Notes d’application

Contactez-nous

Identification de fibres de collagène de types I et III colorées au rouge Sirius à l’aide du microscope BX53 équipé de la LED à luminosité et rendu colorimétrique élevés d’Olympus

Pour observer des fibres de collagène, les échantillons peuvent être colorés au trichrome de Masson (MT), à l’Elastica van Gieson (EVG) ou à l’Elastica Masson (E-M) ; cependant, aucune de ces méthodes ne permet de faire la distinction entre les fibres de collagène de type I et III. Dans le cadre de la recherche de nouveaux médicaments, une évaluation quantitative des fibres de collagène peut être nécessaire. À cette fin, il convient de faire la distinction entre les fibres de collagène de type I et III. Les chercheurs dans ce domaine utilisent l’observation en lumière polarisée des fibres de collagène colorées au rouge Sirius, car cette méthode permet de faire la distinction nécessaire entre les deux types de fibres.

Problèmes liés à l’observation en lumière polarisée de fibres de collagène colorées au rouge Sirius

Avec cette méthode, les fibres de collagène sont identifiées par une couleur de polarisation. Le blanc de la lumière du jour est donc indispensable comme couleur d’éclairage, et un ajustement de l’intensité lumineuse est également nécessaire à l’observation visuelle. Dans le cadre de la recherche de nouveaux médicaments, les fibres de collagène contenant des composants polarisants doivent être détectées de manière sélective en fond noir.
En observation en lumière polarisée, le collagène fibreux épais de type I apparaît en jaune vif à orange, tandis que le collagène mince de type III contenant des fibres réticulaires apparaît en vert. L’intensité lumineuse d’une lampe halogène d’usage courant peut être réduite au moyen d’un filtre ND ou en contrôlant la tension. Dans le premier cas, cependant, la réduction de l’intensité lumineuse peut uniquement être effectué par pas (4 pas) ; autrement dit, aucun contrôle précis n’est possible. Dans le deuxième cas, les fibres de collagène de type III correspondant à la couleur de polarisation verte ne peuvent pas être identifiées, car la composante de couleur de la lampe (jaune à orange) est plus marquée que celle du vert sous une lumière de faible intensité. Cet effet est décrit dans les caractéristiques spectrales ci-dessous.

Problèmes liés à l’observation en lumière polarisée de fibres de collagène colorées au rouge Sirius

En général, faire la distinction entre les fibres de collagène de type I et III est une procédure délicate qui prend du temps avec une lampe halogène, ce qui se traduit par une faible efficacité et une faible précision. De plus, la visualisation microscopique par observation en lumière polarisée représente un défi, car elle requiert des compétences et des connaissances spécifiques.

Avantages de la LED BX53 haute luminosité d’Olympus

Il a récemment été montré que la simple observation en lumière polarisée à l’aide d’un microscope BX53 équipé d’une LED Olympus haute luminosité et à rendu colorimétrique élevé permettait de résoudre efficacement ces problèmes. Dotée de caractéristiques spectrales similaires à celles d’une lampe halogène de 100 W (9 V) utilisant un filtre LBD (lumière bleue) et produisant une lumière blanche constante indépendamment de l’intensité lumineuse, la LED du microscope BX53 permet de faire la distinction entre les fibres de collagène de type I et III. La détection par simple observation en lumière polarisée à l’aide du microscope BX53 et de cette LED haute luminosité simplifie l’observation et permet d’éviter tout problème technique.

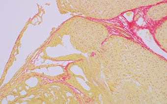
Tissu pulmonaire de souris (coloré au rouge Sirius)

Observation en fond clair

Observation en fond clair

Observation en lumière polarisée en fond noir par réduction de l’intensité lumineuse
Les types de collagène I et III sont détectés respectivement en orange et en vert.

Figure 1 : Lampe halogène de 100 W
Figure 1 : Lampe halogène de 100 W

Figure 2 : Microscope BX53 équipé d’une LED Olympus haute luminosité et à rendu colorimétrique élevé
Figure 2 : Microscope BX53 équipé d’une LED Olympus haute luminosité et à rendu colorimétrique élevé

Évaluation quantitative des fibres de collagène

Dans le cadre de la recherche de nouveaux médicaments, il peut être nécessaire d’identifier chaque type de collagène et de procéder à des évaluations quantitatives telles que la fraction de surface. Olympus peut fournir une solution complète en combinant le microscope BX53 équipé de la LED Olympus haute luminosité et à rendu colorimétrique élevé avec un système d’imagerie. L’utilisation d’une caméra DP74 conjuguée au logiciel d’imagerie cellSens permet l’extraction automatique des fibres de collagène et la mesure de leur surface et de la fraction de leur surface en fonction des informations de couleur des images des échantillons.

Figure 3 : Image d’un échantillon*

Figure 3 : Image d’un échantillon*

Figure 4 : Résultats de mesure

Figure 4 : Résultats de mesure

* La couleur rouge signale le collagène de type I, la couleur verte le collagène de type III

La LED BX53 à haute luminosité optimise la recherche de nouveaux médicaments

La LED haute luminosité et à rendu colorimétrique élevé du microscope BX53 produit une lumière blanche constante quelle que soit l’intensité de l’éclairage et avec des caractéristiques spectrales équivalentes à celles d’une lampe halogène de 100 W, qui permet d’identifier les fibres de collagène de types I et III colorées au rouge Sirius. For simple polarized light observation, you will need analyzer for transmitted light (U-ANT) and polarizer (U-POT).
Il est possible d’utiliser un système combinant le microscope BX53 équipé de la technologie de LED avancée, la caméra numérique DP74 et le logiciel d’imagerie cellSens avec la solution de numération et de mesure pour réaliser une évaluation quantitative précise de chaque type de fibre de collagène, une fonction essentielle à la recherche de certains médicaments.

Produits utilisés pour cette application

Microscope à fluorescence semi-motorisé

BX53

  • Éclairage LED haute luminosité révélant les couleurs naturelles
  • Concept modulaire permettant la motorisation de composants individuels
  • Acquisition simple d’images en fluorescence multicolores

En apprendre plus