El arte a través del cuerpo: Las imágenes microscópicas más populares del mes de julio de 2021

august-18-2021-kerry-israel-banner.jpg

Kerry Israel

Kerry Israel

18 agosto, 2021

Las imágenes más populares del mes de julio se enfocan en las partes del cuerpo. Desde el cerebro, el bazo hasta el globo ocular, se ha examinado de cerca lo que constituye un cuerpo.

Corte tisular de la retina de un perro capturada con un microscopio BX40 de Olympus

Estas impresionantes rayas rosadas, capturadas por Kate Murphy, no son simplemente un deslumbrante patrón, sino una imagen proveniente de un corte tisular de la retina de un perro.

La pasión de Kate por su tema es perceptible al dialogar con ella sobre su imagen:

«La retina es una capa muy delgada formada por células especializadas en la parte posterior del globo ocular, donde se encuentra el nervio óptico. La retina recibe luz y la convierte en señales neuronales. A continuación, estas señales son enviadas al cerebro para su reconocimiento visual.

La retina se compone de diez capas:

  1. Epitelio pigmentario de la retina
  2. Fotorreceptores
  3. Membrana limitante externa
  4. Capa nuclear exterior
  5. Capa plexiforme externa
  6. Capa nuclear interna
  7. Capa plexiforme interna
  8. Capa de células ganglionares
  9. Capa de fibras nerviosas
  10. Membrana limitadora interior

¡Me encantan los globos oculares! Realmente son un órgano tan fascinante. ¡Es increíble saber que sin esa pequeña capa celular, nadie podría ver!»

Imagen y descripción por cortesía de Kate Murphy. Se usó un microscopio BX40 de Olympus para capturarla.

Imagen de neuronas corticales primarias de rata a los 14 días in vitro con núcleos (verde) y dendritas en desarrollo (mpl-inferno LUT) con tinción MAP2 agregada para visualizar los contornos de las neuronas

Las neuronas cultivadas son un modelo adecuado para estudiar la terapia de sustitución enzimática (ERT) en la mayoría de los trastornos neurológicos. Esta sorprendente imagen fue obtenida de un experimento llevado a cabo por la investigadora Nadia Efimova, cuyo propósito era estudiar la captación de enzimas modificadas genéticamente en neuronas corticales de rata (no se muestra la tinción de la enzima). La imagen muestra neuronas corticales primarias de rata a los 14 días in vitro con núcleos (verde) y dendritas en desarrollo (mpl-inferno LUT). Los contornos de las neuronas son visibles por medio de la tinción agregada MAP2.

Imagen por cortesía de Nadia Efimova, ganadora de una mención honorífica del concurso internacional Imagen of the Year 2020 de Olympus.

Antera arabidopsis arenosa; Emoji de antera de arabidopsis; Fibras de colágeno y pigmentos dérmicos; Fibras de colágeno y emoji de células de pigmento dérmico; Embrión de rata; Emoji de embrión de rata; Alas de más de 40 mariposas; Emoji de imagen microscópica de más de 40 alas de mariposa

Para celebrar el Día Mundial del Emoji, que tiene lugar el 17 de julio, Olympus ha transformado algunas de las imágenes galardonadas por su concurso internacional Image of the Year 2020 en obras de arte ¡emojificadas! Iniciando desde la parte superior izquierda:

Antera de Arabidopsis arenosa.
Imagen por cortesía de Jan Martinek, ganador de una mención honorífica del concurso Imagen of the Year 2020.

Fibras de colágeno y células de pigmento dérmico en piel embrionaria de serpientes domésticas africanas.
Imagen por cortesía de Grigorii Timin, ganador del Premio Image of the Year bajo el perfil regional Europa, Oriente Medio y África.

Embrión de rata entero.
Imagen por cortesía de Werner Zuschratter, ganador del Premio Image of the Year bajo el perfil mundial.

Escamas de alas recuperadas de más de 40 especies de mariposas.
Imagen por cortesía de XinPei Zhang, ganador del Premio Image of the Year bajo el perfil regional Asia-Pacífico.

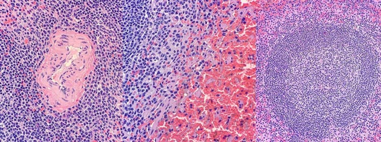
corte de bazo teñido para histología corte de bazo teñido para histología corte de bazo teñido para histología

Las hermosas tinciones histológicas de Kate Murphy volvieron a ocupar los cinco primeros puestos gracias a estas impresionantes imágenes del bazo.

«El bazo es el órgano más grande de nuestro sistema linfático. Almacena glóbulos blancos y recicla glóbulos rojos viejos. Básicamente, es el centro de control de calidad de la sangre.

De forma microscópica, podemos ver las dos pulpas diferentes. La pulpa blanca son los grupos de células circulares de color púrpura. [Es decir] el tejido linfoide. La pulpa roja (llena de glóbulos rojos) es donde ocurre la filtración de sangre.

Este bazo proviene de un ualabí de cuello rojo».

Imágenes y descripción por cortesía de Kate Murphy. Se usó un microscopio BX40 de Olympus para capturarla.

Imagen microscópica de un organoide derivado de iPSC y diferenciado para producir neuronas dopaminérgicas.

Esta imagen muestra un organoide derivado de iPSC y diferenciado para producir neuronas dopaminérgicas. Este experimento tiene como objetivo modelar enfermedades raras del desarrollo neurológico mediante estas células y las técnicas de edición de genes CRISPR-Cas9.

Imagen por cortesía de Scott Bell del Olympus Discovery Center en el Instituto Douglas de la Universidad McGill, como parte del programa orientado a impulsar el avance bio-científico a través de equipamiento microscópico avanzado puesto a disposición para los investigadores.

Para ver más imágenes como estas, síganos en Instagram a través de la cuenta @olympuslifescience.

¿Le gustaría compartir sus imágenes? Visite nuestro portal de envío de imágenes.

Kerry Israel

Kerry Israel

Manager, Marketing Communications

Kerry Israel is the Manager of Marketing and Communications for Life Science at Evident. She has a Bachelor of Arts degree from Brandeis University, and more than 15 years of experience in all aspects of marketing, from advertising and social media strategy to grassroots outreach.