Notas de aplicación

Contáctenos

Agilizar y optimizar la segmentación y el análisis de islotes pancreáticos con el escáner de portaobjetos dedicado a la investigación VS200 y la solución de aprendizaje profundo TruAI

Con el objetivo de recopilar datos relevantes para las investigaciones, los investigadores deben analizar grandes grupos de imágenes. Dicho análisis puede ser cuantitativo o cualitativo; pero, además, debe ser fiable e imparcial. Cabe agregar que esta tarea puede ser engorrosa según el área morfológica de interés. Para acelerar este proceso, Olympus ofrece una solución de aprendizaje profundo (Deep Learning) en combinación con el escáner de portaobjetos para investigación SLIDEVIEW VS200. Y, se ha querido poner a prueba esta solución en la segmentación y análisis de islotes pancreáticos.

Detección y segmentación de islotes pancreáticos

Al trabajar en la investigación experimental para la diabetes, los investigadores buscan desarrollar una mejor comprensión del proceso completo que encierra esta enfermedad; de esta manera serán capaces de desarrollar mejores tratamientos con una mayor eficacidad. Una parte fundamental de su investigación implica el análisis de un número importante de cortes del páncreas.

El páncreas ejecuta dos funciones principales: excretar enzimas para descomponer las proteínas, los lípidos, los carbohidratos y los ácidos nucleicos de los alimentos (exocrina) y secretar varias hormonas, como la insulina y el glucagón, para controlar los niveles de azúcar en la sangre (endocrina). La última función es crucial en el caso de la diabetes. Los grupos de células beta del páncreas, también llamados islotes de Langerhans, desempeñan un papel fundamental en la secreción de insulina. La insulina favorece la reducción de la glucosa en la sangre, ya que estimula su absorción por células de otros tejidos para obtener energía.

En la investigación de la diabetes y otras enfermedades metabólicas, los investigadores desean analizar el porcentaje y la posición relativa de estas células beta productoras de insulina. El análisis microscópico de un gran volumen de imágenes es imperativo para determinar la morfología y cuantificar los islotes pancreáticos.

Experimento con el escáner de portaobjetos dedicado a la investigación SLIDEVIEW VS200 y la solución de aprendizaje profundo TruAI

Para demostrar cómo la tecnología de aprendizaje profundo (Deep Learning) TruAI de Olympus puede mejorar esta aplicación de investigación, se ha llevado a cabo un proyecto en el que se investiga el proceso de envejecimiento de los islotes de Langerhans en ratones CB57BL/6NTac con el objetivo de comprender los cambios morfológicos y funcionales de los islotes pancreáticos.

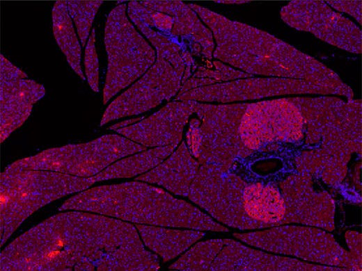
Ejemplo de un portaobjetos digitalizado por el escáner de portaobjetos VS200 de Olympus para el experimento documentado.

Ejemplo de un portaobjetos digitalizado por el escáner de portaobjetos VS200 de Olympus para el experimento documentado. Corte de páncreas teñido con Alexa 594 y secciones tisulares con DAPI por cortesía de Simone E. Baltrusch, Catedrática de Universidad - D.Sc, Instituto de Bioquímica Médica y Biología Molecular del Centro Médico Universitario de Rostock, Alemania.

Las muestras, brindadas por cortesía de la Dra. Simone E. Baltrusch y la Dra. Cindy Zehm del Instituto de Bioquímica Médica y Biología Molecular del Centro Médico de la Universidad de Rostock, Alemania, son cortes del páncreas de un ratón preparados por el protocolo de tinción para anticuerpos de insulina. Esta tinción permite identificar las células beta dentro de los islotes de Langerhans. Dichas células corresponden a la parte endocrina del páncreas cuya arquitectura celular difiere de la parte exocrina.

