Notas de aplicación

Contacta con nosotros

Favorecer la investigación de la malaria o el paludismo con una solución de iluminación microscópica alimentada por baterías

El equipo de Soluciones Personalizadas de Evident puede cocrear soluciones con usted para solucionar problemas de microscopía específicos o para mejorar las funciones de nuestros microscopios estándar. Aquí, se demostrará cómo ofrecemos capacidades más allá de lo convencional al prestar apoyo en la capacitación de la microscopía en lugares remotos.

Desafíos de los laboratorios de investigación de malaria en África subsahariana

El Informe mundial sobre la malaria estimó, según las estadísticas del 2020, que hubo 240 millones de casos de malaria en todo el mundo y causaron 627 000 muertes. Aproximadamente, el 95 % de estas muertes se produjeron en África.1

Para reducir la severidad de la enfermedad en pacientes y prevenir la difusión de la enfermedad transmitida por mosquitos, la malaria (o el paludismo) debe ser tratada lo antes posible. En áreas gravemente afectadas por la malaria, se recomienda que la enfermedad sea tratada dentro de un plazo de 24 horas.2 Para identificar de forma precisa y eficaz los parásitos que causan la malaria, el personal de laboratorio que evalúa las muestras requiere una capacitación apropiada. Asimismo, si se sospecha el padecimiento de malaria (o paludismo), pero no se le da una evaluación adecuada, puede que los pacientes con otras enfermedades no reciban el tratamiento apropiado. Por tanto, tener trabajadores sanitarios capacitados en las localidades clave es fundamental para la lucha conta la malaria.

1. Se requiere la rápida evaluación de los parásitos de la malaria.

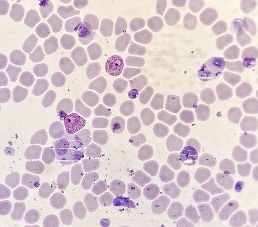
Para identificar los parásitos de la malaria con un microscopio, el microscopista inicia tiñendo la gota de sangre, por lo general con el colorante Giemsa, para hacer que los parásitos de la malaria sean más visibles. A continuación, la muestra de la gota de sangre es extendida (frotis de sangre) en el portaobjetos microscópico y examinada bajo un microscopio para visualizar la presencia de parásitos de la malaria, tal y como se muestra en la Figura 1.

Plasmodium vivax trophozoite, a malaria blood parasite

Figura 1. Plasmodium vivax trofozoíto: parásito causante de la malaria

Para favorecer una rápida evaluación, las infraestructuras sanitarias dotadas de microscopios se encuentran ubicadas lo más cerca posible de las comunidades de riego en África subsahariana. Contar con la disponibilidad de microscopistas capacitados es igual de importante que contar con infraestructuras sanitarias bien equipadas para poder usar dicho equipamiento.

2. Las infraestructuras de capacitación en comunidades remotas se enfrentan a condiciones difíciles.

El microscopio biológico CX23 es usado ampliamente para fines de capacitación y educación. (Figura 2). El diseño fácil de usar, ligero, compacto y altamente durable del microscopio CX23 es una opción práctica para las infraestructuras educativas en lugares remotos. Asimismo, su óptica de vanguardia marca la diferencia en el procesamiento de imágenes.

Olympus CX23 educational microscope

Figura 2. El microscopio CX23 se adapta bien a la capacitación, y su diseño ergonómico ofrece comodidad durante los largos períodos de observación de muestras en laboratorio.

En la mayoría de los entornos de capacitación de laboratorio, las muestras de ensayo reciben una iluminación a partir del modelo CX23 estándar que usa una lámpara LED integrada alimentada por una red eléctrica. Sin embargo, la disponibilidad y fiabilidad de las fuentes principales de energía eléctrica en algunas localidades son variables. Si la red eléctrica sufre perturbaciones por períodos extensos durante la capacitación de microscopía, la cualificación de los microscopistas puede verse retardada considerablemente.

Resolver los desafíos de la evaluación de la malaria con acceso limitado a la electricidad

El equipo de ventas y de soluciones personalizadas de Evident, dedicado a Europa, Medio Oriente y África, ha colaborado con infraestructuras de capacitación sanitaria en África para desarrollar una solución que permita a los microscopistas continuar con su capacitación incluso durante cortes de electricidad prolongados o en regiones sin fuentes de electricidad fácilmente disponibles.

La solución, que se muestra en la Figura 3, es una fuente de luz LED USB portátil que puede ser instalada fácilmente en los microscopios CX23. Posee una variedad de opciones de acoplamiento para brindar flexibilidad a los microscopistas a fin de que escojan la configuración deseada para su examen.

