Año nuevo, nuevas imágenes: nuestras mejores imágenes del mes de enero de 2020

february-2020-kerry-israel-banner.jpg

Kerry Israel

Kerry Israel

6 febrero, 2020

¡Ha empezado una nueva década! El año nuevo llega con nuevos resultados, y a través de la cuenta de Instagram para Olympus Life Science seguimos compartiendo imágenes extraordinarias. A continuación podrá ver las cinco mejores imágenes de enero.

diatomeas

Las diatomeas son deslumbrantes, pero además producen el oxígeno que nosotros respiramos todos los días. Se estima que son responsables de la producción de entre el 20 % y el 50 % del oxígeno de la tierra cada año.

Imagen por cortesía de Linden Gledhill.

Ciliate paramecium bursaria con algas

Esta especie de ciliado/cilióforo (Paramecium bursaria) mantiene una relación endosimbiótica mutualista con el alga verde Zoochlorella. El alga verde proporciona alimento al ciliado, mientras que el Paramecium proporciona al alga movimiento y protección dentro de su citoplasma. P. bursaria es la única especie de Paramecium que crea esta relación simbiótica con las algas, cuya enseñanza en las aulas de biología ofrece un ejemplo perfecto de simbiosis.

Imagen por cortesía de Linden Gledhill.

Rotíferos

¿Sabía usted que los rotíferos, conocidos comúnmente como animales de ruedas o animalitos (lt. Animalculum) de ruedas, tienen un sistema digestivo completo con estómago e intestinos. Dado que sus cuerpos son transparentes, es posible observar a través de un microscopio sus órganos y los alimentos que han ingerido.

Imagen por cortesía de Håkan Kvarnström.

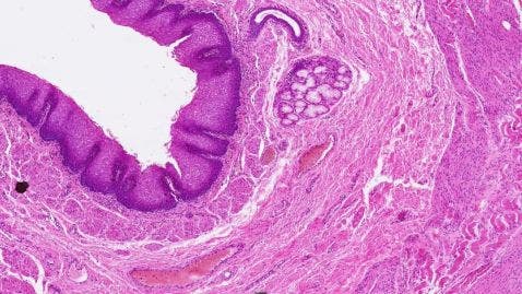
Tráquea humana

¿Sabía usted que su tráquea mide cerca de 10 cm y está formada por 16 y 20 anillos de cartílago de hialino flexible que impide que las vías respiratorias colapsen.La tráquea permite una fácil respiración.

Hipocampo de ratón

El hipocampo es un componente importante del cerebro. Los humanos y otros mamíferos tienen dos hipocampos, uno en cada lado del cerebro. El hipocampo, que forma parte del sistema límbico, desempeña un papel muy importante en la formación de la memoria a corto y largo plazo, así como en la memoria espacial que permite la navegación. Aquí, es posible observar la región del hipocampo en un cerebro de ratón.

Imagen por cortesía del Dr. Ahmad Salehi, MD.

Video más popular del mes:

Videos asociados

Aquí, se observan 10 embriones en desarrollo de Volvox rousseletii, un género polifilético de algas verdes clorofitas. Esta muestra está formada por unas 5000 células dispuestas en una monocapa en la superficie de la esfera transparente. Al final de su embriogénesis, cada embrión pasa por el proceso de «inversión», en el que se ponen patas al revés.

Video por cortesía de Kentaro Kabuki.

Para ver más imágenes como estas, síganos a través de la cuenta Instagram @olympuslifescience

¿Le gustaría compartir sus imágenes?

Visite nuestro portal de envío de imágenes.

Kerry Israel

Kerry Israel

Manager, Marketing Communications

Kerry Israel is the Manager of Marketing and Communications for Life Science at Evident. She has a Bachelor of Arts degree from Brandeis University, and more than 15 years of experience in all aspects of marketing, from advertising and social media strategy to grassroots outreach.