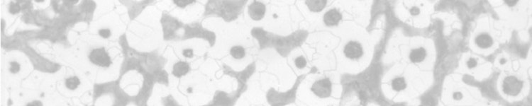
In the metallographic laboratory, the task of analyzing cast iron for graphite nodularity, size, form, and distribution parameters, as well as the ferrite-to-pearlite ratio, is extremely important from a quality control perspective.
Our image analysis software offers a workflow to analyze the following cast iron characteristics:
- Graphite form
- Graphite distribution
- Graphite size
- Graphite nodularity
- Percent graphite
- Percent ferrite-to-pearlite