Microscopio para cultivos celulares CKX53

El microscopio CKX53 facilita el flujo de trabajo de cultivos celulares y tisulares; simplifica pasos como la observación de células vivas, el muestreo y la manipulación de células, la captura de imágenes, y la observación de fluorescencia. Su sistema de contraste de fase integrado, su diseño ergonómico y compacto, como también su rendimiento estable, facilitan una observación de células eficiente. El portamuestras universal y la platina expandible admiten una amplia variedad de recipientes de cultivo celular dotados de diferentes tamaños.

Microscopio invertido compacto y ergonómico diseñado para cultivos celulares

Gracias a su calidad de imagen y ergonomía mejorada, el microscopio invertido CKX53 de Olympus proporciona un rendimiento estable y facilita un flujo de trabajo cómo para diferentes necesidades en el proceso de cultivo celular, como la observación de células vivas, el muestreo y la manipulación de células, la captura de imágenes y la observación de fluorescencia.

Observación de células vivas

Observación sencilla y eficaz de células con el sistema de contraste de fase integrado (iPC)

  • Un alto contraste permite la observación nítida de células en 4x, 10x, 20x y 40x sin que el usuario tenga que intercambiar o recentrar el anillo de fase.
  • El sistema de contraste de fase hace que la observación celular sea eficiente y simple para desarrollar un proceso de trabajo más rápido y cómodo.

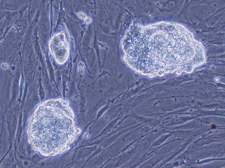
Eficiente monitoreo celular gracias a una nítida y amplia visualización

  • Monitoree de forma eficiente las células de su interés usando el anillo de fase dedicado al objetivo PLN2X, cuyo campo visual es de 22 mm y diámetro de 11 mm.
  • El objetivo 2X proporciona un contraste superior frente a otros objetivos, lo que permite incluso identificar con toda claridad objetos transparentes en la muestra.

Sistema de contraste de fase integrado (iPC)

CKX3-SLPAS

Diseño desarrollado para adaptarse a una mesa limpia

Fácil de mover con una mano

Posicionamiento natural de manos.

Observación de células vivas bajo condiciones asépticas

Pequeña superficie de contacto que permite una esterilización integrada

El microscopio CKX53 cabe en una mesa de laboratorio limpia y puede permanecer allí durante el proceso de esterilización UV gracias a su revestimiento resistente a los rayos ultravioletas. El sistema pesa cerca de 7 kg, es más ligero que el modelo anterior y tiene una superficie de contacto más pequeña, por lo cual ocupa menos espacio en un laboratorio. Es posible desplazar el microscopio con una mano, y trasportarlo de forma fácil al sujetar el cuello del tubo de observación. Asimismo, la almohadilla deslizante en la base del microscopio hace que sea fácil posicionarlo.

Fácil muestreo de células en una cabina de mesa estéril

La corta distancia entre el punto de visión y el eje óptico/perilla de enfoque del CKX53 facilita el posicionamiento natural de las manos durante los procesos de enfoque y de muestreo de células.

Observación y manipulación sencilla de células

Compatibilidad con distintos tipos de recipientes para cultivo celular

  • Soporte universal que facilita la observación de células cultivadas en distintos tipos de recipientes, como placas, microplacas y frascos.
  • Soporte de hasta tres placas de 35 mm gracias a accesorio auxiliar de enganche (opcional).
  • Compatibilidad con diferentes tipos de microplacas sin el soporte.

Observación integral de recipientes multicapas para tejidos

  • El ancho del microscopio y el condensador fácilmente desmontable permiten visualizar recipientes, como frascos multicapas para tejidos, con una altura de hasta 190 mm (7,5 pulg.).
  • La profundidad de enfoque del objetivo PLCN4X facilita la observación de las células a través de las dos capas inferiores de un matraz multicapa.

Flexibilidad para usar recipientes de cultivos celulares más grandes

  • Levante el brazo del soporte para colocar manualmente los recipientes de cultivo.
  • Amplíe la platina hasta 70 mm (2,8 pulg.) hacia la izquierda y derecha para obtener mayor flexibilidad de manipulación

Compatibilidad con varios recipientes

Observación de frascos multicapa para tejidos

Brazo de soporte elevable

Diseño ergonómico para operaciones fáciles

Diseño ergonómico de microscopio

Cómoda posición de visualización

El ángulo de 45 grados de los oculares y la colocación del tubo de observación en forma de mariposa contra la platina facilita la observación ergonómica de las células, ya sea de pie o sentado.

