/en/microscope-resource-center/nav
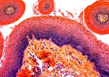
Epidermis Stained Thin Section

Epidermis Stained Thin Section

In humans, the skin is the largest organ of the body and is composed of two primary layers, the dermis and the epidermis. The epidermis is the outermost section, composed of tightly packed cells, and is substantially thicker in areas that are exposed to constant friction, such as the soles of the feet.