Nouvelle année, nouvelles images : nos images les plus populaires en janvier 2020

february-2020-kerry-israel-banner.jpg

Kerry Israel

Kerry Israel

6 février, 2020

La nouvelle décennie a commencé! Comme toute nouvelle année s’accompagne de ses bonnes résolutions, nous avons décidé de continuer à partager avec vous de magnifiques images sur le compte Instagram d’Olympus Life Science! Découvrez le top 5 de janvier ci-dessous.

diatomées

Les diatomées ne sont pas seulement belles, elles sont aussi l’un des principaux producteurs de l’oxygène que nous respirons chaque jour. Il a été estimé qu’elles sont responsables de la production de 20 à 50 % de l’oxygène terrestre chaque année.

Images reproduites avec l’aimable autorisation de Linden Gledhill.

Cilié Paramecium Bursaria avec algues

Cette espèce de cilié (paramécie verte) a une relation endosymbiotique mutualiste avec les algues vertes Zoochlorella. Les algues vertes fournissent de la nourriture au cilié, tandis que la paramécie fournit aux algues un abri à l’intérieur de son cytoplasme et un véhicule pour leur déplacement. La paramécie verte P. Bursaria est la seule espèce de paramécie qui forme des relations symbiotiques avec les algues et est souvent prise comme exemple dans les cours de biologie pour illustrer la symbiose.

Images reproduites avec l’aimable autorisation de Linden Gledhill.

Rotifères

Le saviez-vous? Les rotifères ont un système digestif complet, avec un estomac et des intestins. Comme leur corps est transparent, vous pouvez souvent voir ces organes ainsi que la nourriture qu’ils ont consommée au microscope!

Images reproduites avec l’aimable autorisation de Håkan Kvarnström.

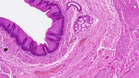
Trachée humaine

Le saviez-vous? Votre trachée mesure environ 10 cm de long et se compose de 16 à 20 anneaux en cartilage hyalin flexible qui empêchent les voies respiratoires de se fermer. Ils vous permettent littéralement de mieux respirer!

hippocampe de souris

L’hippocampe est un élément majeur du cerveau. Les hommes et les autres mammifères ont deux hippocampes, un de chaque côté du cerveau. Faisant partie du système limbique, l’hippocampe joue un rôle important dans la formation des souvenirs, tant à court et qu’à long terme, ainsi que dans la mémoire spatiale qui permet l’orientation. Ici, nous pouvons observer la région hippocampique du cerveau d’une souris.

Images reproduites avec l’aimable autorisation d’Ahmad Salehi, MD, Ph. D.

Et la vidéo la plus populaire du mois :

Nous observons ici 10 embryons en cours de développement de Volvox rousseletii, un genre d’algues vertes chlorophytes. Cet échantillon est constitué d’environ 5 000 cellules organisées en monocouche à la surface de la sphère transparente. À la fin de son embryogenèse, chaque embryon subit le processus « d’inversion », où il se retourne sur lui-même.

Vidéo reproduite avec l’aimable autorisation de Kentaro Kabuki.

Pour voir plus d’images comme celles-ci, suivez notre compte Instagram @olympuslifescience!

Vous souhaitez partager vos propres images?

Consultez notre site de soumission d’images.

Kerry Israel

Kerry Israel

Manager, Marketing Communications

Kerry Israel is the Manager of Marketing and Communications for Life Science at Evident. She has a Bachelor of Arts degree from Brandeis University, and more than 15 years of experience in all aspects of marketing, from advertising and social media strategy to grassroots outreach.