Se generaron los portaobjetos digitales de las muestras de páncreas de ratón bajo una magnificación de 10× usando el escáner de portaobjetos para investigación SLIDEVIEW VS200. Se obtuvieron 40 imágenes como resultado a partir de las cuales podían identificarse a simple vista los islotes de Langerhans. Las imágenes mostraban claramente el anticuerpo secundario rojo, teñido con Alexa 594, unido al anticuerpo primario que se sujeta a las células beta productoras de insulina y contrasta con la contratinción de los núcleos DAPI (azul).

Desafíos al detectar y analizar de forma automática los islotes pancreáticos

La observación de los islotes pancreáticos en un corte de páncreas murino puede llevarse a cabo con anticuerpos de fluorescencia específicos. Por lo general, para analizar estas estructuras en imágenes digitalizadas, los investigadores seleccionan los islotes de forma manual; pero, hay que dedicar mucho tiempo. Por otro lado, los métodos tradicionales de segmentación automática, como los algoritmos basados en umbrales, no llegan a identificar los islotes pancreáticos de forma exclusiva, tal y como se muestra a continuación.

Imagen en 10x que muestra la detección por el método de umbral convencional en color amarillo, sin distinguir los islotes (círculo verde) de los glóbulos rojos (círculo azul).

Imagen en 10x que muestra la detección por el método de umbral convencional en color amarillo, sin distinguir los islotes (círculo verde) de los glóbulos rojos (círculo azul).

En la observación del canal Alexa 594, también se detectó la autofluorescencia de los eritrocitos; esto dificulta la distinción automática del anticuerpo marcado que se emplea para teñir las células beta albergadas en un islote pancreático (círculo verde) de un vaso sanguíneo lleno de eritrocitos (círculo azul). En cambio, el escáner de portaobjetos para investigación VS200 ofrece un módulo TruAI, cuyo enfoque de aprendizaje profundo se basa en redes neuronales convolucionales y complementa al software de escritorio VS-Desktop en el análisis de las imágenes.

Estas redes son una forma de microscopía de autoaprendizaje y un modelo tecnológico extremadamente poderoso para la segmentación de objetos. Gracias a esta tecnología, es posible automatizar la detección de los islotes pancreáticos murinos. El proceso de formación de la red neuronal se explica a continuación:

Islote pancreático (círculo verde); células sanguíneas (círculo azul)

Islote pancreático (círculo verde); células sanguíneas (círculo azul)

Proceso de trabajo sencillo para segmentar y analizar muestras de forma automática con la solución de aprendizaje profundo TruAI

El primer paso para habilitar este análisis automático es cargar en el software imágenes de muestras potenciadas por notas o datos aprobados en terreno. En este caso, se marcaron a mano los islotes de doce muestras diferentes provenientes de páncreas de ratones (círculo verde).

Corte de páncreas en fluorescencia con islotes marcados a mano / Detalle de los islotes marcados a mano (círculo verde)

Mientras más objetos sean marcados, mejor serán los resultados. Un mayor número de objetos con múltiples diferencias en intensidad, color, tamaño y forma hará que la red neuronal sea más sólida. El sencillo complemento de software proporciona varias herramientas para facilitar el marcado manual.

Después de generar los datos marcados, el siguiente paso es formar la red neuronal profunda (DNN). En esta fase, la red compara los datos aprobados en terreno con los propios datos que ha calculado hasta que consigue un valor de alta probabilidad. Este dato calculado es un modelo de inteligencia artificial (IA) que imita al cerebro humano (denominado comúnmente «DNN») y, por lo tanto, aprende a reconocer estructuras complejas y emitir valoraciones inteligentes.

Por último, el DNN que ha sido calculado en este caso se aplicó al resto de imágenes de páncreas para detectar y separar automáticamente los islotes de Langerhans.

Una red neuronal profunda formada por la tecnología TruAI de Olympus puede ser transferida y usada en cualquier software de escritorio VS-Desktop, así como con otros productos compatibles de Olympus.

Este proceso automatizado para segmentar y analizar islotes pancreáticos incluye estos tres sencillos pasos:

1. Se digitaliza una nueva imagen con el escáner de portaobjetos dedicado a la investigación SLIDEVIEW VS200.

Escáner de portaobjetos dedicado a la investigación VS200
Se digitaliza una nueva imagen con el escáner de portaobjetos para investigación SLIDEVIEW VS200.

2. El DNN formado detecta y separa los islotes pancreáticos.

El DNN formado detecta y separa los islotes pancreáticos.

