Iluminando lo invisible: El poder de scanR para hacer visible lo invisible

Yeasts imaged with the scanR high-content screening system and analyzed with TruAI deep-learning technology.

Rebecca Chandler

Rebecca Chandler

24 de julio de 2025

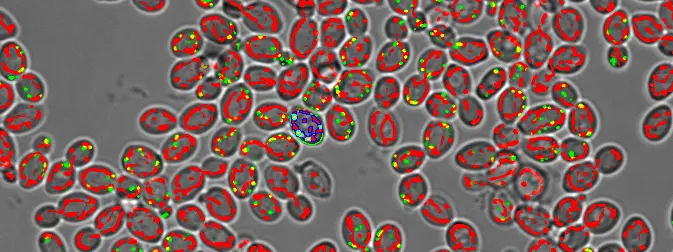
Primer plano de levaduras, fotografiadas en una placa de pocillos de forma automatizada utilizando un sistema de cribado de alto contenido scanR equipado con tecnología de microscopio de disco giratorio y una lente objetivo XAPO de aire de 40X (NA 0,95). Los fotogramas originales capturados por el microscopio son cuatro veces más grandes. Las levaduras tienen un diámetro aproximado de 5 μm. Las señales rojas y verdes son probabilidades de orgánulos, generadas a partir de redes de IA preentrenadas creadas dentro del software scanR.

scanR está empoderando a los investigadores para crear, descubrir y lograr más que nunca.

En Evident, la innovación no se limita a crear nuevas herramientas, sino que consiste en hacer posible un futuro en el que los científicos y los médicos puedan romper barreras, descubrir lo que antes era invisible y lograr avances significativos en los campos de la salud, la biología y la tecnología.

Nuestro sistema de cribado de alto contenido scanR, recientemente actualizado a la versión 3.6, se sitúa a la vanguardia de esa misión. Para obtener más información, nos reunimos con el Dr. Manoel Veiga, especialista en aplicaciones de Evident y uno de los cerebros detrás de la última versión de scanR.

Lo que siguió fue una conversación amplia y profunda sobre el futuro de la imagenología, la inteligencia artificial y los descubrimientos a gran escala.

Creando plataformas que amplían los límites del descubrimiento científico

P: Manoel, comencemos por lo básico. ¿Qué significa «crear» en el contexto de la versión 3.6 de scanR?

Dr. Veiga: En Evident, «crear» significa proporcionar a los investigadores una plataforma que va más allá de la recopilación de imágenes: se trata de facilitar la creación de conocimiento real. Ya sea para desarrollar un nuevo ensayo desde cero o un nuevo modelo de IA para mejorar un ensayo ya establecido, scanR actúa como plataforma de lanzamiento para la innovación científica.

Repasemos un par de ejemplos pasados y recientes. Hace más de una década, los investigadores que se inspiraron en la interfaz de citometría de imágenes de scanR desarrollaron un proceso completo de adquisición y análisis denominado «citometría cuantitativa basada en imágenes». Este esfuerzo dio lugar a una serie de artículos de gran impacto en la investigación sobre el cáncer.1 Los diagramas de dispersión de miles de núcleos individuales, en los que se representaba el contenido de ADN frente a marcadores proteicos específicos, ayudaron a dilucidar los mecanismos y vías biológicas implicados en la respuesta a los fármacos.

Este mismo año 2025, un investigador que utilizaba las capacidades de IA y citometría de scanR desarrolló un flujo de trabajo al que denominó «Flujo de trabajo cuantitativo basado en IA para fibras de ADN». Este proceso estudió el estrés de replicación de forma automatizada mediante el análisis de fibras de ADN individuales captadas por el microscopio.2 El análisis de fibras de ADN ya existía, pero se basaba exclusivamente en la adquisición y el análisis manual de imágenes, lo que lo hacía lento y susceptible al sesgo del usuario. El nuevo flujo de trabajo basado en IA para fibras de ADN (qAID) permite obtener imágenes y realizar análisis multiparamétricos de miles de fibras de ADN en tan solo unas docenas de minutos.

Pasos en el análisis automatizado de imágenes de fibras de ADN utilizando el sistema de cribado de alto contenido scanR.

Estos ejemplos demuestran que cuando los investigadores adquieren un sistema scanR, no solo están comprando un microscopio. Están logrando resultados reales.

P: ¿Qué diferencia a scanR 3.6 de las versiones anteriores?

