El arte de la histología post mortem devuelve la muerte a la vida

october-2023-rebecca-chandler-banner.jpg

Rebecca Chandler

Rebecca Chandler

31 octubre, 2023

¿Qué aspecto tiene la muerte bajo el microscopio? Se ha entrevistado a la Dra. Marianne Hamel, patóloga forense, para averiguarlo.

Marianne trabaja como patóloga forense en Pensilvania y Nueva Jersey. Actualmente está presentando —junto con su socia creativa Nikki Johnson, fotógrafa forense de Nueva York— una colección de imágenes histológicas post mortem titulada Death Under Glass (Muerte bajo el cristal) en la Stedman Gallery de la Universidad Rutgers de Camden, Nueva Jersey.

Estas imágenes ofrecen una visión poco común de la anatomía humana después del deceso y son sorprendentemente bellas. Cada muestra es cortada en láminas extremadamente finas, cuya tinción, a partir de una serie de colorantes, permite resaltar elementos concretos de la estructura subcelular para ilustrar los efectos de las enfermedades naturales, los traumatismos o el abuso de drogas/medicamentos en el organismo. Algunas imágenes de la colección son de tipo diagnóstico y permiten a los patólogos forenses determinar la causa del deceso; otras son meramente bellas e ilustran la compleja interacción de los tejidos en el cuerpo humano. Además de la galería, Marianne también comparte su investigación sobre la muerte en alta magnificación a través de Instagram, por medio de la cuenta @deathunderglass.

Se ha entrevistado a Marianne para conocer mejor su material gráfico relativo a la histología post mortem. En esta conversación, destaca su visión única del mundo como patóloga forense y se comparte cómo estas imágenes sobre la muerte cobran vida gracias a los microscopios.

Dra. Marianne Hamel, patóloga forense

P: ¿Nos puede explicar cuáles son las funciones de un patólogo forense y en qué se diferencian de otras especialidades médicas?

Marianne: La diferencia más obvia entre la patología forense y otras especialidades médicas es que yo no trabajo con pacientes vivos. Es muy raro que lo haga.

Mi trabajo como patóloga forense consiste en determinar el origen y la causa del deceso de quienes han muerto de forma violenta, sospechosa, sin atención médica o en cualquier otra circunstancia que pudiera justificar la atención del médico forense local. Para ello, debo realizar autopsias.

Mi mayor interés es averiguar la causa del deceso y las circunstancias que lo produjeron. Es como intentar descubrir qué ha pasado en una obra de teatro, pero sólo estando presente en el último acto. Por lo tanto, es necesario ser un buen detective. Es un trabajo sugestivo para las personas un poco fisgonas y a las que les gusta resolver rompecabezas. Hay que tener destreza manual y asumir que se contará posiblemente con información fragmentada.

Otro aspecto positivo de este trabajo es que, si se detesta el aburrimiento —como es mi caso—, es un trabajo fantástico. Cada día hago algo diferente. Algunos días llevo a cabo autopsias, reviso casos sin resolver, examino histologías o realizo algún otro examen. También me dedico a la revisión de casos civiles y penales para abogados. Si eres una persona que no es capaz de hacer lo mismo una y otra vez, es un excelente trabajo. Asimismo, hace falta tener un estómago impávido, pero eso es otro tema.

P: ¿Quién o qué le sirvió de inspiración para convertirse en patóloga forense?

Marianne: Cuando tenía catorce años, decidí que quería ser patóloga. Mi hermana decidió que quería ser dentista a los 12 años y lo logró, así que las dos escogimos una profesión y no cambiamos de idea.

A mis 19 años, después de mi primer año de universidad, conseguí una pasantía con el médico forense local, el Dr. Isidore Mihalakis, para el área de Pensilvania. Era genial. Me dejó seguirle como un patito durante todo el verano. Fuimos a las autoridades, a los tribunales, nos reunimos con las familias y estuvimos en los escenarios de muerte. Sostuve tubos de ensayo, limpié mangos de bisturí y colaboraba en lo que necesitaba. Fue una gran experiencia.

Después fui a la facultad de medicina. En mi primer día de universidad, quería ser médico forense. Y, en el último, seguía deseando ser médico forense. Nunca me planteé la posibilidad de seguir otra especialidad. El objetivo final siempre fue llegar a ser patóloga forense acreditada.

P: ¿Qué uso hace de la microscopía en su trabajo diario?

Marianne: La mayor parte del tiempo, los patólogos quirúrgicos, o las personas que se ganan la vida analizando biopsias y muestras de tejido, lo dedican a llegar a un diagnóstico. Lo más común es que comprueben si hay cáncer o no.