3. Los islotes pancreáticos detectados pueden ser segmentados y utilizados para análisis posteriores de recuento y medición en la imagen generada.

Los islotes pancreáticos detectados pueden ser segmentados y utilizados para análisis posteriores de recuento y medición en la imagen generada.

Resumen de las ventajas del escáner de portaobjetos dedicado a la investigación SLIDEVIEW VS200 con la solución de aprendizaje profundo TruAI en la detección y segmentación de islotes pancreáticos

El módulo TruAI permitió una fácil detección de los objetos y la segmentación de los islotes pancreáticos a partir de imágenes complejas con una fiabilidad y precisión superiores a otros métodos automáticos existentes. Asimismo, es posible llevar a cabo otros análisis, como el recuento y la medición, en función de los resultados de la segmentación.

La combinación del escáner de portaobjetos para investigación SLIDEVIEW VS200 con la solución de aprendizaje profundo TruAI viabiliza un flujo de trabajo completo, desde la digitalización de las muestras hasta el análisis preciso de los datos en modo cuantitativo, a través de una amplia gama de aplicaciones biológicas que generan una variedad de imágenes, como las muestras celulares o tisulares en campo claro y fluorescencia.

La automatización precisa en el análisis de imágenes aliviará gran parte del engorroso trabajo manual que deben cumplir los científicos para que su investigación sea más eficiente.

Agradecimientos

Esta nota de aplicación ha sido elaborada en colaboración con los investigadores del Instituto de Bioquímica Médica y Biología Molecular, Centro Médico de la Universidad de Rostock (Rostock, Alemania) y Sara Quiñones González, Gerente de Producto, División Olympus Soft Imaging Solutions GmbH [Soluciones Software para el Procesamiento de Imágenes de Olympus], Münster, Alemania.

Productos usados para esta aplicación


https://main--eds-evident-website--evident-scientific.aem.live/es/solutions-based-systems/research-slide-scanner/

VS200

El escáner de portaobjetos dedicado a la investigación VS200 mejora la velocidad y la eficiencia en aplicaciones que requieren análisis cuantitativos a partir de un alto volumen de muestras, tal y como se experimenta en la investigación del cerebro, el cáncer, las células madre y el descubrimiento de fármacos/medicamentos. Capture con rapidez y facilidad imágenes de portaobjetos de alta resolución y calidad; asimismo, analice, comparta y almacene sus datos con fluidez. El sistema VS200 otorga cinco modos de procesamiento de imágenes: campo claro, fluorescencia, campo oscuro, contraste de fase y polarización simple. Soporte de carga al instante de hasta 210 portaobjetos para escaneos automatizados

  • Procesamiento de portaobjetos completos de alta resolución: de 2X a 100X
  • Admisión de múltiples tamaños de portaobjetos y métodos de observación
  • Proceso de trabajo simplificado y potente: desde el campo claro hasta la fluorescencia multiplexada
  • Exclusiva capacidad de configuración sobre la marcha en el software como en el hardware: desde el escaneo manual de campo claro hasta el reconocimiento por inteligencia artificial (IA), y el escaneo completamente automatizado

View larger image: cellSens Microscope Imaging Software Image 1 of 1
https://main--eds-evident-website--evident-scientific.aem.live/es/products/software/cellsens/

cellSens

Con operaciones intuitivas y un flujo de trabajo sin problemas, la interfaz del usuario del software cellSens puede ser personalizada para que usted controle el diseño. Gracias a su variedad de paquetes de software, el software cellSens proporciona una diversidad de funciones optimizadas para sus necesidades específicas de procesamiento de imágenes. Las funciones de Administrador gráfico experimental (GEM) y Navegador por pocillos facilitan la adquisición de imágenes 5D. Logre una resolución optimizada a través de la deconvolución TruSight™, y comparta sus imágenes mediante el Modo Conferencia.

  • Eficiencia del experimento mejorada con el análisis de segmentación por aprendizaje profundo TruAI™ para la detección de núcleos sin marcado y el recuento de células
  • Plataforma de software modular para el procesamiento de imágenes
  • Interfaz del usuario intuitiva basada en aplicaciones
  • Vasta gama de funciones que van desde la simple toma fotográfica hasta avanzados experimentos multidimensionales en tiempo real