Pathologie et laboratoire Objectifs très performants X Line et le microscope droit BX53

Contactez-nous

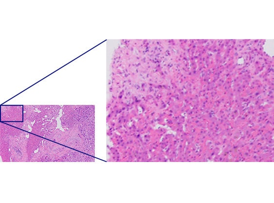
Comparaison de la résolution

Comparaison de la résolution

Objectifs conventionnelsX Line

Qualité uniforme du centre jusqu'au bord

L'amélioration de la planéité produit des images de qualité supérieure et uniforme, du centre jusqu’au bord. La grande ouverture numérique (NA) permet aux objectifs de capter plus de lumière pour produire des images plus lumineuses et de plus haute résolution. Le couplage des objectifs X Line avec un microscope droit BX53 améliore la qualité globale des images.

En savoir plus sur le BX53

Assemblage efficace d'images

L'assemblage vous permet de produire des images de sections de tissu entières. Mais si la planéité est mauvaise, l'image assemblée peut être floue et présenter un artefact de type "patchwork". Les objectifs X Line fournissent des images uniformément planes du centre jusqu’au bord pour acquérir des images assemblées uniformes de haute définition. La possibilité de créer une grande image avec un moindre nombre d'images qu'avant se traduit également par une meilleure efficacité et un gain de temps.

Créée à l’aide de la fonction d'alignement d'images multiples (MIA)

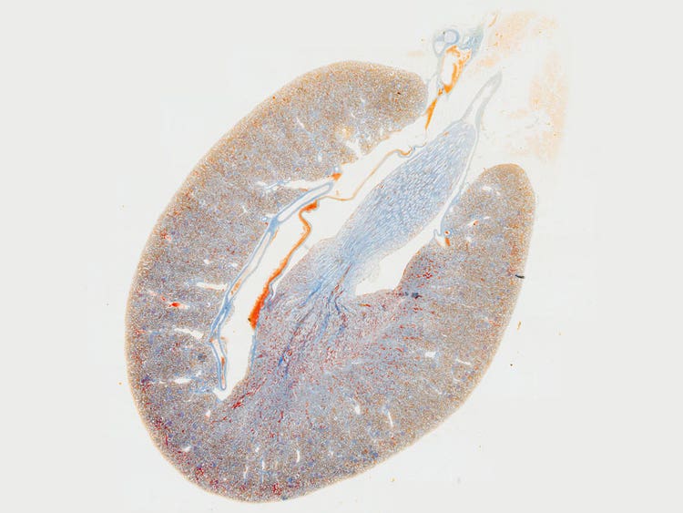
Observation FISH

Amélioration des images pour les applications de recherche clinique

Ensemble, l'amélioration de la planéité, l'ouverture numérique et l'aberration chromatique permettent de fournir des images claires de haute résolution avec une excellente reproduction des couleurs. La gestion de l'aberration chromatique assure des couleurs plus précises sur l'ensemble du spectre. L'élimination de l'aberration de la couleur violette crée des blancs clairs et des roses vifs, et améliore le contraste et la netteté. La correction de l'aberration chromatique sur une grande plage de longueurs d'onde (400-1 000 nm) vous permet d'acquérir des images multicolores de haute résolution pendant une observation par fluorescence, telle que FISH.

Produits connexes

BX53 Upright Microscope

Microscope droit BX53

  • Éclairage par LED haute luminosité révélant les couleurs naturelles
  • Le concept modulaire permet la motorisation de composants individuels
  • Facilite l'acquisition d'images multicolores par fluorescence

En savoir plus

BX63 Upright Microscope

Microscope droit BX63

  • Le système entièrement motorisé permet d'automatiser des expériences complexes et multidimensionnelles
  • Entraînement Z précis motorisé
  • Stabilité maximale grâce au concept de platine fixe

En savoir plus

View larger image: U-FLLED LED Illumination System Image 1 of 1

U-FLLED

Source lumineuse à LED compacte à montage direct conçue pour l’imagerie fluorescopique de routine sur microscopes manuels et semi-motorisés. Grâce à son refroidissement passif sans ventilateur et à ses canaux d’excitation modulaires, l’U-FLLED offre un éclairage stable et uniforme pour les échantillons fixés et les flux de travail quotidiens sans augmenter la complexité du système.

  • Éclairage LED à montage direct pour configurations intégrées au microscope.
  • Canaux d’excitation modulaires pour fluorochromes courants
  • Fonctionnement silencieux et sans ventilateur pour l’imagerie fluorescopique de routine

En savoir plus