Dr. Veiga: El cambio más significativo es que la versión 3.6 de scanR funciona con la plataforma IXplore™ IX85, un microscopio invertido motorizado con un número de campo líder en el sector de 26,5 mm que ofrece un campo de visión sin igual. Los fotogramas de una sola cámara ahora también son más grandes, lo que se traduce en mejores estadísticas: un 50% más de células por imagen y escaneos más rápidos, ya que no es necesario recopilar tantas imágenes como antes para obtener las mismas estadísticas celulares.

Izquierda: Al aumentar el número de campos, aumenta el recuento celular. Derecha: Plataforma de microscopio invertido motorizado
IXplore IX85.

Además de la nueva plataforma IX85, ahora admitimos una mayor variedad de configuraciones de discos giratorios. Además del CSU-W1 de Yokogawa, que admite imágenes de superresolución en su versión SoRa, ahora hemos integrado Crest X-Light V3 con un diseño de acoplamiento especial para maximizar el amplio campo de visión del IX85.


Es importante mencionar que no solo el hardware contribuye a obtener resultados más rápidos.

El flujo de trabajo general del software es igual de importante:

  1. Un buen hardware no acelerará los escaneos si los usuarios dedican mucho tiempo a configurar los experimentos de adquisición. scanR puede iniciar experimentos de adquisición con solo unos clics dentro del software, manteniendo todas las células enfocadas.
  2. La velocidad general se acelera gracias a la adquisición y el análisis en paralelo. Hemos recibido comentarios de los usuarios que indican que las tareas que antes llevaban semanas o incluso meses ahora se pueden completar mucho más rápido, a veces en solo unas horas.

P: Parece que la IA está desempeñando un papel más importante en la versión 3.6 de scanR. ¿Cómo mejora el sistema?

Dr. Veiga: La mayoría de los ensayos de análisis se basan en la misma secuencia:

1) Segmentación de objetos.

2) Extracción de las características de esos objetos.

3) Clasificación de células individuales según las características extraídas.

4) Y obtener un porcentaje preciso de la población de cada tipo de célula en relación con los tratamientos.

Cuanto mejor pueda segmentar esos objetos, mayor será la calidad de los resultados. La razón es que los factores de intensidad y forma se extraen con gran precisión, lo que hace que las clasificaciones celulares posteriores sean más fiables. Por lo tanto, si puede segmentar con precisión lo que desea, podrá realizar una amplia gama de análisis adaptados a diversas aplicaciones de imagen.

En el pasado, los usuarios necesitaban mucha experiencia en el procesamiento de imágenes para segmentar selectivamente solo las estructuras específicas de interés. Afortunadamente, la segmentación ahora es fácil con la IA, una herramienta que simplifica significativamente los ensayos. La versión 3.6 de scanR incluye cinco redes preentrenadas: núcleos, células, manchas, estructura y núcleos en transmisión, que ayudan a los usuarios con las tareas de análisis más comunes.

Pluripotent stem cells acquired and segmented with a scanR widefield microscope. Células madre pluripotentes obtenidas con un microscopio de campo amplio scanR. El modelo de segmentación celular preentrenado con IA aplicado al canal verde se muestra en amarillo, mientras que el modelo de segmentación de núcleos preentrenado con IA aplicado al canal naranja se muestra en rojo.

Además de eso, los usuarios pueden aplicar un módulo de entrenamiento de IA para desarrollar sus propios algoritmos y segmentar estructuras específicas sin necesidad de tener conocimientos de programación informática. Ya sea que se trate de encontrar puentes cromosómicos durante la mitosis, analizar la interacción distintiva de las células en un lapso de tiempo o identificar un patrón de distribución de fluorescencia particular dentro de una célula, la IA lo lleva a un nivel de sofisticación que no podríamos haber alcanzado de otra manera.

Por último, las herramientas de clasificación y IA de scanR también se pueden utilizar para identificar rápidamente y volver a obtener imágenes de células o estructuras de interés en alta resolución aplicando la función de reescaneo de la región.

Iluminando lo invisible: Hacer visible lo invisible

P: El objetivo de Evident es «iluminar lo invisible» para ampliar los límites del descubrimiento científico. ¿Qué significa eso para los investigadores que utilizan scanR?

Dr. Veiga: «Iluminar lo invisible» consiste en revelar la complejidad y riqueza de los sistemas biológicos que las técnicas de imagen tradicionales suelen pasar por alto. Durante décadas, la microscopía consistía únicamente en observar lo que era visible a simple vista: características brillantes, células marcadas y marcadores fluorescentes. Pero hay mucho más debajo de la superficie. scanR permite a los investigadores capturar y analizar millones de células, proporcionando una visión completa de la variabilidad biológica, no solo unas pocas imágenes representativas.

