Fonctions d’analyse de la fonte
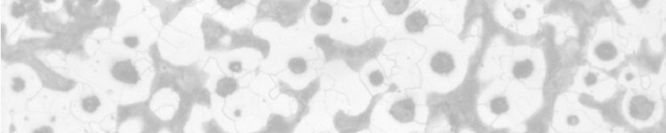
Dans un laboratoire métallographique, l’analyse de la fonte pour déterminer la nodularité, la taille, la forme et les paramètres de distribution du graphite, ou pour connaître le rapport ferrite-perlite, est particulièrement important pour le contrôle qualité.
Notre logiciel d’analyse d’images propose un processus pour analyser les caractéristiques suivantes de la fonte :
- Forme de graphite
- Distribution du graphite
- Taille du graphite
- Nodularité du graphite
- Teneur en graphite (pourcentage)
- Taux ferrite-perlite (pourcentage)