Art et corps humain : nos images de microscopie les plus populaires de juillet 2021

august-18-2021-kerry-israel-banner.jpg

Kerry Israel

Kerry Israel

18 août, 2021

Toutes les images préférées en juillet représentent des parties du corps humain. Du cerveau à la rate en passant par le globe oculaire, nous avons passé en revue les différentes parties du corps humain.

Image d’une coupe de tissus de rétine de chien prise avec un microscope Olympus BX40.

Les étonnantes bandes roses capturées par Kate Murphy ne sont pas simplement celles d’un joli motif. Il s’agit en fait d’une coupe de tissus de la rétine d’un chien.

L’enthousiasme de Kate pour son sujet est évident :

« La rétine est une très fine couche de cellules spécialisées située à l’arrière du globe oculaire, là où se trouve le nerf optique. La rétine reçoit la lumière et la convertit en signaux neuronaux. Les signaux sont ensuite envoyés au cerveau pour la reconnaissance visuelle.

La rétine est composée de dix couches :

  1. Épithélium pigmentaire rétinien
  2. Photorécepteurs
  3. Membrane limitante externe
  4. Couche nucléaire externe
  5. Couche plexiforme externe
  6. Couche nucléaire interne
  7. Couche plexiforme interne
  8. Couche des cellules ganglionnaires
  9. Couche des fibres nerveuses
  10. Membrane limitante interne

J’adore les globes oculaires ! Il s’agit d’un organe tellement fascinant. Il est incroyable de se dire que sans ces fines couches de cellules, nous serions incapables de voir ! »

Image et légende reproduites avec l’aimable autorisation de Kate Murphy. Image acquise à l’aide d’un microscope Olympus BX40.

Image de neurones corticaux primaires de rat in vitro observés à J+14 avec noyaux (en vert) et dendrites en formation (mpl-inferno LUT) et marquage de MAP2 afin de visualiser les contours des neurones

Les neurones en culture constituent un excellent modèle pour tester les traitements par enzymothérapie de substitution (ERT) de nombreux troubles neurologiques. Cette image étonnante a été acquise lors d’une expérience menée par la chercheuse Nadia Efimova sur l’absorption d’enzymes ingéniérisées par les neurones corticaux chez le rat (le marquage de l’enzyme n’est pas montré). L’image représente des neurones corticaux primaires de rat in vitro observés à J+14 avec noyaux (en vert) et dendrites en formation (mpl-inferno LUT). Un marquage de MAP2 a été effectué afin de visualiser les contours des neurones.

Image reproduite avec l’aimable autorisation de Nadia Efimova. Cette image a reçu la mention honorable lors du concours Olympus de l’image de l’année 2020.

Anthère d’Arabidopsis arenosa

émoji anthère d’Arabidopsis

fibres de collagène et pigments cutanés

émoji fibres de collagène et cellules pigmentaires dermiques

embryon de rat

émoji embryon de rat

ailes de plus de 40 papillons

émoji image microscopique de plus de 40 ailes de papillons

Pour célébrer la journée mondiale de l’émoji (17 juillet), nous avons transformé quelques-unes des images lauréates du concours de l’image mondiale de l’année 2020 en émojis artistiques ! Depuis en haut, à gauche :

Anthère de Arabidopsis arenosa.
Image reproduite avec l’aimable autorisation de Jan Martinek, mention honorable pour le concours de l’image mondiale de l’année 2020.

Fibres de collagène et cellules pigmentaires dermiques observées sur la peau d’un embryon de Lamprophis.
Image reproduite avec l’aimable autorisation de Grigorii Timin, lauréat Europe/Moyen-Orient/Afrique du concours de l’image de l’année 2020.

Embryon entier de rat.
Image reproduite avec l’aimable autorisation de Werner Zuschratter, lauréat Monde du concours de l’image de l’année 2020.

Écailles collectées sur les ailes de plus de 40 espèces de papillons différentes.
Image reproduite avec l’aimable autorisation de XinPei Zhang, lauréat Asie-Pacifique du concours de l’image de l’année 2020.

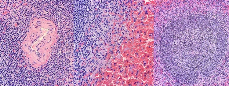
coloration histologique de coupes de rate

coloration histologique de coupes de rate

coloration histologique de coupes de rate

Avec ces magnifiques images de colorations histologiques de coupes de rate, Kate Murphy a occupé le top cinq des publications.

« La rate est le plus gros organe de notre système lymphatique. Elle stocke les leucocytes et recycle les vieux érythrocytes. En résumé, il s’agit du centre de contrôle de la qualité du sang.

Au niveau microscopique, nous pouvons observer deux « pulpes » différentes. La pulpe blanche correspond aux amas circulaires de cellules apparaissant en violet sur l’image. Il s’agit du tissu lymphoïde. La pulpe rouge (remplie d’érythrocytes) est l’endroit où le sang est filtré.

Cette rate a été prélevée sur un wallaby à cou rouge. »

Images et légende reproduites avec l’aimable autorisation de Kate Murphy. Image acquise à l’aide d’un microscope Olympus BX40.

Image microscopique d’un organoïde dérivé de cellules souches pluripotentes induites (iPSC) différentié pour produire des neurones dopaminergiques.

Cette image présente un « organoïde » dérivé de cellules souches pluripotentes induites différencié de sorte à produire des neurones dopaminergiques. Cette expérience a pour objectif de modéliser les troubles neurodéveloppementaux rares à l’aide de ces cellules et des techniques d’édition génique CRISPR-Cas9.

Image reproduite avec l’aimable autorisation de Scott Bell de l’Olympus Discovery Center, Douglas Institute, Université McGill, qui fait partie d’un programme conçu pour aider à faire progresser les sciences de la vie en mettant à disposition des chercheurs des équipements de microscopie de pointe.

Pour voir plus d’images comme celles-ci, n’hésitez pas à nous suivre sur Instagram (@olympuslifescience) !

Vous aimeriez partager vos propres images ? Consultez notre site de soumission d’images.

Kerry Israel

Kerry Israel

Manager, Marketing Communications

Kerry Israel is the Manager of Marketing and Communications for Life Science at Evident. She has a Bachelor of Arts degree from Brandeis University, and more than 15 years of experience in all aspects of marketing, from advertising and social media strategy to grassroots outreach.