Microscope pour culture cellulaire CKX53

Le microscope CKX53 facilite le processus de culture cellulaire et tissulaire en simplifiant les étapes telles que l’observation des cellules vivantes, l’échantillonnage et la manipulation des cellules, la prise de vues et l’observation de la fluorescence. Son système de contraste de phase intégré, sa forme compacte et ergonomique et ses performances stables permettent une observation des cellules simple et efficace. Le porte-échantillon universel et la platine extensible s’adaptent à une grande variété de types et de tailles de récipients de culture cellulaire.

Microscope inversé compact et ergonomique destiné à la culture cellulaire

Grâce à la qualité d’image et à l’ergonomie améliorées, le microscope inversé CKX53 d’Olympus offre des performances stables et un grand confort de travail pour différents besoins en culture cellulaire, notamment l’observation de cellules vivantes, le prélèvement et la manipulation de cellules, l’acquisition d’images et l’observation en fluorescence.

Observation aisée de cellules vivantes

Observation rapide des cellules grâce au système de contraste de phase intégré

  • Le contraste élevé permet une bonne visualisation des cellules à 4x, 10x, 20x et 40x sans qu’il soit nécessaire de changer ou de recentrer le diaphragme d’ouverture annulaire.
  • Le système de contraste de phase simplifie et rend plus efficace l’observation des cellules, ce qui améliore le confort et accélère votre travail.

Des observations efficaces grâce à la netteté et au grand angle de vue

  • Recherchez vos cellules cibles de façon efficace grâce au diaphragme d’ouverture annulaire pour l’objectif PLN2X, qui offre un champ de vision de 22 mm et un diamètre de 11 mm.
  • L’objectif 2x fournit un contraste bien plus élevé que d’autres objectifs, permettant même l’identification précise des objets transparents dans l’échantillon.

Système de contraste de phase intégré

CKX3-SLPAS

Conçu pour être installé sous hotte stérile

Facile à déplacer à une main

Positionnement naturel de la main

Observation de cellules vivantes dans des conditions stériles

Compact et compatible avec la stérilisation sous hotte

Le microscope CKX53 peut être installé dans une hotte à flux laminaire et y rester pendant le processus de stérilisation UV grâce à son revêtement résistant aux rayons UV. Le système pèse environ 7 kg. Il est donc plus léger que le modèle précédent et est également plus compact, occupant ainsi moins d’espace dans votre laboratoire. Vous pouvez déplacer le microscope avec une seule main : il est facile à transporter en le tenant par la potence. De plus, le patin de glissement sur la base du microscope en facilite le positionnement.

Des prélèvements de cellules aisés sous hotte stérile

Le point de vue et le bouton d’axe optique/mise au point sont rapprochés, ce qui permet un positionnement naturel de la main et facilite à la fois la mise au point et le prélèvement de cellules.

Efficacité d’observation et de manipulation des cellules

Compatible avec une grande diversité de récipients de culture cellulaire

  • Le support universel accueille différents récipients de culture cellulaire (boîtes, plaques à puits, flacons, etc).
  • Trois boîtes de 35 mm peuvent être placées sur la platine au moyen du support spécifique en option.
  • Différents types de plaques à puits peuvent être positionnées sans le support.

Observation complète de flacons de culture de tissu multicouche

  • La largeur du microscope et le condenseur facilement démontable vous permettent d’examiner des échantillons dans des récipients tels que des flacons de culture multicouche d’une hauteur allant jusqu’à 190 mm.
  • La profondeur de champ de l’objectif PLCN4X facilite l’observation des cellules des deux couches inférieures d’un flacon multicouche.

Possibilité d’utiliser de plus gros récipients de culture cellulaire

  • Soulevez le bras du support pour positionner manuellement les récipients de culture.
  • Agrandissez la platine de jusqu’à 70 mm de plus à gauche ou à droite pour faciliter vos manipulations.

Compatible avec divers récipients

Observation d’un flacon de culture de tissu multicouche

Bras relevable du support

Conception ergonomique pour un fonctionnement convivial

Conception ergonomique du microscope

Position d’observation confortable

L’angle de 45° des oculaires et le positionnement de la tête d’observation en forme de papillon contre la platine renforcent le confort d’observation, que vous soyez assis ou debout.

Les mains toujours près des commandes

Toutes les commandes, dont l’interrupteur principal, la mise au point grossière et fine et le bouton pour changer de trajectoire optique, sont positionnées de façon ergonomique pour faciliter l’accès et réduire la fatigue de l’observateur.

