/en/microscope-resource-center/nav
Pseudostratified Ciliated Columnar Epithelium | Evident Scientific

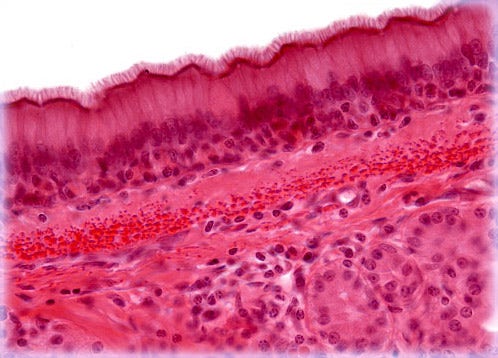
Pseudostratified Ciliated Columnar Epithelium
The cells that comprise the epithelial membranes are variously shaped and are named accordingly. As implied by their moniker, columnar epithelial cells are taller than they are wide, appearing like numerous miniature pillars.