Observación de formas: Las imágenes microscópicas más populares de mayo de 2022

june-2022-kerry-israel-banner.jpg

Kerry Israel

Kerry Israel

7 junio, 2022

Los ganadores de nuestro concurso Image of the Year 2021 continúan agitando las aguas y ganándose sus «Me gusta» en Instagram. Desde núcleos que parecen corazones hasta pelos abiertos como estrellas, las mejores imágenes microscópicas de este mes nos muestran una amplia variedad de formas.

Tallo de dicotiledónea bajo un microscopio

En esta captura, se ve el impresionante tallo de una planta dicotiledónea. Las plantas dicotiledóneas tienen nudos y entrenudos distintivos, a partir de los cuales brotan hojas, ramas y flores, a diferencia de las plantas monocotiledóneas. La estructura interna de los haces vasculares consta del xilema (marcado de naranja y amarillo), el floema (marcado en verde fluorescente) y de múltiples fibras.

Imagen por cortesía de Minjun Shin. Captura ejecutada con un microscopio CX21 de Olympus en 200X por medio de la microscopía de campo claro y la iluminación Rheinberg amarilla.

Núcleos bajo un microscopio

Incluso las células pueden tener un momento ¡de corazón a corazón! En esta imagen, se muestran los núcleos semiseparados de dos células que crean una figura de corazón a corazón. Los núcleos fueron marcados con lamin: la proteína fibrosa del núcleo.

Imagen por cortesía de Di Lu. Mención honorífica del Premio Image of the Year (IOTY) 2021. Captura ejecutada con un microscopio confocal FLUOVIEW FV3000 de Olympus.

Para ver las otras imágenes del concurso IOTY 2021, visite la página Image of the Year.

Ovarios de «mosca de la fruta» bajo un microscopio

Puede que no desee encontrar estos pequeños y molestos bichitos volando por su cocina, pero son excelentes especímenes científicos. Las Drosophilae, llamadas frecuentemente «moscas de la fruta», son conocidas por su capacidad de reproducción rápida. Los ovarios mostrados a través de esta imagen no sólo son importantes, sino también muy bellos.

Imagen por cortesía de Yujun Chen. Mención honorífica del Premio Image of the Year (IOTY) 2021.

Pelos de una hoja de Deutiza bajo un microscopio

¿Ve estrellas? Esta imagen muestra los pelos defensivos en forma de estrella que cubren la superficie de una hoja de Deutzia. Los pelos se perfilan contra las células rojas fluorescentes y llenas de clorofila de la hoja. Perteneciente a la familia de las hortensias, la planta Deutzia es un arbusto con flores que se halla en Asia, América Central y Europa.

Imagen por cortesía de David Maitland. Mención honorífica del Premio Image of the Year (IOTY) 2021. La captura se ejecutó con un microscopio BX51 de Olympus.

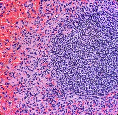
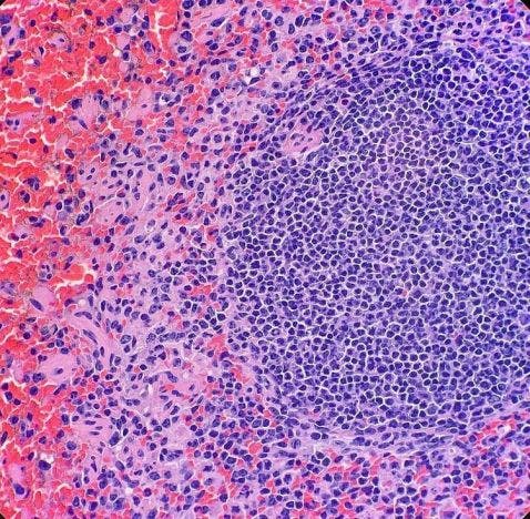
Bazo de wallabi de cuello rojo bajo un microscopio

La presente imagen, proporcionada por Kate Murphy, expone el bazo de un wallabi de cuello rojo.

Kate explica: «El bazo es el órgano más grande de nuestro sistema linfático. Almacena principalmente glóbulos blancos y recicla glóbulos rojos viejos. Básicamente, es el centro de control de calidad de la sangre. En el caso del ser humano, sobrevivir sin bazo es posible, pero lo hace más propenso a las infecciones. De forma microscópica, aquí pueden verse dos «pulpas» diferentes. La pulpa blanca son los grupos de células circulares de color púrpura. [Es decir] el tejido linfoide. La pulpa roja (llena de glóbulos rojos) es donde ocurre la filtración de sangre.”

Imagen y descripción por cortesía de Kate Murphy. Capturada con un microscopio BX40 de Olympus.

Todos conocemos la expresión acerca de que la verdadera belleza se encuentra en el interior. Este impresionante video muestra las células epidérmicas del tallo de una flor y el proceso que ha sido usado para adquirir las imágenes a fin de mostrar tal belleza interior.

También, se ven los estomas integrados en el tejido epidérmico. Los estomas pueden estar presentes en el tallo y en otras partes de la planta (¡no solo en las hojas!). Los estomas son los poros que utilizan las plantas para absorber CO2 y liberar O2. En otras palabras, los estomas son los poros que las plantas usan para «respirar».

El líquido que se usó al inicio del video es agua destilada. El agua destilada permite mantener la tonicidad de las células de la muestra. El agua y el cubreobjetos también mejorarán la imagen al evitar reflejos de luz incómodos».

Video y descripción por cortesía del Dr. Adolfo Sánchez-Blanco. Captura ejecutada con un microscopio CX31 de Olympus hasta de 400x.

Para ver más imágenes como estas, síganos en Instagram a través de la cuenta @olympuslifescience.

¿Le gustaría compartir sus propias imágenes? Visite nuestro portal de envío de imágenes.

Kerry Israel

Kerry Israel

Manager, Marketing Communications

Kerry Israel is the Manager of Marketing and Communications for Life Science at Evident. She has a Bachelor of Arts degree from Brandeis University, and more than 15 years of experience in all aspects of marketing, from advertising and social media strategy to grassroots outreach.