Soluzione Ghisa
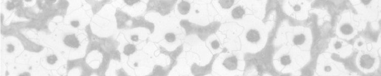
Nel laboratorio metallografico, l'operazione di analisi della ghisa relativamente ai parametri di distribuzione, forma e dimensione della nodularità della grafite, oltre al rapporto ferrite-perlite, è di estrema importanza da un punto di vista della prospettiva del controllo qualità.
Il nostro software di analisi delle immagini offre un flusso di lavoro per analizzare le seguenti caratteristiche della ghisa:
- Forma della grafite
- Distribuzione della grafite
- Dimensione della grafite
- Nodularità della grafite
- Percentuale di grafite
- Percentuale di ferrite-perlite