Battery powered illumination for the CX23 microscope

Figura 3. Imagen de una luz LED USB instalada en el microscopio CX23 y conectada a la fuente de alimentación del panel solar.

Al trabajar con un proveedor especialista en tecnología de iluminación, el equipo de soluciones personalizadas se aseguró de que la fuente de luz ofrezca un funcionamiento superior a 10 horas usando cargadores portátiles USB ampliamente disponibles. Esto permite que los microscopistas mantengan la progresión de su capacitación por períodos prolongados.

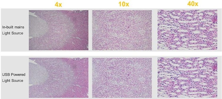
La fuente de luz alimentada por baterías presenta una iluminación uniforme y temperatura de color equivalentes a las del LED integrado del CX23 con el fin de mantener el rendimiento óptico y, en última instancia, la calidad del diagnóstico. Esta capacidad puede apreciarse mediante la comparación de imágenes en la Figura 4.

Mains powered light source versus USB battery-powered light source comparison of CX23 microscope images

Figura 4. Imágenes microscópicas mostrando la misma calidad de imagen en un rango de diferentes magnificaciones con respecto al LED integrado del CX23 y la fuente de luz USB personalizada y portátil.

Esta fuente de luz, funcionando bajo condiciones normales, ofrece una vida útil de ocho años. Por su parte, el control de iluminación ergonómico permite al operador optimizar fácilmente la intensidad de la luz.

Tras probar la fuente de luz, un colaborador de Wirsam Scientific —distribuidor de Evident en Sudáfrica— nos manifestó su apreciación: «En nuestra región, actualmente hay repartos de carga rotativos y numerosos cortes de alimentación imprevistos. Hemos usado la fuente de luz LED en un microscopio CX23 a través de dos configuraciones: acoplada a la base del microscopio e instalada en el condensador. Se encontró que la intensidad de luz fue más que adecuada.

USB light source for microscopes powered by solar panel

Figura 5. Configuración de Wirsam Scientific usando un panel solar para alimentar la iluminación USB.

Usamos el sistema sin detenernos por al menos ocho horas, y la intensidad de la luz permanecía constante. Incluso se usó la fuente de luz alimentada directamente con el panel solar, y funcionó realmente bien (Figura 5). Vivir en un continente donde la luz del sol es omnipresente, hace que esta opción sea eficiente y económica. En algunas áreas remotas de África, donde no hay electricidad ni un sistema fiable de red eléctrica, el panel solar permite aliviar estos desafíos».

Esta solución personalizada de alta calidad, a pesar de parecer simple, demuestra el compromiso de Evident en crear soluciones para las ciencias de la vida e industria que puedan hacer un mundo más seguro y sano.

Explore algunas de las formas en las que nuestro equipo de Soluciones personalizadas puede cocrear soluciones para los requisitos de su inspección.

No está disponible en todas las regiones. Póngase en contacto con su representante local de ventas para más detalles.

1https://www.who.int/teams/global-malaria-programme/reports/world-malaria-report-2021
2https://www.cdc.gov/malaria/malaria_worldwide/reduction/dx_tx.html

Productos usados para esta aplicación

Microscopio biológico

CX23

  • Diseño estructural diverso y fácil de usar
  • Excelente rendimiento óptico
  • Iluminación LED de larga duración

Más información

Soluciones de integración con componentes OEM

Olympus ofrece información óptica y mecánica para asistir en la integración de componentes Olympus que formarán la configuración final de un producto. Cuando las exigencias de configuración van más allá de los componentes disponibles comercialmente, existen lentes de objetivo personalizadas y conjuntos ópticos disponibles Olympus.

Más información

Fuentes de luz

Ofrecemos una amplia variedad de fuentes de luz optimizadas para sus aplicaciones de campo claro o fluorescencia.

Más información

U-FLLED

Una fuente de luz LED compacta de montaje directo, diseñada para imágenes de fluorescencia de rutina en microscopios manuales y semimotorizados. Con enfriamiento pasivo sin ventilador y canales de excitación modulares, U-FLLED ofrece una iluminación estable y uniforme para muestras fijas y flujos de trabajo cotidianos sin mayor complejidad del sistema.

  • Iluminación LED de montaje directo para configuraciones de microscopios integrados
  • Canales de excitación modulares para fluoróforos comunes
  • Funcionamiento silencioso y sin ventilador para imágenes de fluorescencia de rutina

Más información