LC35 Digital Microscope Camera

The LC35 digital microscope camera balances image quality with affordability to deliver an excellent value for standard brightfield imaging applications. As a complimentary component to our microscopes, the LC35 camera benefits from the ease of use our camera software is known for with seamless support and upgradeability to use with Olympus microscope systems.

*not available in Japan.

LC35 Microscope Digital Camera

Cost-Effective Brightfield Microscope Camera

The LC35 digital microscope camera balances image quality with affordability to deliver an excellent value for standard brightfield imaging applications. As a complimentary component to our microscopes, the LC35 camera benefits from the ease of use our camera software is known for with seamless support and upgradeability to use with Olympus microscope systems.

Affordable Brightfield Imaging

Capture detailed brightfield images for routine imaging, inspection, and documentation.

  • 3.5-megapixel CMOS sensor
  • Flexible to use with a range of samples under different observation conditions thanks to versatile exposure times and resolution modes
  • Displays your samples in their natural color tones, reducing the need for post-image-capture corrections
  • Navigate around your sample quickly and easily with an up to 40 fps frame rate to achieve precise focusing and fast image capture

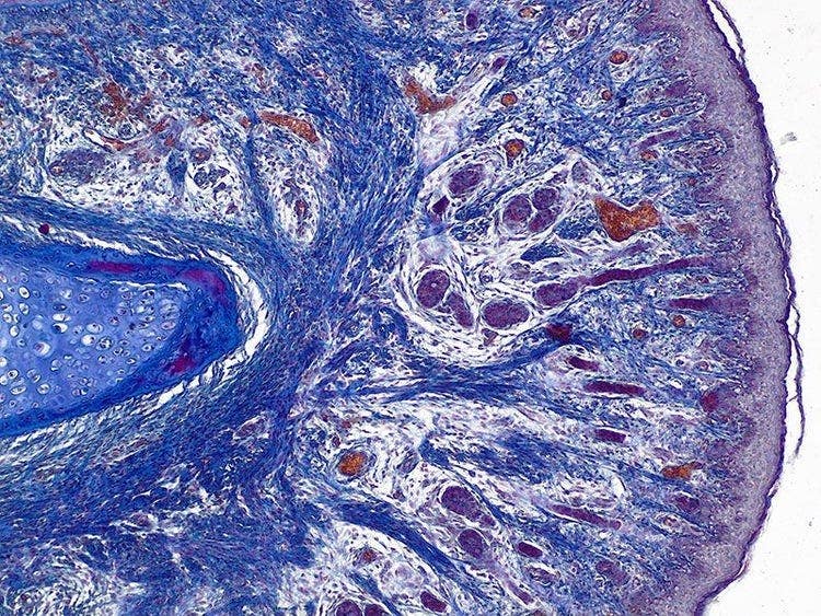
Specimen: Human Fingertip; Microscope: CX23, Objective: Plan Achromat 10x (NA 0.25), TV-Adaptor: U-TV0.5XC-3, Illumination: Brightfield (LED), Exposure time: 2.3 ms

Specimen: Cerebellum (Golgi (silver) staining); Microscope: CX23, Objective: Plan Achromat 40x (NA 0.65), TV-Adaptor: U-TV0.5XC-3, Illumination: Brightfield (LED), Exposure time: 13.5 ms

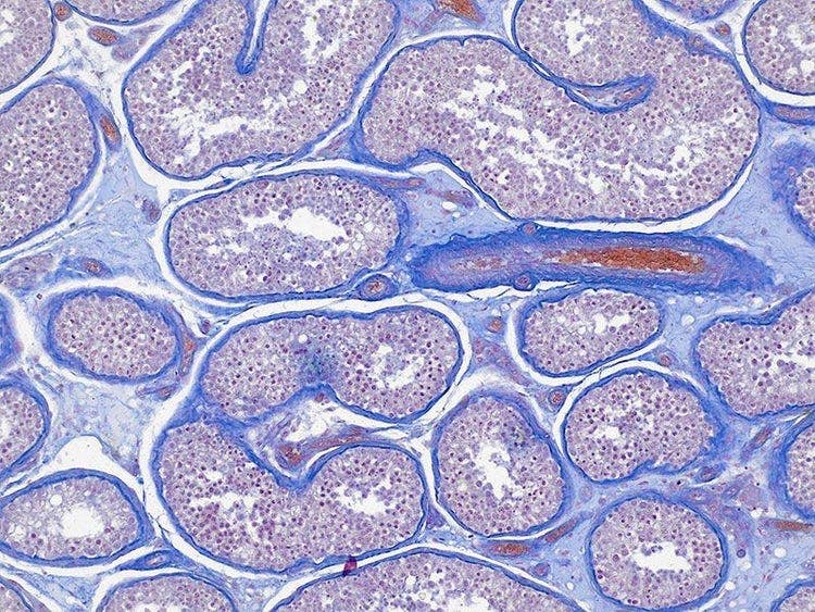
Specimen: Human (adult) testis; Microscope: CX23, Objective: Plan Achromat 10x (NA 0.25), TV-Adaptor: U-TV0.5XC-3, Illumination: Brightfield (LED), Exposure time: 2 ms

