/en/microscope-resource-center/nav

Vas Deferens Thin Section | Evident Scientific

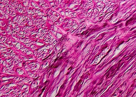
Vas Deferens Thin Section

Vas Deferens Thin Section

The vas deferens, sometimes alternatively referred to as ductus deferens , exists in pairs and is part of the male reproductive system in humans and other mammals. The thick walled-tubes composed of three layers of smooth muscle transport sperm cells from their storage site in the epididymis to the ampullae attached to the walls of the bladder.