Pero eso no es lo que yo busco normalmente. Busco todo tipo de cosas. Algunos diagnósticos de patología forense sólo pueden realizarse con la microscopía. Por ejemplo, la miocarditis —o inflamación del corazón— puede causar un deceso súbito inesperado, sin dejar otro rastro que la evidencia histológica. Otro ejemplo es el envenenamiento con producto anticongelante, que deja cristales en los riñones en forma de abanico y son visibles con luz polarizada. De modo que en patología forense, hay varios diagnósticos que deben hacerse usando un microscopio. Me gusta bastante trabajar con los microscopios.

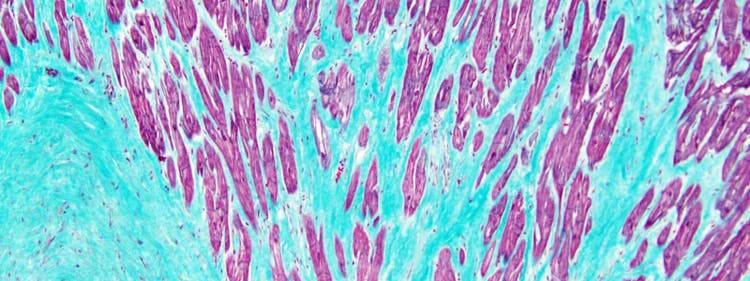
Tinción tricrómica del corazón bajo el microscopio

Sección de un corazón humano dañado, con tinción tricrómica. Las zonas azules son tejido cicatricial. Las zonas rojas son células viables. Captura llevada a cabo con un microscopio Olympus BX43, dotado de una cámara DP26. Imagen por cortesía de Marianne Hamel.

P: ¿Qué tipos de microscopios usa normalmente en su laboratorio?

Marianne: Examino todos mis portaobjetos en casa, porque mi microscopio Olympus BX43 es genial, y uso la polarización. Confío mucho en el histólogo para que me proporcione tinciones especiales de calidad. La histología es una combinación de arte y ciencia que no goza del reconocimiento suficiente. Si cuenta con un buen histólogo, no escatime gastos y ensálcelo, no deje que se marche, ¡porque ya no están haciendo más histólogos!

Uso el software cellSens™ de Olympus para procesar mis imágenes y guardarlas. Al crear las imágenes para la exposición, las enviamos a una imprenta especializada de Nueva York y las imprimimos sobre aluminio.

P: ¿Podría describir una situación en la que un microscopio ha sido importante para la resolución de un caso?

Marianne: Hace poco recibí el caso de una mujer que tenía problemas de consumo de drogas. Las pruebas dieron positivo a metanfetamina. Sin embargo, al observar uno de los cortes transversales provenientes de una arteria coronaria, pude ver que se había diseccionado. Había un desgarro en la pared interna de su arteria que había creado un canal doble de flujo sanguíneo y estaba forzando el cierre del canal normal.

La causa real del deceso no fue la toxicidad de la metanfetamina. No lo habría descubierto si no hubiera examinado esa arteria coronaria con el microscopio.

P: ¿Cómo ha evolucionado la tecnología microscópica a lo largo de su carrera y qué efectos ha tenido en su trabajo?

Marianne: Si analizamos los pasados portaobjetos microscópicos, aquellos que salen en los antiguos libros de texto, por lo general, eran fotografiados en blanco y negro. Parecen haber sido capturados dejando una distancia y a través de un banco de niebla. La culpa no es del microscopista. Son sólo las limitaciones tecnológicas de la época.

Aprender a interpretar portaobjetos es como aprender otro idioma. El patólogo juega un papel fundamental, ya que explica los tejidos para que otros médicos puedan hacer un diagnóstico y ofrecer el tratamiento adecuado. Para aprender a hacerlo, uno debe analizar cientos de miles de portaobjetos con otro patólogo que pueda ayudarle a aprender ese lenguaje.

Tinción pentacromática de un vaso sanguíneo visto bajo el microscopio

Sección de arteria humana normal con tinción pentacromática de Movat, que utiliza cinco colorantes distintos para resaltar diversos aspectos de la anatomía subcelular. Por ejemplo, las fibras elásticas de la pared arterial, que dan fuerza y resistencia al vaso sanguíneo, aparecen de color negro cuando son tratadas con una tinción pentacromática. Captura llevada a cabo con un microscopio Olympus BX43 dotado de una cámara DP26. Imagen por cortesía de Marianne Hamel.

P: En la patología forense, ¿colabora con otros profesionales como parte de su trabajo?

