/en/microscope-resource-center/nav
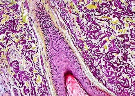
Skin Hair Follicle

Skin Hair Follicle

Hair does not exist and grow alone, but is part of thepilosebaceous system, which also includes follicles, papillae, and sebaceous glands. A typical human has approximately 100,000 hairs on his or her scalp and loses about 50 to 100 strands a day.