/en/microscope-resource-center/nav
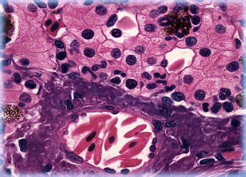
Salamander ( Amphiuma ) Liver
Salamanders may look like lizards, but they are not. The smooth-skinned animals, which typically inhabit moist areas near bodies of water, are unrelated to reptiles.
Salamanders may look like lizards, but they are not. The smooth-skinned animals, which typically inhabit moist areas near bodies of water, are unrelated to reptiles.