IXplore Live dedicado a la luminiscencia

Aumente su potencial de imagen con la bioluminiscencia

El procesamiento de imágenes con bioluminiscencia a nivel de una sola célula permite validar las evaluaciones preliminares de los ensayos de luminiscencia por medio de un lector de placa, como también aclarar la causa de resultados inesperados durante un experimento. Nuestro sistema microscópico IXplore™ Live de bioluminiscencia* está optimizado para un procesamiento de imágenes con bioluminiscencia tanto a nivel de una sola célula como del tejido completo. El microscopio está equipado con los componentes necesarios para iniciar los experimentos de bioluminiscencia de forma inmediata en un entorno estable y controlado.

*Este sistema ha sido desarrollado gracias a la ayuda conjunta del Prof. Takeharu Nagai, Sanken, la Universidad de Osaka, Tokai Hit Co. Ltd. y Evident. El proyecto ha contado con el financiamiento de la Agencia de Ciencia y Tecnología de Japón (JST).

Observar varias muestras en una microplaca

Adquiera imágenes de manera confiable a través de una variedad de diseños de microplacas bajo una resolución apta para la identificación de células. El software de procesamiento de imágenes cellSens™ y una platina motorizada permiten que el sistema memorice la posición XY de cada pocillo, lo que facilita la captura de imágenes a partir de todos los pocillos de una placa de hasta 96 pocillos.

Muestra: Células HeLa expresadas en nanolinterna con tinción amarilla mejorada. Datos por cortesía de Takeharu Nagai, Mitsuru Hattori, Departamento de Ciencia Biomolecular e Ingeniería, Sanken, Universidad de Osaka.

Muestra: Células HeLa expresadas en nanolinterna con tinción amarilla mejorada. Datos por cortesía de Takeharu Nagai, Mitsuru Hattori, Departamento de Ciencia Biomolecular e Ingeniería, Sanken, Universidad de Osaka.

Procesamiento de imágenes estable y a intervalos prolongados

Un sistema de incubación de platina integrada proporciona un entorno adecuado para experimentos de células vivas y tejidos con intervalos prolongados. El sistema controla la temperatura, el CO₂, y otras condiciones ambientales con el fin de mantener la salud de las muestras durante el procesamiento de imágenes.

El procesamiento de imágenes con bioluminiscencia no requiere luz de excitación, como es el caso con la fluorescencia, ya que la fuente de luz es una reacción química. La bioluminiscencia minimiza la fototoxicidad y descarta la contribución de la señal de autofluorescencia, lo que la hace ideal para observaciones de células vivas estables y prolongadas.

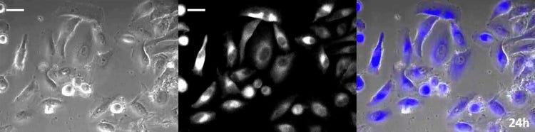
Observación prolongada usando una incubadora de platina integrada (24 horas: contraste de fase / luminiscencia / combinación). Muestra: Células HeLa expresadas en nanolinternas de tinción amarilla mejorada (placa de fondo de vidrio de 35 mm).

Observación prolongada usando una incubadora de platina integrada (24 horas: contraste de fase / luminiscencia / combinación). Muestra: Células HeLa expresadas en nanolinternas de tinción amarilla mejorada (placa de fondo de vidrio de 35 mm).

Datos por cortesía de Takeharu Nagai, Mitsuru Hattori, Departamento de Ciencia Biomolecular e Ingeniería, Sanken, Universidad de Osaka.

Combinar imágenes de fluorescencia, bioluminiscencia y luz transmitida

Combine métodos y modalidades de observación para ver al mismo tiempo cambios en toda la célula y a nivel genético. Por ejemplo, observe la expresión genética Ascl1 y el ciclo celular en el proceso de replicación autónoma de las células madre neuronales. Al usar el indicador de ciclo celular basado en la ubiquitinación fluorescente (FUCCI), el sistema permite visualizar las fluctuaciones de la expresión genética Ascl1 en cada etapa del ciclo celular.

Procesamiento de imágenes en resolución de tres canales a nivel de una sola célula con fluorescencia (derecha; rojo/verde), bioluminiscencia (izquierda; amarillo), y contraste de fase (izquierda; escala gris). Datos por cortesía de Itaru Imayoshi, Centro de Investigación de Sistemas Vivos Dinámicos [Research Center for Dynamic Living Systems], Facultad de Postgrado de Estudios Biológicos, Universidad de Kioto; Akihiro Isomura, Ryoichiro Kageyama, Instituto de Investigación de Virus [Institute for Virus Research], Universidad de Kyoto.

Procesamiento de imágenes en resolución de tres canales a nivel de una sola célula con fluorescencia (derecha; rojo/verde), bioluminiscencia (izquierda; amarillo), y contraste de fase (izquierda; escala gris). Datos por cortesía de Itaru Imayoshi, Centro de Investigación de Sistemas Vivos Dinámicos [Research Center for Dynamic Living Systems], Facultad de Postgrado de Estudios Biológicos, Universidad de Kioto; Akihiro Isomura, Ryoichiro Kageyama, Instituto de Investigación de Virus [Institute for Virus Research], Universidad de Kyoto.

Referencias: Revista Science. 6 de diciembre 2013; 342(6163):1203-8. doi: 10.1126/science.1242366.

Respuesta de fármaco/medicamento para una evaluación eficaz

La actividad de los receptores acoplados a las proteínas G (GPCR) —una diana de fármaco estudiada comúnmente— puede ser medida usando la concentración de calcio en un esferoide. El cribado y el análisis de alto contenido al usar una microplaca permiten analizar cambios en las condiciones de concentración y entorno, como también examinar la biblioteca de los candidatos a fármacos/medicamentos.

Un sistema estable de incubación favorece la observación de la diferenciación morfológica en las células y la respuesta de fármacos/medicamentos a través de períodos más extensos. La bioluminiscencia posee una mejor relación entre señal y ruido (SNR) frente a la fluorescencia; por consiguiente, es posible detectar hasta diminutas respuestas.

Medición de la fluctuación a partir de la concentración del calcio mediante la estimulación de la histamina en un esferoide. El diagrama muestra las medidas de tres áreas de interés (ROI).

Contáctenos