Specimen: Hazelnut; Microscope: CX23, Objective: Plan Achromat 10x (NA 0.25), TV-Adaptor: U-TV0.5XC-3, Illumination: Brightfield (LED), Exposure time: 3.6 ms

Specimen: Polytene chromosomes Microscope: CX23, Objective: Plan Achromat 40x (NA 0.65), TV-Adaptor: U-TV0.5XC-3, Illumination: Brightfield (LED), Exposure time: 16.9 ms

Specimen: Kidney glumeruli; Microscope: CX23, Objective: Plan Achromat 10x (NA 0.25), TV-Adaptor: U-TV0.5XC-3, Illumination: Brightfield (LED), Exposure time: 2 ms

Specimen: Spinal cord; Microscope: CX23, Objective: Plan Achromat 40x (NA 0.65), TV-Adaptor: U-TV0.5XC-3, Illumination: Brightfield (LED), Exposure time: 8.1 ms

Specimen: Mouse Embryo (bone); Microscope: CX23, Objective: Plan Achromat 10x (NA 0.25), TV-Adaptor: U-TV0.5XC-3, Illumination: Brightfield (LED), Exposure time: 1.3 ms

Seamless Support for Olympus Imaging Systems

Seamless Support for Olympus Imaging Systems

The LC35 microscope camera integrates easily with Olympus imaging systems, including full microscope set up assistance, software support, and optical compatibility.

  • Control the camera using our free LCmicro software for basic imaging and documentation
  • For advanced image acquisition and analysis, use the camera with cellSens software

Simple to Set Up and Start Using

Setting up the LC35 camera is simple. A single USB 3.1 cord enables a fast connection to your PC or laptop for power and high-speed data transfer—no AC adaptor is required. The camera can quickly be mounted to any light microscope using different C-mount adaptors.

When using the camera, the intuitive software makes it easy for users of any experience level to begin capturing images right away. With only a little training, you’ll quickly be able to use the camera to its full potential, including interactive measurements, commenting on images, archiving, and creating reports.

Simple to Set Up and Start Using

Specifications

Image Sensor
1/2.5-inch color CMOS

Resolution (max.)

Rowspan=3

2,160 × 1,620 pixels
1920 × 1080 pixels (full HD 16:9)
1,296 × 972 pixels (fast mode)
Pixel Size
2.64 × 2.64 µm
A/D Converter (Bit Depth)
10-bits
Exposure Time
25 µs–1.5 sec

Live Frame Rates*

Rowspan=3

Up to 19 fps at 2,160 × 1,620 pixels (@ full resolution)
Up to 25 fps at 1920 × 1080 pixels (@ full HD)
Up to 40 fps at 1,296 × 972 pixels (@ fast mode)
Data Transfer
USB 3.1 Gen1 Type-C
PC Requirements
CPU: Intel® Xeon, Intel® Core i5, i7, i9, or the equivalent
RAM: 8 GB
Recommended:
4 or more physical CPU cores
8 GB RAM (dual channel)
PC Control
Windows 10 (64-bit)
Imaging Platform
LCmicro
cellSens Entry, Standard, and Dimension v. 3.2 or higher**
DP2-TWAIN

*Frame rate may decrease depending on the condition of your PC, monitor resolution, and/or software.
**Service update for cellSens v. 3.2 required

Resources

Product Resources