Además, el sistema scanR puede identificar estructuras subcelulares, fenotipos celulares o comportamientos dinámicos que, de otro modo, serían demasiado sutiles para ver o demasiado complejos para medir. Por eso los investigadores pueden explorar nuevas cuestiones científicas que antes estaban fuera de su alcance.

No se trata solo de datos sin procesar, sino de descubrir información que antes no era accesible. Ese es el verdadero poder de scanR: ilumina lo invisible y proporciona a los investigadores las herramientas necesarias para realizar esos descubrimientos.

P: ¿Podría compartir un ejemplo de cómo se aplica esto en la investigación real?

Dr. Veiga: Por supuesto. Por ejemplo, dos imágenes situadas una al lado de la otra, cada una con miles de celdas, pueden parecer muy similares al ojo humano. Sin embargo, cuando las células se clasifican y se representan en histogramas multidimensionales, las diferencias entre las muestras se hacen evidentes a partir de los histogramas.

Comparison of cell populations using the scanR high-content screening platform. La imagen de la izquierda (control) es claramente diferente de las otras dos (hay células rosadas más brillantes y abundantes). Sin embargo, las diferencias entre las dos imágenes de la derecha no son tan evidentes. Los gráficos de histogramas 2D de los valores de intensidad de las diferentes marcas fluorescentes revelan claramente diferentes porcentajes de poblaciones celulares en las tres imágenes.

Dado que scanR puede analizar datos en paralelo a la adquisición, esto significa que podemos profundizar en las muestras de los clientes durante las demostraciones. Los investigadores acostumbrados a un rendimiento de imagen más bajo y a estadísticas celulares más bajas a veces se sorprenden al observar los histogramas 2D, ya que encuentran fenotipos que no esperaban.


Estos pueden ocurrir en un porcentaje muy bajo, pero son fácilmente visibles como valores atípicos en los histogramas 2D. A pesar de su bajo porcentaje, si son reproducibles, pueden tener relevancia biológica. Los usuarios pueden hacer clic directamente en los histogramas 2D y ver las celdas detrás de cualquier punto de datos, por lo que tienen un control total del experimento y pueden empezar a explorar nuevas cuestiones científicas.

2D histogram in scanR showing a cell with an abnormal number of spots. Una célula con un número anormal de puntos se identifica fácilmente como un valor atípico en un histograma 2D. La célula se puede volver a capturar con un aumento mayor (o incluso cambiando de campo amplio a confocal) utilizando la función Rescan Region.

Lograr lo que realmente importa: satisfacer las necesidades del mundo real

P: ¿En qué medida la versión 3.6 de scanR marca la diferencia en términos de usabilidad en el mundo real?

Dr. Veiga: En el mundo real, el tiempo, los recursos y la flexibilidad son limitados, por lo que es esencial que scanR 3.6 funcione dentro de esas limitaciones. Hemos diseñado scanR para que sea modular, lo que permite a los laboratorios comenzar con una configuración básica y ampliarla a medida que evolucionan sus necesidades, ya sea añadiendo capacidades de IA, incubación de células vivas, análisis de seguimiento celular o imágenes de superresolución. Además, los programas scanR y cellSens™ pueden coexistir en el mismo microscopio, lo que amplía la flexibilidad del sistema. Se trata de proporcionar un sistema que crezca al ritmo de las necesidades del laboratorio, sin añadir complejidad innecesaria.

Desde el punto de vista del software de análisis, estoy encantado de comprobar lo ingeniosamente que se diseñó scanR desde su primera versión. A lo largo de los años, su estructura nos ha permitido integrar a la perfección nuevas funciones en el conjunto de herramientas de análisis, como el procesamiento de imágenes, la jerarquía de objetos, el seguimiento de células y la segmentación basada en inteligencia artificial. Los datos sin procesar nunca se modifican, y se pueden realizar múltiples análisis en el mismo conjunto de datos sin necesidad de duplicar las imágenes. Se pueden utilizar uno o más modelos de IA en uno o más canales en una capa Z completa o en una sola capa Z. Las probabilidades de IA pueden inspeccionarse para el control de calidad, etc. Desde mi punto de vista, es la interfaz perfecta para el análisis basado en IA y el desarrollo de ensayos. Y es divertido trabajar con él: ¡sin duda, la herramienta de investigación más agradable con la que he trabajado en toda mi carrera!

