Notas de aplicación
Digitalización del portaobjetos usando un microscopio manual y una cámara digital
La creciente importancia de la digitalización de muestras en portaobjetos
Cada vez es más importante aumentar la eficiencia de las operaciones en laboratorio mediante la digitalización de los portaobjetos; una práctica a la que se le conoce como procesamiento de imágenes de portaobjetos completo (whole slide imaging, WSI). El procesamiento de imágenes de portaobjetos completo ofrece muchas ventajas en cuestión de productividad, ya que no es necesario configurar un microscopio para observar una muestra. Más bien, las imágenes de portaobjetos virtuales pueden ser visualizadas desde su PC, en el cual es posible modificar la posición de la observación y magnificación, además se llevar a cabo una observación simultánea y remota con compañeros a distancia.
Si bien los escáneres motorizados para portaobjetos virtuales permiten agilizar el proceso WSI, no todos los investigadores cuentan con el presupuesto necesario, el espacio de escritorio o la capacidad de datos para adquirir uno. Como alternativa, es posible combinar el microscopio manual BX53 de Olympus con una cámara digital DP74 para llevar a cabo el procesamiento de imágenes de portaobjetos completo de forma asequible y en un espacio de trabajo reducido.
Digitalización de portaobjetos usando el procesamiento manual de portaobjetos completo
El procesamiento manual de portaobjetos completo (mWSI) genera datos a partir de imágenes digitales de una muestra completa sin usar una platina motorizada. El método mWSI combina el microscopio manual BX53, la cámara digital DP74 y el software cellSens de Olympus. Se trata de una estrategia efectiva para crear imágenes en mosaico con una magnificación baja. A medida que la platina es desplazada de forma manual, las imágenes adquiridas se unen en tiempo real. Así, es posible captar la imagen del espécimen (muestra) completo dentro un rango arbitrario. Por ejemplo, un área de la muestra de 15 mm2 puede escanearse en unos 30 segundos usando una lente de objetivo 4X.
Aplicaciones comunes para el procesamiento manual de portaobjetos completo
Caso 1. Debate en grupo
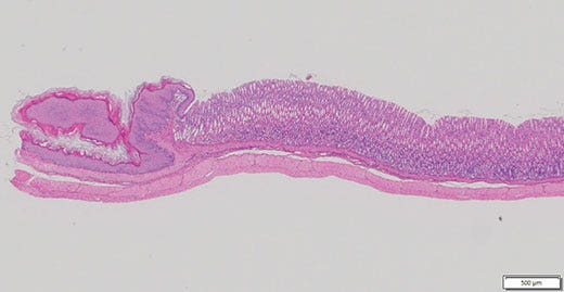
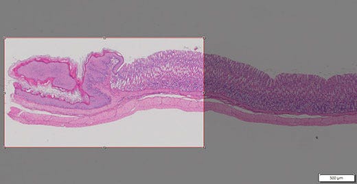
En algunas situaciones, como en los grupos de estudio, puede ser necesario mostrar toda la muestra con una magnificación alta y una baja. Con el procesamiento manual de portaobjetos completo, es posible capturar una imagen de la muestra entera usando un objetivo de magnificación baja (Figura 1). El grupo puede comentar la imagen del portaobjetos virtual a través de la visualización de pantalla, en lugar de configurar y usar un microscopio. El mWSI también resulta útil para analizar las imágenes de muestras capturadas con una magnificación alta, ya que es posible identificar la ubicación de la imagen con respecto al portaobjetos de la muestra entera (Figura 2).
Videos asociados
Figura 1: Imagen de una muestra con baja magnificación
Videos asociados
Figura 2: Es posible identificar fácilmente la ubicación de la imagen
Caso 2. Imágenes para documentos de investigación y conferencias académicas
Los documentos y los pósteres de conferencias académicas suelen mostrar una amplia serie de imágenes. No obstante, puede ser complicado capturar toda la muestra pese al uso de un objetivo de magnificación baja. El procesamiento de imágenes manual de portaobjetos completo facilita la unión de varias áreas con el fin de adquirir una imagen global clara (Figura 3) y después cortar la imagen mosaico con la intención de capturar un área específica (Figura 4).
