Nota de aplicación

Contacto

Identificación de los tipos de fibra de colágeno I y III teñidos con rojo sirio usando el microscopio BX53 con el LED de alta reproducción de color y luminosidad de Olympus

Para observar las fibras de colágeno, las muestras pueden ser teñidas con la tinción tricrómica de Masson (MT), el kit Elastica van Gieson (EVG) o el kit Elastica Masson (E-M); sin embargo, la distinción entre los tipos de fibras de colágeno I y III no es posible al usar este método. En las actividades de investigación y descubrimiento de fármacos se requiere evaluar de forma cuantitativa las fibras de colágeno, por lo que es necesario distinguir los tipos de fibra de colágeno I y III. Los investigadores en este campo están orientando su atención a la observación de fibras de colágeno usando luz polarizada y tinción de rojo sirio; debido a que este método permite la distinción necesaria entre los dos tipos de fibras.

Problemas con la observación de fibras de colágeno usando luz polarizada y tinción de rojo sirio

A través de este método, las fibras de colágeno se identifican por los efectos cromáticos de interferencia, de modo que la luz diurna blanca es indispensable en calidad de color de iluminación; y, el ajuste de la intensidad de la luz también resulta necesario para la observación. En las actividades de investigación y descubrimiento de fármacos, las fibras de colágeno que contienen componentes de polarización deben ser detectadas de forma selectiva sobre un fondo oscuro.
En la observación de luz polarizada, el tipo de colágeno fibroso I se presenta en un color amarillo anaranjado claro; y, el tipo de colágeno fino III, que contiene la fibra reticular, se muestra de color verde. Una lámpara halógena estándar puede ser atenuada mediante un filtro de densidad neutra (filtro ND) o el control de la tensión. Sin embargo, en el caso anterior, la atenuación solo puede aplicarse de forma gradual (cuatro pasos) por lo que es imposible lograr un control preciso. En el último caso, el tipo de fibra de colágeno III que se halla en el color de interferencia verde no puede ser identificado, debido a que el componente de color de la lámpara en amarillo anaranjado es más fuerte que el color verde bajo la luz de baja intensidad. Este efecto se específica en las características espectrales a continuación.

Problemas con la observación de fibras de colágeno usando luz polarizada y tinción de rojo sirio

Por lo general, la distinción entre los tipos de fibra de colágeno I y III es compleja y requiere mucho tiempo con una lámpara halógena, lo que genera bajos niveles de eficiencia y precisión. Además, una observación microscópica que aplica luz polarizada es todo un desafío ya que requiere habilidades y conocimientos especiales.

Ventajas del LED de alta luminosidad del microscopio BX53

Hace poco, se demostró que la observación simple con luz polarizada, por medio de un microscopio BX53 equipado del LED de alta reproducción de color y luminosidad de Olympus, es eficaz para superar estos problemas. El LED del microscopio BX53 permite hacer la distinción entre los tipos de fibra de colágeno I y III, ya que éste se dota de un diseño con características espectrales, las cuales simulan una lámpara halógena de 100 W (9 V), al usar un filtro de luz diurna de tono azul (LBD), y proporcionan un color blanco uniforme de luz diurna bajo cualquier intensidad de iluminación. La detección mediante una observación simple de luz polarizada, con el microscopio BX53 y este LED de alta luminosidad, permite una observación sencilla y ayuda a prevenir problemas técnicos.

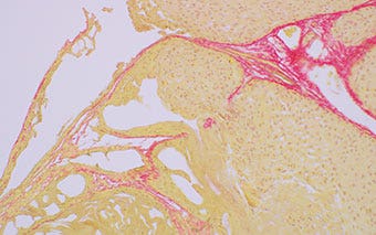
Tejido de pulmón de ratón (con tinción de rojo sirio)

Observación de campo claro

Observación de campo claro

Observación de luz polarizada sobre un fondo negro con atenuación
Los tipos de colágeno I y III pueden ser detectados mediante el color naranja y verde, respectivamente.

Figura 1: Lámpara halógena de 100 W
Figura 1: Lámpara halógena de 100 W

Figura 2: Microscopio BX53 equipado del LED de alta reproducción de color y luminosidad
Figura 2: Microscopio BX53 equipado del LED de alta reproducción de color y luminosidad

Evaluación cuantitativa de fibras de colágeno

En la investigación y el descubrimiento de fármacos, la identificación de cada tipo de colágeno y las evaluaciones cuantitativas como la proporción de área son tareas necesarias. Olympus puede ofrecer una solución completa al combinar el microscopio BX53 dotado del LED de alta representación de color y luminosidad con un sistema de procesamiento de imágenes. Por ende, el uso de una cámara DP74 junto con el software de procesamiento de imágenes cellSens favorece la extracción automática de las fibras de colágeno, la medición de sus áreas y su relación en función de la información cromática de las imágenes adquiridas.

Figura 3: Imagen de muestra*

Figura 3: Imagen de muestra*

Figura 4: Resultados de medición

Figura 4: Resultados de medición

*El rojo muestra el tipo de colágeno I y el verde muestra el tipo de colágeno III

LED de alta luminosidad del BX53 para facilitar la investigación y el descubrimiento de fármacos

El microscopio BX53 dotado del LED de alta reproducción de color y luminosidad proporciona un blanco uniforme bajo cualquier intensidad de luz y presenta características espectrales equivalentes a una lámpara halógena de 100 W, lo que permite identificar los tipos de fibras de colágeno I y III teñidas con rojo sirio. For simple polarized light observation, you will need analyzer for transmitted light (U-ANT) and polarizer (U-POT).
Es posible usar un sistema que combina el microscopio BX53 con su tecnología LED avanzada más la cámara digital DP74 y el software de procesamiento de imágenes cellSens, que integra la solución de recuento y medición, a fin de evaluar de forma cuantitativa y precisa cada tipo de fibra de colágeno, lo cual es una función esencial en la investigación y el descubrimiento de fármacos.

Productos usados para esta aplicación

Microscopio de fluorescencia semimotorizado

BX53

  • Iluminación LED de alta luminosidad con colores vivos
  • Concepto modular que permite motorizar los componentes individualmente
  • Fácil adquisición de imágenes por fluorescencia multicolor

Más información