Soluciones de fundición de hierro
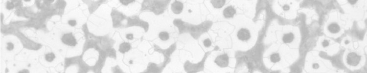
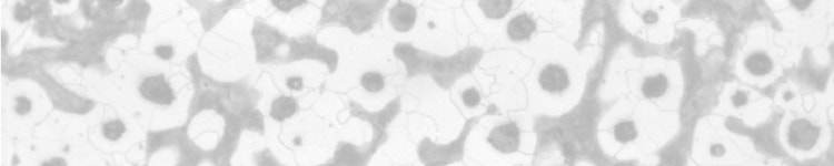
En los laboratorios metalográficos, analizar las fundiciones de hierro para determinar la nodularidad, el tamaño, la forma y los parámetros de distribución del grafito, así como la proporción de ferrita a perlita, es de suma importancia en la óptica de controles de calidad.
Nuestro software de análisis de imágenes ofrece un flujo de trabajo para analizar las siguientes características en las fundiciones de hierro:
- Forma de grafito
- Distribución de grafito
- Tamaño de grafito
- Nodularidad de grafito
- Porcentaje de grafito
- Porcentaje de ferrita a perlita