Descanso manual cerca de los controles

Todos los controles, incluyendo el interruptor de encendido, el enfoque fino y grueso, y la perilla para cambiar la trayectoria de la luz se encuentran situados de forma ergonómica para facilitar su acceso y reducir la fatiga del usuario.

Tecnologías aplicadas

Visualización de células en 3D con la técnica de contraste de inversión (IVC)

La técnica IVC proporciona una profundidad de campo más estrecha que el contraste de fase, lo que permite obtener imágenes tridimensionales claras para objetos de cualquier forma o transparencia. La observación en IVC proporciona imágenes nítidas sin halos ni sombras direccionales, preservando la integridad de los detalles durante la observación.

*La nueva técnica de observación IVC se usa con objetivos de 10X (PLCN10X, CACHN10XIPC).

Izquierda: PH; derecha: IVC

Clear Views with a Wide Range of Fluorescence Dyes

Comparison of with and without Umbra Shield

Fácil procesamiento de imágenes de fluorescencia

Observación de gran nitidez con una amplia variedad de fluorocromos

El kit estándar de fluorescencia del CKX53 permite detectar claramente hasta las señales más débiles de fluorescencia gracias a las fuentes de luz integradas como la lámpara de mercurio de 100 W (U-LH100HG), la lámpara de mercurio de alta presión de 130 W (U-HGLGPS) y los dispositivos LED fabricados por otras empresas*. Las tres ranuras del deslizador del cubo de fluorescencia pueden alojar el mismo tipo de cubo usado por los microscopios de las series IX3 y BX3.

*No está disponible en algunas regiones.

Alto contraste bajo condiciones de alta luminosidad

La función Umbra Shield bloquea eficazmente la luz ambiental, mejora el contraste y permite una clara observación fluorescente bajo condiciones de iluminación muy brillante de laboratorios. Al usar el contraste de fase, es posible elevar el escudo para permitir que la luz pase a través de la muestra.

Logre un proceso de cultivo celular más seguro y flexible gracias a una cámara digital inalámbrica y configuración vertical de pantalla

Gracias a la cámara digital EP50 de conexión LAN inalámbrica, es posible desplazar su microscopio CKX53 alrededor de la sala de cultivo de tejidos y dentro de una cabina de seguridad biológica sin tener que preocuparse por una conexión cableada a PC. Manipule y guarde imágenes de forma remota desde un PC, tableta o teléfono inteligente.

Agregue la pantalla de configuración vertical para obtener una solución de imagen compacta todo en uno. La unidad completa puede usarse de manera segura dentro de una cabina de seguridad biológica y mantener sus muestras estériles mientras captura la imagen.

* Es posible que los productos de terceros no estén disponibles en algunos países.

Achieve a Safer and More Flexible Cell Culture Process with a Wireless Digital Camera and Heads-Up Display

Especificaciones

Estativo del microscopio
CKX53SF
Método de observación
Fluorescencia (excitación azul/verde)
Fluorescencia (excitación ultravioleta)
Contraste de fase
Campo claro
Portaobjetivos giratorio
Manual
Tipo estándar
Integrado con cuatro posiciones
Tubos de observación
Campo amplio (FN 22)
Trinocular
Iluminador
Iluminación transmitida
Lámpara LED
Iluminador de fluorescencia
Lámpara de mercurio de 100 W
Iluminación de guía de luz
Platina
Manual
Platina plana
Condensador
Manual
Condensador de distancia de trabajo ultralarga
A. N. de 0,3/ D. T. de 72 mm (integrada)
Escáner confocal
-
Procesamiento de súper resolución
-
Accesorios
-
Dimensiones (ancho × profundidad × altura)
200 mm × 498 mm × 454 mm (7,9 pulg. × 19,6 pulg. × 17,9 pulg.) Configuración básica de contraste de fase
Peso
6,9 kg aprox.

*Visualización global de objetivo 2X con vista de 11 mm de diámetro para un monitoreo celular eficiente.

Recursos

Informe técnico

Recursos del producto