Marianne: Realizamos análisis toxicológicos en casi todos los casos. La toxicología es sumamente importante, sobre todo si consideramos la actual crisis del fentanilo. El trabajo de los toxicólogos es extremadamente difícil. Básicamente, deben tomar decisiones en el acto sin poder planificarlas, ya que la epidemia de fentanilo cambia y evoluciona rápidamente. Casualmente, mi carrera empezó justo cuando empezaba la epidemia de opiáceos. He estado observando el cambio y la evolución de dicha epidemia en tiempo real durante 12 años.

A veces recurrimos a un antropólogo. De vez en cuando nos encontramos con un caso parcial o totalmente esqueletizado. Puedo recurrir entre cuatro o cinco veces al año a un osteólogo. Son muy importantes. Como ya he dicho, trabajo frecuentemente con histólogos. Cada caso es un poco diferente, y por eso digo que cada día hago algo distinto. Es necesario adaptar el planteamiento en cada caso.

P: ¿Alguna de estas colaboraciones se ha extendido hasta su trabajo artístico?

Marianne: Hasta cierto punto, otros patólogos me han enviado portaobjetos y me han dicho: «Esto es realmente bello. Deberías echarle un vistazo». Algunos de ellos han acabado en una exposición, y eso me parece estupendo. Una generosidad profesional por su parte.

P: ¿Cuándo fue consciente de que su trabajo podía considerarse también como arte? ¿Cómo emprendió ese camino?

Marianne: Yo estaba en prácticas y le enseñé algunas de las imágenes microscópicas a Nikki Johnson, mi colaboradora creativa. Le mencioné: «Sería estupendo poder mostrar a otras personas cómo se ve esto». Ella las miró y dijo: «Si deseas capturar esto, la resolución es lo suficientemente alta como para que podamos ampliarla y hacer arte de verdad a partir de ella». Y lo hicimos.

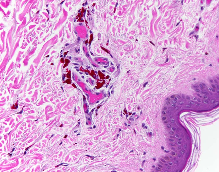
Pigmento rojo de tatuaje visto bajo el microscopio

Sección de piel humana tatuada. Los gránulos individuales de pigmento pueden apreciarse en la dermis, la capa profunda de la piel, en gran magnificación. Otros colores, identificables con el microscopio, son los gránulos de pigmento negro, azul y dorado. Captura llevada a cabo con un microscopio Olympus BX43 dotado de una cámara DP26. Imagen por cortesía de Marianne Hamel.

P: ¿Para usted, qué significa la exhibición de su obra en una galería?

Marianne: Es un poco surrealista ver el propio trabajo en un espacio público. Muchas veces olvido que las exposiciones de las galerías son públicas. La gente se me acerca y me dice: «Oye, he visto tu exposición». Y me digo: «¿De verdad?». Cualquiera puede entrar.

Es muy gratificante tener una idea y verla materializada. Jake Foster, el gerente de la galería Stedman, hizo un magnífico trabajo a la hora de organizar la exposición. Las impresiones reales fueron colgadas y, en la pared de fondo, se transmitían proyecciones de alta resolución. Se trataba de proyecciones de imágenes que no fueron impresas pero que deseábamos mostrar igualmente. Hay alrededor de 25 imágenes de ese tipo, así que salió muy bien.

P: ¿Cuáles son los mensajes que espera transmitir a las personas que ven su obra?

Marianne: Una de las cosas más emocionantes en este campo es el concepto de genealogía forense, que no está tan relacionado con este proyecto. La genealogía forense es la práctica de emplear la investigación genética para identificar a un sospechoso o a una víctima en un caso sumamente crucial. Por ejemplo, es posible que la muestra del agresor no figure en una base de datos, pero sus familiares sí. En el ámbito de la genealogía, pueden usarse árboles genealógicos y genealogías familiares para reducir el número de sospechosos a unas pocas personas, o incluso a una sola. Antes, eso era posible. Si alguien no estaba en la base de datos, no había mucha suerte de hallarlo.

La genealogía forense es increíblemente eficaz. Últimamente ha ayudado a solucionar algunos casos que yo consideraba imposibles. Estoy muy interesada en ver cómo evoluciona. Anticipo estos momentos porque sé que tengo algunos casos abiertos que nunca se resolvieron. Estoy segura de que en los próximos años me solicitarán para declarar en caso se lleve a cabo una detención.

P: ¿Su experiencia artística le ha ayudado a presentar sus resultados de microscopía ante un tribunal o un público no científico?

Marianne: Se aprende a expresar las cosas en un lenguaje no técnico. Eso ayuda. Lo que siempre intento explicar a la gente es que en realidad la histología es un constructo artificial. Los tejidos humanos sin tinción son transparentes, por eso creamos esta imagen. No es una imagen natural. El hecho de tener que explicar esto a un público del ámbito artístico me ha servido para hallar las palabras adecuadas que permitan explicárselo a un jurado y se entienda su propósito.

