Notes d’application

Contactez-nous

Accélération et optimisation de la segmentation et de l’analyse des îlots de Langerhans au moyen du scanner de lames pour la recherche VS200 et de la technologie d’autoapprentissage TruAI

Pour recueillir des données qui soient pertinentes pour leurs recherches, les chercheurs doivent analyser des ensembles d’images volumineux. Cette analyse peut être à la fois quantitative et qualitative et doit être fiable et sans biais. Cette tâche est plus ou moins fastidieuse selon la région morphologique étudiée. Pour accélérer ce processus, Olympus propose l’adoption d’une technologie d’autoapprentissage compatible avec le scanner de lames pour la recherche SLIDEVIEW VS200. Afin de tester cette solution, nous l’avons utilisée pour segmenter et analyser des îlots de Langerhans.

Détection et segmentation d’îlots de Langerhans

Dans le cadre de la recherche expérimentale sur le diabète, les chercheurs s’efforcent de mieux comprendre le processus complexe de la maladie afin d’en améliorer les traitements. Une partie essentielle de leur recherche consiste en l’analyse d’un grand nombre de coupes pancréatiques.

Le pancréas a deux fonctions principales : excréter des enzymes pour dégrader les protéines, les lipides, les glucides et les acides nucléiques des aliments (fonction exocrine) et sécréter des hormones, l’insuline et le glucagon, pour contrôler le taux de sucre dans le sang (fonction endocrine). Cette dernière est importante dans le cas du diabète. Des groupes de cellules bêta situés dans le pancréas, également nommés îlots de Langerhans, jouent un rôle fondamental dans la sécrétion de l’insuline. L’insuline contribue à faire baisser le taux de glucose dans le sang en stimulant son absorption par les cellules d’autres tissus afin de produire de l’énergie.

Dans l’étude du diabète et d’autres maladies métaboliques, les chercheurs ont pour objectif d’analyser le pourcentage et la position relative de ces cellules bêta contenant de l’insuline. Pour déterminer la morphologie des îlots de Langerhans et les quantifier, il faut effectuer l’analyse microscopique d’un grand volume d’images.

Expérience réalisée avec le scanner de lames pour la recherche SLIDEVIEW VS200 et la solution d’autoapprentissage TruAI

Pour démontrer la capacité de la technologie d’autoapprentissage TruAI d’Olympus à améliorer cette application de recherche, nous avons réalisé un projet dans lequel nous avons étudié les processus de vieillissement des îlots de Langerhans chez des souris CB57BL/6NTac afin d’en comprendre les changements de morphologie et de fonction.

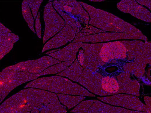
Exemple d’une lame numérisée par un scanner de lames Olympus VS200 dans le cadre de notre expérience.

Exemple d’une lame numérisée par un scanner de lames Olympus VS200 dans le cadre de notre expérience. La coupe de pancréas marquée à l’Alexa 594 et les coupes de tissus marquées au DAPI sont reproduites avec l’aimable autorisation de Simone E Baltrusch., docteure ès sciences et professeure d’université à l’Institut de biochimie médicale et de biologie moléculaire du Centre médical universitaire de Rostock à Rostock, en Allemagne.

Les images, reproduites avec l’aimable autorisation du professeur Simone E. Baltrusch et du D. Cindy Zehm, de l’Institut de biochimie médicale et de biologie moléculaire du Centre médical universitaire de Rostock, en Allemagne, représentent des coupes de pancréas de souris préparées avec un protocole d’immunomarquage avec un anticorps anti-insuline. Ce marquage permet d’identifier les cellules bêta au sein des îlots de Langerhans. Ces cellules correspondent à la partie endocrine du pancréas, dont l’architecture cellulaire diffère de celle de la partie exocrine.

Les lames numériques des échantillons de pancréas de souris ont été acquises rapidement à l’aide d’un scanner de lames pour la recherche Olympus SLIDEVIEW VS200 à un grossissement de 10×. Il en résulte 40 images dans lesquelles les îlots de Langerhans peuvent être facilement identifiés à l’œil nu. L’anticorps secondaire marqué à l’Alexa 594 en rouge et lié à l’anticorps primaire lui-même lié aux cellules bêta productrices d’insuline ressort clairement sur les images par rapport à la contre-coloration des noyaux au DAPI (bleu).

