Plankton to Plants—Our Most Popular Microscope Images for August 2022

Microscope artwork

Kerry Israel

Kerry Israel

9 September, 2022

Things we find pretty: plankton, plants, and potatoes. Check out this month’s most popular images to see how even everyday items can become beautiful when looked at under a microscope.

Plankton under a microscope

If you give someone a fish, you feed them for a day. If you teach someone to fish, they capture a beautiful assortment of plankton using a plankton net in Sagami Bay, Japan. We spy diatoms, copepods, zooplankton, and more. What an incredible example of microscopic life within a sample!

Image courtesy of @co_micro. Captured on an Olympus BH2 microscope.

Atriplex leaf surface under a microscope

Jan Martinek, a plant cell biologist at Charles University in Prague and the 2021 Global Image of the Year winner, took over our Instagram account this month for a Takeover Week and got up close and personal with his favorite topic: plants. The images were so stunning that four of our top five images this month were from his takeover!

The top image from the takeover shows the surface of the Atriplex leaf covered with tiny globular trichomes, which gives the leaf its frosted look.

Visit our Instagram to see the remaining images!

Image courtesy of Jan Martinek, 2021 Global Image of the Year winner. Captured with autofluorescence in UV excitation light and focus stacking using an Olympus AX70 microscope.

Human colon under a microscope

Kate Murphy finds love everywhere. We’re beginning to think we should change the H in H&E stain from “hematoxylin” to “heart.” This lovely capture is a tissue sample from a human colon.

Image courtesy of Kate Murphy. Captured using an Olympus BX40 microscope.

Holly under a microscope Holly under a microscope Holly under a microscope Holly under a microscope

With autumn approaching, we’re already thinking about all the leaves we’re going to have to rake. These images make us appreciate the beauty of their vein structures instead of dwelling on the hard work to clean them up. Ilex aquifolium, also known as holly, is a species of flowering plant in the family Aquifoliaceae, native to western and Southern Europe, Northwest Africa, and Southwest Asia.

Image courtesy of @nanoscape. Captured on an Olympus SLIDEVIEW™ VS200 research slide scanner.

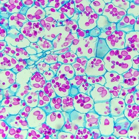
Storage parenchyma cells under a microscope

When we think of potatoes, we often think of them as being bland, but this image of a potato tuber is nothing but! Here we see the storage parenchyma cells along with starch granules (pink). Who knew potatoes could be so pretty?

Image courtesy of Cetinbas-Genc, PhD. Captured using an Olympus CH20 microscope.

Bonus video! Algae brought us joy in this reel featuring a rotifer.

"Here you see the beautiful rotifer (Collotheca) microbe fishing with its corona of cilia that form a funnel trap. Rotifers are microscopic animals and are part of an important community of metazoan grazers. They consume detritus, bacteria, and algae. At scale, gross filtration by this community maintains water quality and proper ecosystem function."

Video and caption courtesy of @thejoyofalgae. Captured using an Olympus BX51 microscope.

To see more images like these, be sure to follow us on Instagram at @olympuslifescience.

Interested in sharing your own images? Visit our image submission site.

Kerry Israel

Kerry Israel

Manager, Marketing Communications

Kerry Israel is the Manager of Marketing and Communications for Life Science at Evident. She has a Bachelor of Arts degree from Brandeis University, and more than 15 years of experience in all aspects of marketing, from advertising and social media strategy to grassroots outreach.