Además, los responsables de las instalaciones de imagenología han compartido que scanR, junto con el software cellSens, se convirtió rápidamente en su solución de microscopía más utilizada en términos de tiempo dedicado al sistema, superando incluso a los microscopios confocales. Los resultados que están obteniendo son la verdadera medida del éxito.3

P: Por último, ¿qué es lo que más le entusiasma del futuro de scanR y del papel de Evident en las ciencias de la vida?

Dr. Veiga: Personalmente, lo que más me entusiasma es darme cuenta de que los usuarios de scanR no solo son nuestros clientes, sino también nuestros colaboradores cercanos. Sus comentarios sobre los sistemas nos ayudan a mejorarlos cada año, y los adaptamos a sus necesidades científicas en la medida de lo posible. Además, scanR va más allá de la obtención de imágenes y se adentra en el análisis, y ofrecemos asistencia para configurar ensayos de análisis que nos proporcionan información sobre sus investigaciones y las últimas tendencias en microscopía. Desde el punto de vista de la empresa, scanR es un gran activo que nos permite estar al día en el ámbito científico.

Por último, en Evident no solo desarrollamos soluciones de microscopía de vanguardia, sino que contribuimos al futuro de la ciencia. Y creo que scanR es el núcleo de ese futuro. Nuestra misión es empoderar a los investigadores. Queremos que todos los científicos tengan acceso a las mejores herramientas de imagen, independientemente del tamaño de su laboratorio o de sus líneas de investigación.

Acerca del (de la) entrevistado(a)

Manoel Veiga

Manoel Veiga obtuvo su doctorado en química física en la Universidad de Santiago de Compostela, España. Tras realizar dos posdoctorados en la Universidad Complutense de Madrid y la Universidad de Münster, trabajó para apoyar a profesionales de todo el mundo en los campos de la microscopía de imagen de vida útil de fluorescencia (FLIM) y la espectroscopia resuelta en el tiempo. En 2017, aportó su experiencia al EVIDENT Technology Center Europe, donde trabaja como especialista en aplicaciones globales centrándose en el análisis de alto contenido y el aprendizaje profundo.

Referencias

  1. Toledo, L.I., M. Altmeyer, M.B. Rask, C. Lukas, D.H. Larsen, L.K. Povlsen, S. Bekker-Jensen, N. Mailand, J. Bartek, and J. Lukas. 2013. "ATR Prohibits Replication Catastrophe by Preventing Global Exhaustion of RPA." Cell 155 (5): 1088–103.

    Michelena, J., A. Lezaja, F. Teloni, T. Schmid, R. Imhof, and M. Altmeyer. 2018. "Analysis of PARP Inhibitor Toxicity by Multidimensional Fluorescence Microscopy Reveals Mechanisms of Sensitivity and Resistance." Nature Communications 9 (1): 2678.

    Zonderland, G., R. Vanzo, S.A. Gadi, E. Martín-Doncel, F. Coscia, A. Mund, M. Lerdrup, J. Benada, D. Boos, and L. Toledo. 2022. "The TRESLIN-MTBP Complex Couples Completion of DNA Replication with S/G2 Transition." Molecular Cell 82 (18): 3350–65.e7.
  2. Fagherazzi, Paolo, Timo Diekmann, Alessandra Ardizzoia, Zuzana Machacova, Simran Negi, Anoop Kumar Yadav, Pavel Moudry, Vincenzo Costanzo, and Hana Polasek-Sedlackova. 2025. "Quantitative AI-Based DNA Fiber Workflow to Study Replication Stress." bioRxiv.
  3. Veiga, Manoel. 2022. "Multimodal Solution Supports Whole Slide Scanning and High-Content Screening in Neuroscience." EvidentScientific.com. Consultado el 24 de julio de 2025.

Productos presentados

scanR High-Content Screening System

Sistema de cribado de alto contenido scanR

Más información

Rebecca Chandler, Picture

Rebecca Chandler

Redactora

Rebecca es licenciada en Periodismo por el Endicott College y escribe sobre tendencias y tecnologías en el ámbito científico e industrial. Trabaja en estrecha colaboración con los ingenieros y científicos de Evident para escribir artículos sobre los últimos sistemas de microscopía láser, superresolución, multifotónica, vertical, estereoscópica e invertida, así como sobre óptica, cámaras y software de vanguardia. Siga su trabajo para conocer las últimas novedades de Evident para numerosas aplicaciones, entre ellas citología, patología, educación y mucho más.