Système IXplore Live pour l’observation de la luminescence

Élargissez vos possibilités en matière d’imagerie grâce à la bioluminescence

L’imagerie de bioluminescence de cellules individuelles vous permet de valider l’évaluation préliminaire des analyses de luminescence réalisées à l’aide d’un lecteur de microplaques et de clarifier les causes des résultats inattendus obtenus lors des expériences. Notre système de microscope à luminescence IXplore™ Live* est optimisé pour l’imagerie de bioluminescence de cellules individuelles et de tissus entiers. Le microscope est livré avec les composants dont vous avez besoin pour commencer immédiatement vos expériences de bioluminescence dans un environnement stable et contrôlé.

* Ce système est le fruit d’une collaboration entre le professeur Takeharu Nagai (Sanken, Osaka University), Tokai Hit Co. Ltd. et Evident. Le projet a été financé par la Japan Science and Technology Agency (JST).

Observez de multiples échantillons sur une microplaque

Acquérez des images fiables sur une variété de modèles de microplaques à une résolution qui permet l’identification des cellules. Le logiciel d’imagerie cellSens™ et la platine motorisée permettent au système de mémoriser la position XY de chaque puits, ce qui facilite la prise d’images de tous les puits d’une microplaque à 96 puits.

Échantillon : cellules HeLa exprimant une nanolanterne jaune à luminescence amplifiée. Données reproduites avec l’aimable autorisation de Takeharu Nagai et de Mitsuru Hattori, département des sciences et du génie biomoléculaires, Sanken, Osaka University.

Échantillon : cellules HeLa exprimant une nanolanterne jaune à luminescence amplifiée. Données reproduites avec l’aimable autorisation de Takeharu Nagai et de Mitsuru Hattori, département des sciences et du génie biomoléculaires, Sanken, Osaka University.

Prise d’images intermittente stable sur une longue période

Un système d’incubation sur platine fournit l’environnement approprié pour des expériences à long terme avec prise d’images intermittente sur des cellules et des tissus vivants. Le système contrôle la température, la concentration en CO₂ et d’autres conditions environnementales pour maintenir la viabilité de vos échantillons pendant l’imagerie.

L’imagerie de bioluminescence ne nécessite pas de lumière d’excitation comme la fluorescence, car la lumière est créée par réaction chimique. La bioluminescence réduit au minimum la phototoxicité et élimine la contribution des signaux d’autofluorescence, ce qui la rend idéale pour l’observation stable et de longue durée de cellules vivantes.

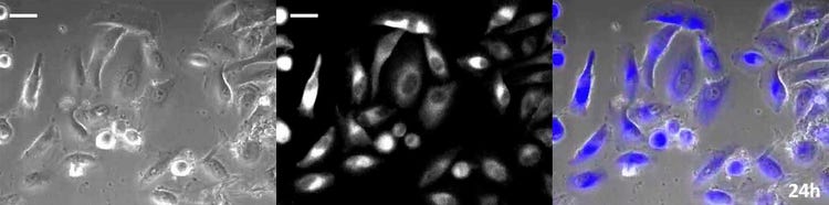
Observation de longue durée à l’aide d’un incubateur sur platine (24 heures : contraste de phase / luminescence / fusion) Échantillon : cellules HeLa exprimant une nanolanterne jaune à luminescence amplifiée (boîte de Pétri à fond en verre de 35 mm)

Observation de longue durée à l’aide d’un incubateur sur platine (24 heures : contraste de phase / luminescence / fusion).
Échantillon : cellules HeLa exprimant une nanolanterne jaune à luminescence amplifiée (boîte de Pétri à fond en verre de 35 mm).

Données reproduites avec l’aimable autorisation de Takeharu Nagai et de Mitsuru Hattori, département des sciences et du génie biomoléculaires, Sanken, Osaka University.

Combinez l’imagerie de fluorescence, de bioluminescence et en lumière transmise

Combinez les méthodes et les modalités d’observation pour voir les changements dans la cellule entière et au niveau génique en même temps. Par exemple, observez l’expression du gène ASCL1 et le cycle cellulaire durant le processus d’autoréplication des cellules souches neurales. En utilisant un indicateur de cycle cellulaire fluorescent basé sur l’ubiquitination (Fucci), le système vous permet de visualiser les fluctuations de l’expression du gène ASCL1 à chaque étape du cycle cellulaire.

Imagerie à résolution monocellulaire à trois canaux avec fluorescence (droite, rouge/vert), bioluminescence (gauche, jaune) et contraste de phase (gauche, échelle de gris). Données reproduites avec l’aimable autorisation d’Itaru Imayoshi, Research Center for Dynamic Living Systems, Graduate School of Biostudies, Kyoto University, et d'Akihiro Isomura, Ryoichiro Kageyama, Institute for Virus Research, Kyoto University.

Imagerie à résolution monocellulaire à trois canaux avec fluorescence (droite, rouge/vert), bioluminescence (gauche, jaune) et contraste de phase (gauche, échelle de gris). Données reproduites avec l’aimable autorisation d’Itaru Imayoshi, Research Center for Dynamic Living Systems, Graduate School of Biostudies, Kyoto University, et d'Akihiro Isomura, Ryoichiro Kageyama, Institute for Virus Research, Kyoto University.

Référence : Science, 6 décembre 2013, 342(6163):1203-8. doi : 10.1126/science.1242366.

Imagerie de la réponse aux médicaments pour l’évaluation de leur efficacité

L’activité des récepteurs couplés aux protéines G (GPCR), une cible thérapeutique couramment étudiée, peut être évaluée en mesurant la concentration de calcium dans un sphéroïde. Le criblage et l’analyse à haut contenu effectués en microplaque vous permettent d’analyser différentes conditions, comme les concentrations et les conditions d’environnement, ainsi qu’une bibliothèque de médicaments candidats.

Un système d’incubation stable vous permet d’observer les différenciations morphologiques cellulaires et la réponse aux médicaments sur de longues périodes. La bioluminescence a un meilleur rapport signal sur bruit que la fluorescence, ce qui vous permet de détecter même les réponses les plus faibles.

Mesure de la fluctuation de la concentration en calcium après stimulation par l’histamine dans un sphéroïde. Le graphique représente les mesures pour trois régions d’intérêt.

Contactez-nous