Fig. 3: Amplia imagen global de una muestra
Fig. 4: Recorte de imagen global para capturar el área de interés
Caso 3. Conservación digital de archivos
En el pasado, era necesario usar escáneres motorizados para portaobjetos virtuales a fin de capturar una muestra completa a modo de imagen de portaobjetos virtual. Pero con el procesamiento de imágenes manual de portaobjetos completo ahora es posible crear un archivo digital usando menos datos. Para ello, solo se tiene que agregar la cámara digital DP74 y el software cellSens en el microscopio BX53.
En el caso de algunas muestras, como por ejemplo los grupos celulares, es necesario capturar el plano multifocal. Esto puede hacerse con facilidad mediante la grabación de un video y el cambio manual de la posición de enfoque para obtener la información necesaria en un archivo mucho más pequeño.
Videos asociados
Figura 5: Imagen de un grupo celular
Caso 4. Consulta remota/a distancia
Los debates asociados a la observación remota/a distancia, más frecuentes en el ámbito educativo, suelen requerir un ponente que comparta electrónicamente las imágenes de las muestras capturadas con un microscopio. Sin embargo, configurar un microscopio para una videoconferencia puede ser una tarea compleja y consumir mucho tiempo. Mediante una digitalización previa de toda la muestra previamente gracias al procesamiento manual de portaobjetos completo, podrá estudiar fácilmente una muestra con asesores y compañeros a distancia.
Mejore la observación con el procesamiento de imágenes manual de portaobjetos completo
Usar el método de procesamiento de imágenes manual de portaobjetos completo combinado con el microscopio manual BX53, la cámara digital DP74 y el software cellSens de Olympus, le permitirá observar las muestras de forma más eficaz y con un costo (Esp. coste) inferior al de los escáneres motorizados para portaobjetos virtuales.
Productos usados para esta aplicación
https://main--eds-evident-website--evident-scientific.hlx.live/es/microscopes/upright/bx53f2/
Microscopio de fluorescencia semimotorizado
BX53
- Iluminación LED de alta luminosidad con colores vivos
- Concepto modular que permite motorizar los componentes individualmente
- Fácil adquisición de imágenes por fluorescencia multicolor
https://main--eds-evident-website--evident-scientific.hlx.live/es/camera/color/dp74/
Cámara digital para microscopía
DP74
Mediante un procesamiento de imágenes nítidas con fluorescencia, la cámara microscópica digital DP74 junto con su sensor CMOS refrigerado brindan imágenes de alta calidad de color en 60 fps. Asimismo, el navegador de posición de la cámara proporciona un seguimiento visual del área de interés.
- Obtención de imágenes de muestras vivas con alta calidad de color en 60 fps.
- Navegador de posiciones (Position Navigator) que permite el seguimiento visual del área de interés en una imagen mosaico
- Sensor CMOS refrigerado que permite obtener imágenes nítidas de fluorescencia con bajo ruido
https://main--eds-evident-website--evident-scientific.hlx.live/es/software/cellsens/
Soluciones para ciencias de la vida
cellSens
Con operaciones intuitivas y un flujo de trabajo sin problemas, la interfaz del usuario del software cellSens puede ser personalizada para que usted controle el diseño. Gracias a su variedad de paquetes de software, el software cellSens proporciona una diversidad de funciones optimizadas para sus necesidades específicas de procesamiento de imágenes. Las funciones de Administrador gráfico experimental (GEM) y Navegador por pocillos facilitan la adquisición de imágenes 5D. Logre una resolución optimizada a través de la deconvolución TruSight™, y comparta sus imágenes mediante el Modo Conferencia.
- Eficiencia del experimento mejorada con el análisis de segmentación por aprendizaje profundo TruAI™ para la detección de núcleos sin marcado y el recuento de células
- Plataforma de software modular para el procesamiento de imágenes
- Interfaz del usuario intuitiva basada en aplicaciones
- Vasta gama de funciones que van desde la simple toma fotográfica hasta avanzados experimentos multidimensionales en tiempo real
Comparar seleccionados
Productos no relacionados