/en/microscope-resource-center/nav
Keloid Scars

Keloid Scars

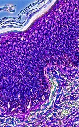
A stained thin section of human keloid scar tissue is illustrated above. As evidenced by the micrograph, combining phase contrast microscopy with classical histological staining techniques in pathological research often yields enhancement of cellular features.