Dedication to True Color and Improved Brightness Solidify the Switch from a Halogen to a Light Emitting Diode (LED) Light Source

Contacta con nosotros

Most new microscopes use an LED light source for brightfield imaging. Owing to technological advances, today’s LED-based microscopes have light sources with similar spectra to daylight, with correlated color temperatures ranging from 5000K to 7000K. However, for many years, microscope users such as pathologists have chosen to observe specimens using halogen lamp illumination with color filtering because it provides the best color representation. To convince pathologists to switch to a LED light source, you would first need to ensure that the color temperature meets their needs. Even if all but one wavelength is observable the same way as a halogen lamp, that one color could instill doubt as it could lead to a critical oversight or misjudgment. For discussion or training purposes, pathologists use brightfield and other illumination methods to observe specimens in large groups. To achieve this with an LED light source, the luminosity needs to be equal to or better than a halogen lamp.

When Olympus began developing a new LED light source for microscopes, the goal was to produce a color spectrum and brightness that rivaled the performance of the halogen lamp with filter illumination used by many pathologists.

Figure 1: Examples of a halogen bulb (left) and a True Color LED (right)

Figure 1: Examples of a halogen bulb (left) and a True Color LED (right)

Meeting the Color Integrity Expectations

Achieving equivalent color representation of a halogen light source with more environmentally-friendly LEDs was a challenging process. The first step was quantifying evaluations provided by our pathologist collaborators, based on their sensory perception. When asked to compare their observations with a LED light source to halogen lamp with filter observation, their comments included “the shade of color is different,” “samples look more bluish than before,” and “a bit of redness is needed.” For color shade quantification, there is a standard method using color charts defined by JIS (Japanese Industrial Standard) and other international standards. However, the colors in such charts did not accurately match those observed under a microscope, so we needed to compile data on “colors actually observed.” We conducted repeated sessions with our collaborators and measured the colors of specimens that pathologists regularly observe. We isolated the colors that we used to define Olympus’ evaluation colors and standard values and succeeded in quantifying subtle color differences.

While a halogen lamp in a visible light spectrum has smooth, continuous characteristics, the light intensity of a typical white LED varies with peaks and dips and is weak from 400 to 430 nm and from 600 to 700 nm. To compensate for the wavelength ranges with weak intensity, we attempted to use a combination of different kinds of LEDs. However, this method makes it difficult to reproduce the color fidelity required in microscopy. We also tried a color compensating filter, which achieved color representation close to that of the conventional light source, but this was not enough.

Wavelength (NM)

Wavelength (NM)

Generic LED

Generic LED

Halogen lamp + filter

Figure 2: Comparison of the spectral distribution of a halogen lamp with a filter and a generic LED

These failed attempts prompted us to explore what the possibilities were for reducing wavelength absence in the visible range among the various types of LEDs. We chose to develop an LED with a 405 nm excited RGB phosphor system, which we believed could potentially achieve the original standard and performance goal defined by Olympus.

Multiple phosphors were combined to achieve the white color

Multiple phosphors were combined to achieve the white color

Multiple phosphors were combined to achieve the white color

Figure 3: Light spectral distribution of a near-UV LED with multiple phosphors

We provided pathologists with a prototype of our new LED light source so they could observe specimens and answer the following questions:

-Is there a difference in the color profile of the LED compared to a halogen lamp?
-Does the difference, if any, affect diagnoses?
-How is the color profile supposed to be viewed?

After a series of discussions on these issues with pathologists, we determined that the new LED light source complied with the standard values defined as Olympus’ original evaluation colors and achieved the “same color” as the halogen lamp with filter illumination that we were striving for.

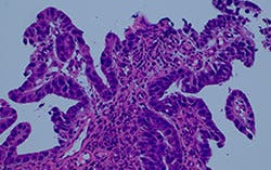
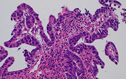
Comparison of halogen lamp + filter and generic LED

Comparison of halogen lamp + filter and generic LED

Comparison of halogen lamp + filter and True Color LED

Comparison of halogen lamp + filter and True Color LED

Figure 4: Comparison of a halogen lamp with filter versus a generic LED and a True Color LED

Increasing Luminosity with an Eye toward Usability

For a high color rendering white LED to achieve or exceed the brightness level provided by a halogen lamp, a large input of current is required. But applying a high current to an LED increases the amount of heat it generates which shortens its lifespan. The key to improving the brightness without decreasing the LED’s lifetime is to optimize illumination efficiency. An essential component of this solution is frosted diffusers. Frosted diffusers are an effective option for achieving uniform illumination, however, they also decrease luminosity. The angle of diffusion for these filters is less for an LED array compared to a halogen filament. This means that higher luminosity can be achieved while maintaining uniform illumination.

Figure 5: Diffusion comparison between a halogen lamp (left) and True Color LED (right)

Figure 5: Diffusion comparison between a halogen lamp (left) and True Color LED (right)

To overcome these challenging illumination and resolution conditions and obtain the desired brightness, we studied optimization using optical simulations that considered the increased efficiency of the optical output, the shape of the LED light source, and the scattering properties of diffusers. Our optical, mechanical, and electrical development teams worked together to design a mechanical layout and heat dissipation structure that could make the entire illumination system compact. Our goal was a life expectancy of 50,000 hours or longer, and to achieve that, we performed repeated studies, evaluating parameters related to changes in light intensity over time, the heat dissipation structure, color reproduction, and power consumption. Finally, we developed a white LED light source with the highest luminosity and best color integrity that Olympus currently has to offer.

Conclusion

Olympus’ commitment to innovation produced the True Color LED (patent pending), which provides the color rendering and luminosity performance that pathologists are accustomed to with the halogen lamp and filter method. The high-quality illumination of this new light source is not achievable with commercially-available bright LEDs. The BX53 microscope equipped with this white LED light source is advantageous for transmission brightfield microscopy as well as other observation methods. Its brightness level is intense enough to be used in multiheaded discussion and teaching systems for simultaneous observation, and its high color rendering white LED provides the color integrity performance that pathologists require for reliable specimen observation.

Figure 6: Multiheaded discussion system (left) for 26 people and observation image (right)
Figure 6: Multiheaded discussion system (left) for 26 people and observation image (right)

Figure 6: Multiheaded discussion system (left) for 26 people and observation image (right)

Productos relacionados

Imagen de Microscopio vertical BX53 en diapositiva 1 de 1

BX53

Microscopio de fluorescencia semimotorizado

  • Iluminación LED de alta luminosidad con colores vivos
  • Concepto modular que permite motorizar los componentes individualmente
  • Fácil adquisición de imágenes por fluorescencia multicolor

Más información

U-LGPS

Fuentes de luz

Ofrecemos una amplia variedad de fuentes de luz optimizadas para sus aplicaciones de campo claro o fluorescencia.

Más información

View larger image: U-FLLED LED Illumination System Image 1 of 1

U-FLLED

Una fuente de luz LED compacta de montaje directo, diseñada para imágenes de fluorescencia de rutina en microscopios manuales y semimotorizados. Con enfriamiento pasivo sin ventilador y canales de excitación modulares, U-FLLED ofrece una iluminación estable y uniforme para muestras fijas y flujos de trabajo cotidianos sin mayor complejidad del sistema.

  • Iluminación LED de montaje directo para configuraciones de microscopios integrados
  • Canales de excitación modulares para fluoróforos comunes
  • Funcionamiento silencioso y sin ventilador para imágenes de fluorescencia de rutina

Más información