Technologies appliquées

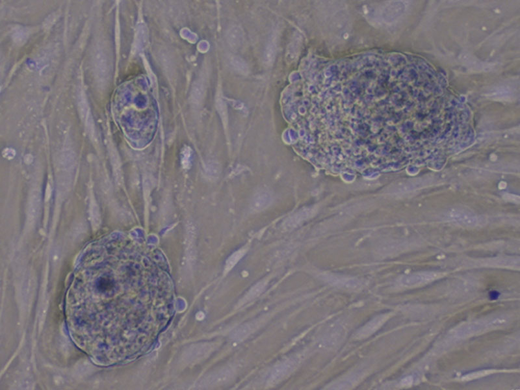
Visualisation de cellules en 3D grâce à la technique de contraste de phase inversé

La technique de contraste de phase inversé offre une profondeur de champ plus étroite que le contraste de phase classique et offre ainsi des images 3D nettes, quelle que soit la forme ou le degré de transparence de l’objet. De plus, le contraste de phase inversé offre une visualisation précise sans halo ni ombre directionnelle, préservant ainsi l’intégrité des détails des objets lors de l’observation.

* Des objectifs 10x (PLCN10X, CACHN10XIPC) sont utilisés pour l’observation avec cette nouvelle technique en contraste de phase inversé.

Gauche : Contraste de phase / Droite : Contraste de phase inversé

Clear Views with a Wide Range of Fluorescence Dyes

Comparison of with and without Umbra Shield

Imagerie par fluorescence simple

Une bonne visualisation avec une grande variété de fluorochromes

Grâce à l’ensemble de fluorescence standard du CKX53, même les signaux de fluorescence les plus faibles sont visibles et nets lorsqu’on utilise les différentes sources de lumière intégrées, comme la lampe à mercure de 100 W (U-LH100HG), la lampe à mercure à haute pression de 130 W (U-HGLGPS) et des lampes à DEL d’autres fabricants*. Le même type de miroir que ceux proposés sur nos microscopes IX3 et BX3 peut être réglé dans les trois fentes de positionnement de la glissière du miroir.

* Non disponible dans certaines régions.

Contraste élevé dans des conditions lumineuses

L’écran de protection anti-lumière Umbra Shield bloque efficacement la lumière de la pièce, améliore le contraste de fluorescence et permet une bonne observation de la fluorescence dans des conditions de laboratoire lumineux. Lors de l’utilisation du contraste de phase, vous pouvez soulever cet écran de protection pour que de la lumière atteigne l’échantillon.

Obtenez un processus de culture cellulaire plus sûr et plus flexible grâce à une caméra numérique sans fil et à l’affichage tête haute

Grâce à la caméra numérique EP50 compatible avec les réseaux locaux sans fil, vous pouvez déplacer votre microscope CKX53 dans la salle de culture tissulaire ou le placer dans une enceinte de sécurité biologique sans avoir à vous soucier d’une connexion filaire à un ordinateur. Manipulez et enregistrez des images à distance depuis un ordinateur, une tablette ou un téléphone mobile multifonction.

Ajoutez l’affichage tête haute pour bénéficier d’une solution d’imagerie compacte tout-en-un. Le système entier peut être utilisé en toute sécurité à l’intérieur d’une enceinte de sécurité biologique pour garder vos échantillons stériles pendant que vous acquérez vos images.

* Il est possible que certains produits d’autres fabricants ne soient pas disponibles dans certains pays.

Achieve a Safer and More Flexible Cell Culture Process with a Wireless Digital Camera and Heads-Up Display

Caractéristiques techniques

Monture de microscope
CKX53SF
Méthode d’observation
Fluorescence (excitation bleue/verte)
Fluorescence (excitation ultraviolette)
Contraste de phase
Fond clair
Tourelle porte-objectifs rotative
Réglage manuel
Type standard
Intégrée, 4 positions
Têtes d’observation
Champ large (numéro de champ : 22)
Trinoculaire
Illuminateur
Illuminateur à lumière transmise
Lampe à DEL
Illuminateur pour fluorescence
Lampe à mercure de 100 W
Éclairage avec guide de lumière
Platine
Réglage manuel
Platine simple
Condenseur
Réglage manuel
Condenseur à ultra-grande distance de travail
Ouverture numérique : 0,3 / Distance de travail : 72 mm (intégré)
Scanner confocal
-
Traitement pour très grande résolution
-
Accessoires
-
Dimensions (L × P × H)
200 × 498 × 454 mm (avec une configuration de base pour contraste de phase)
Poids
Environ 6,9 kg

* Grossissement 2x et champ de vision de 11 mm permettant un examen efficace des cellules.

Ressources

Livre blanc

Ressources produit