Al testificar, se da una pequeña clase magistral a partir de este pequeño rincón de la ciencia forense del que estamos hablando ahora. Si la respuesta tiene más de tres palabras, no hay que dirigirse al fiscal ni al abogado defensor. Se le habla al jurado y enseguida se verá si se está consiguiendo llegar a ellos. Si al mencionar la arteria carótida, que sirve para tomar el pulso, seis de los miembros del jurado se tocan el cuello, sabes que te están escuchando. El hecho de escribir para un público del ámbito artístico y no técnico ha mejorado mi comunicación con los civiles que forman parte del jurado.

P: ¿Tiene algún consejo para alguien que quiera estudiar la carrera de patología forense?

Marianne: En primer lugar, si quiere ser histólogo, apresúrese y matricúlese, porque son requeridos desesperadamente. Hay muy pocos histólogos con talento disponibles. Debido a la demanda de servicios forenses, cada vez necesitamos más patólogos forenses. Es un largo camino, pero ha resultado muy gratificante. Es necesario ser impertérrito. La gente va a criticar tu trabajo. Tus pacientes no te van a dar las gracias como hacen con otros especialistas. Sin embargo, el trabajo y la disciplina intelectual me parecen muy gratificantes.

Tejido humano con amiloidosis visto bajo el microscopio

Sección de tejido humano tratada con una tinción especial de rojo Congo y observada bajo luz polarizada, lo que revela la presencia de la proteína amiloidea. La amiloidosis, una enfermedad que provoca el depósito inadecuado de proteínas en los tejidos humanos, presenta un brillo de color verde manzana bajo luz polarizada. Captura llevada a cabo con un microscopio Olympus BX43 dotado de una cámara DP26. Imagen por cortesía de Marianne Hamel.

P: ¿Tiene algún consejo para los patólogos forenses que quieran agregar una dimensión más artística a su trabajo?

Marianne: ¡Que me envíen sus portaobjetos!

P: ¿El hecho de compartir su trabajo en Instagram ha despertado más interés por la patología forense?

Marianne: Llevo casi ocho años administrando la cuenta @deathunderglass en Instagram, y es increíble el interés que la gente tiene por la ciencia forense. Son unos seguidores muy fieles.

Daré un ejemplo. Elaboré una lista de lectura para mis pasantes de la Oficina del Condado de Montgomery. Una lista de 15 libros de medicina forense, o relacionados con ella, que me parecieron de buena calidad. No todos formaban parte de la cultura popular. Algunos eran libros de texto: un poco de todo. En la lista incluí un par de ellos, y dije que si querían la lista completa, me enviaran un correo electrónico. Pensé que tal vez 20 o 30 personas me enviarían correos electrónicos. A la mañana siguiente, desperté y me encontré con 400 correos electrónicos en mi bandeja de entrada, por lo que me di cuenta de que había subestimado enormemente el interés.

P: ¿Le gustaría compartir algo más sobre la ciencia forense?

Marianne: Actualmente existe un movimiento para depurar nuestras ideas sobre la muerte. En algunos ámbitos, se supone que nunca debemos observar la anatomía humana y fingir que la gente no muere. Toda mi carrera se ha basado en el hecho de que todos moriremos. ¡Hasta ahora no me he equivocado! El índice de mortalidad es del 100 %.

Es importante hablar sobre lo que hacemos en la morgue. Algunos profesionales de más edad creen que lo que hacemos en la morgue debe ser secreto y que nunca debemos hablar de ello, porque se trata de cadáveres, disecciones y cosas así. Pero, no concuerdo con ello.

Creo que presto un servicio público de gran valor. Los profesionales de mi campo trabajan muy duro, pero reciben poco reconocimiento. No hablo solamente de los patólogos forenses, sino de los técnicos de autopsias, las personas que trabajan en identificaciones y los toxicólogos.

Todos ellos trabajan muy duro y también merecen ser elogiados. No podemos hacer como si nadie tuviera que suturar el cadáver después de que hayamos concluido nuestro trabajo, o como si nadie tuviera que limpiar el depósito de cadáveres, como si se tratara de cosas mágicas que suceden por sí solas. Estas personas trabajan arduamente, hacen muy bien su trabajo y yo dependo de ellos todos los días.

Rebecca Chandler

Rebecca Chandler

Staff Writer

Rebecca holds a bachelor's degree in journalism from Endicott College and writes about trends and technologies in science and industry. She works closely with Evident engineers and scientists to write pieces about the latest laser scanning, super-resolution, multiphoton, upright, stereo, and inverted microscope systems, as well as leading-edge optics, cameras, and software. Follow her work to learn about Evident's latest for numerous applications, including cytology, pathology, education, and more.