Patología y laboratorio Objetivos de alto rendimiento de la X Line y microscopio vertical BX53

Contáctenos

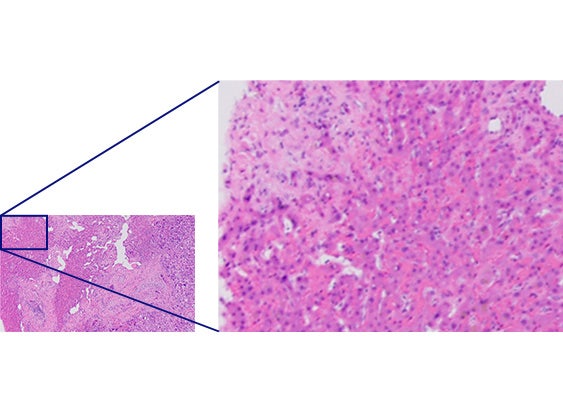
Comparación de resoluciones

Comparación de resoluciones

Objetivos convencionalesX Line

calidad uniforme desde el centro hasta los bordes

La planitud mejorada permite generar imágenes con calidad uniforme desde el centro hasta los bordes. La alta apertura numérica hace que los objetivos recojan más luz para ofrecer imágenes más brillantes y con mayor resolución. Si complementa los objetivos de la X Line con un microscopio vertical BX53 podrá mejorar en gran medida la calidad de las imágenes.

Más información sobre BX53

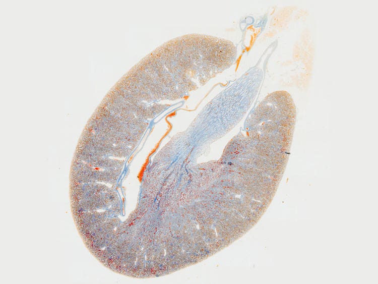
Eficiencia con la aplicación «mosaico»

La aplicación «mosaico» le permite generar imágenes de secciones tisulares completas; sin embargo, si la planitud de la imagen es insuficiente, la imagen en mosaico puede parecer borrosa y presentar una combinación dispar. Los objetivos de la X Line proporcionan imágenes planas uniformes desde el centro hasta el borde, lo que le permite adquirir imágenes en mosaico uniformes y de alta definición. También puede crear una gran imagen en mosaico usando menos imágenes que antes para mejorar su eficacia y ahorrar tiempo.

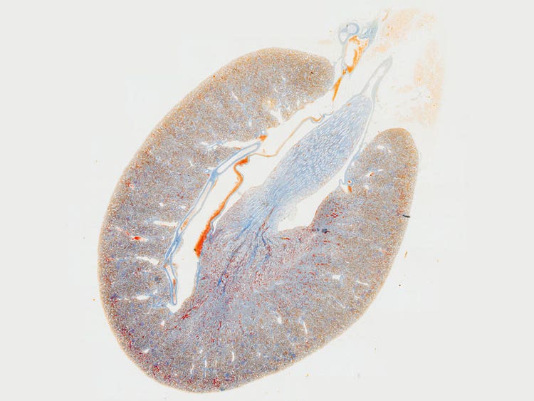
Imagen creada con la función de alineación de múltiples imágenes (AMI)

Observación de análisis por hibridación fluorescente in situ (FISH)

Imágenes mejoradas para aplicaciones de investigación clínica

La mejora de la planitud, la apertura numérica y la aberración cromática permiten obtener imágenes claras en alta resolución con una excelente reproducción de los colores. El control de la aberración cromática superior de los objetivos ofrece una precisión de los colores mejorada en todo el espectro. La eliminación de la aberración del color violeta crea blancos claros y rosas vivos, mejorando el contraste y la nitidez. La corrección de la aberración cromática, en un amplio rango de longitudes de onda (400-1000 nm), le permite adquirir imágenes en varios colores de alta resolución durante la observación por fluorescencia, como el análisis por hibridación fluorescente in situ (FISH, siglas en inglés).

Productos relacionados

BX53 Upright Microscope

Microscopio vertical BX53

  • Iluminación LED de alta luminosidad con colores vivos
  • Concepto modular que permite motorizar los componentes individualmente
  • Adquisición sencilla de imágenes con fluorescencia multicolor

Conozca más...

BX63 Upright Microscope

Microscopio vertical BX63

  • Sistema completamente motorizado que permite automatizar experimentos multidimensionales complejos
  • Motor Z motorizado muy preciso
  • Alta estabilidad gracias al diseño de platina fija

Conozca más...

Imagen de U-FLLED LED Illumination System en diapositiva 1 de 1

U-FLLED

Una fuente de luz LED compacta de montaje directo, diseñada para imágenes de fluorescencia de rutina en microscopios manuales y semimotorizados. Con enfriamiento pasivo sin ventilador y canales de excitación modulares, U-FLLED ofrece una iluminación estable y uniforme para muestras fijas y flujos de trabajo cotidianos sin mayor complejidad del sistema.

  • Iluminación LED de montaje directo para configuraciones de microscopios integrados
  • Canales de excitación modulares para fluoróforos comunes
  • Funcionamiento silencioso y sin ventilador para imágenes de fluorescencia de rutina

Conozca más...