Défis de la détection et de l’analyse automatiques des îlots de Langerhans

La visualisation des îlots de Langerhans dans une coupe de pancréas murin peut être réalisée à l’aide d’anticorps fluorescents spécifiques. Habituellement, lorsqu’ils analysent ces structures dans des images numérisées, les chercheurs sélectionnent manuellement les îlots, ce qui prend beaucoup de temps. De plus, les méthodes traditionnelles de segmentation automatique, telles que les algorithmes basés sur des seuils, ne permettent pas de détecter exclusivement les îlots de Langerhans, comme le montre la figure ci-dessous.

Image à 10x montrant la détection réalisée par le biais de la méthode conventionnelle basée sur des seuils en jaune, qui ne parvient pas ressortir les îlots (cercle vert) des érythrocytes (cercle bleu).

Image à 10x montrant la détection réalisée par le biais de la méthode conventionnelle basée sur des seuils en jaune, qui ne parvient pas ressortir les îlots (cercle vert) des érythrocytes (cercle bleu).

Lors de l’observation du canal de l’Alexa 594, l’autofluorescence des érythrocytes a également été détectée, ce qui complique la distinction automatique de l’anticorps marqué utilisé pour mettre en évidence les cellules bêta d’un îlot de Langerhans (cercle vert) d’un vaisseau sanguin rempli d’érythrocytes (cercle bleu). Le scanner de lames pour la recherche VS200 offre un module TruAI, une approche d’autoapprentissage basée sur des réseaux neuronaux convolutifs, sous forme d’extension du logiciel VS-Desktop d’analyse d’images.

Ces réseaux constituent une forme de microscopie à autoapprentissage ainsi qu’une technologie extrêmement puissante de segmentation d’objets. Grâce à cette technologie, nous pouvons automatiser la détection des îlots de Langerhans murins. Le processus d’entraînement du réseau neuronal est expliqué dans la section suivante.

îlot de Langerhans (cercle vert) ; cellules sanguines (cercle bleu)

îlot de Langerhans (cercle vert) ; cellules sanguines (cercle bleu)

Une procédure simple pour la segmentation et l’analyse automatique des échantillons à l’aide de la solution d’autoapprentissage TruAI

La première étape de cette analyse automatique consiste à fournir au logiciel des images d’échantillons annotées ou données « réelles » (non virtuelles). Ces images ont été créées en marquant manuellement les îlots de douze échantillons différents de pancréas de souris (cercle vert).

Coupe de pancréas fluorescente avec îlots marqués à la main / Détail des îlots marqués à la main (cercle vert).

Plus le nombre d’objets marqués est élevé, meilleurs sont les résultats. La multiplicité des objets présentant des différences d’intensité, de couleur, de taille et de forme optimise le fonctionnement du réseau neuronal. Le logiciel complémentaire, simple d’utilisation, comprend plusieurs outils de marquage manuel.

Une fois les données marquées générées, l’étape suivante consiste à entraîner le réseau neuronal profond (deep neural network, DNN). Au cours de cette phase, le réseau compare les données réelles avec ses propres données calculées jusqu’à atteindre une valeur de probabilité élevée. Ces données calculées sont le fruit d’un type d’intelligence artificielle (IA) qui imite le cerveau humain (le DNN) et qui apprend à reconnaître les structures et à faire des appréciations intelligentes.

Enfin, le DNN calculé est appliqué au reste des images du pancréas en vue de détecter et de séparer automatiquement les îlots de Langerhans.

Un réseau neuronal profond Olympus TruAI entraîné peut être transféré et utilisé sur n’importe quelle station VS-Desktop ainsi que sur d’autres produits Olympus compatibles.

Ce processus automatisé de segmentation et d’analyse des îlots de Langerhans comprend les trois étapes simples suivantes :

1. Une lame est numérisée avec le scanner de lames pour la recherche SLIDEVIEW VS200 pour produire une image.

Scanner de lames pour la recherche VS200
Une lame est numérisée avec le scanner de lames pour la recherche SLIDEVIEW VS200 pour produire une image.

2. Les îlots de Langerhans sont détectés et séparés par le DNN entraîné.

Les îlots de Langerhans sont détectés et séparés par le DNN entraîné.

3. Les îlots de Langerhans détectés peuvent être segmentés et utilisés en vue d’effectuer d’autres analyses de numération et de mesure sur l’image de sortie.

Les îlots de Langerhans détectés peuvent être segmentés et utilisés en vue d’effectuer d’autres analyses de numération et de mesure sur l’image de sortie.

Récapitulatif des avantages du scanner de lames pour la recherche SLIDEVIEW VS200 avec la solution d’apprentissage profond TruAI pour la détection et la segmentation des îlots de Langerhans

Le module TruAI a permis de détecter et de segmenter facilement les îlots de Langerhans à partir d’images complexes avec une fiabilité et une précision bien supérieures à celles des autres méthodes automatiques existantes. D’autres analyses, telles que des numérations et des mesures, peuvent également être effectuées sur la base de ces résultats de segmentation.

La combinaison du scanner de lames pour la recherche SLIDEVIEW VS200 et de la solution d’apprentissage profond TruAI permet de réaliser une procédure complète allant de l’acquisition de l’échantillon à l’analyse quantitative précise des données dans un large éventail d’applications biologiques sur une grande variété de types d’images, telles que des images de cellules et d’échantillons de tissus en fond clair et en fluorescence.

L’automatisation précise de l’analyse d’images optimisera la conduite des recherches des scientifiques en supprimant une grande partie du travail manuel fastidieux.

Remerciements

Cette note d’application a été préparée avec l’aide de chercheurs du service de médecine universitaire de l’Institut de biochimie médicale et de biologie moléculaire de l’Université de Rostock à Rostock, en Allemagne, et Sara Quinones Gonzalez, chef de produit, Olympus Soft Imaging Solutions à Münster en Allemagne :

Produits utilisés pour cette application


https://main--eds-evident-website--evident-scientific.hlx.live/fr/solutions-based-systems/research-slide-scanner/

VS200

Le scanner de lames pour la recherche VS200 améliore la vitesse et l’efficacité des applications nécessitant une analyse quantitative d’un grand volume d’échantillons, notamment en recherche sur le cerveau, le cancer, les cellules souches et les médicaments. Prenez rapidement et facilement des images de lames en haute résolution, et analysez, partagez et archivez facilement vos données. Le système VS200 dispose de cinq modes d’imagerie différents : fond clair, fluorescence, fond noir, contraste de phase et polarisation simple. Il est possible de charger jusqu’à 210 lames à la fois pour une numérisation automatisée.

  • Imagerie de lames entières en haute résolution de 2X à 100X
  • Compatible avec plusieurs tailles de lames et méthodes d’observation
  • Procédures simplifiées et efficaces, du fond clair au multiplexage de fluorescence
  • Possibilité unique de configuration du logiciel et de l’appareil pour des applications allant de l’acquisition manuelle des lames en fond clair à la reconnaissance par IA et à la numérisation entièrement automatisée


https://main--eds-evident-website--evident-scientific.hlx.live/fr/software/cellsens/

cellSens

D’une utilisation intuitive et d’une grande simplicité, l’interface utilisateur du logiciel cellSens est personnalisable pour vous permettre de contrôler l’agencement des écrans. Décliné en divers progiciels, le logiciel cellSens comprend toute une série de fonctionnalités optimisées pour vos besoins spécifiques en imagerie. Son gestionnaire d’expériences graphique et son navigateur de puits facilitent l’acquisition d’images 5D. Profitez d’une meilleure résolution grâce à la déconvolution TruSight™ et partagez vos images en mode « Conference » (Conférence).

  • Améliorez l’efficacité des expériences avec l’analyse par segmentation par apprentissage profond TruAI™ permettant la détection des noyaux et la numération des cellules sans marquage.
  • Plateforme logicielle d’imagerie modulaire
  • Interface utilisateur intuitive axée sur les applications
  • Large ensemble de fonctions allant du simple instantané aux expériences multidimensionnelles avancées en temps réel