Microscopio per colture cellulari CKX53

Il microscopio CKX53 facilita i flussi di lavoro di colture di cellule e tessuti, semplificando le diverse fasi come: osservazione di cellule vive; campionamento e gestione di cellule; acquisizione di immagini; osservazione in fluorescenza. L'integrato sistema di contrasto di fase, la struttura compatta e ergonomica, oltre alle prestazioni stabili, permettono una semplice ed efficiente osservazione cellulare. Il fermacampione universale e il tavolino espandibile sono compatibili con numerosi tipi e dimensioni di contenitori per colture cellulari.

Compact, Ergonomic Inverted Microscope for Cell Culture

With improved image quality and ergonomics, the Olympus CKX53 inverted microscope delivers stable performance and a comfortable workflow for a variety of cell culture needs, including live cell observation, cell sampling and handling, image capture, and fluorescence observation.

Easy Live Cell Observations

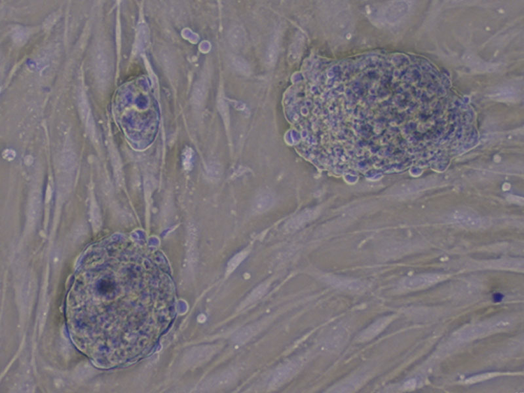
Fast Cell Observation with the Integrated Phase Contrast (iPC) System

  • High contrast provides a clear view of cells at 4x, 10x, 20x, and 40x without the need to exchange or re-center the ring slit
  • Phase contrast system facilitates simple and efficient cell observation for a faster, more comfortable workflow

Efficient Cell Screening with a Clear, Wide View

  • Efficiently screen for desired cells thanks to the ring slit for the PLN2X objective, which offers a 22 mm field of view and an 11 mm diameter
  • 2X objective provides noticeably higher contrast than other objectives, so even transparent objects in the sample can be clearly identified

Integrated Phase Contrast (iPC) System

CKX3-SLPAS

Designed to fit on a clean bench

Easy to move by one hand

Natural hand positioning

Live Cell Observation Under Sterile Conditions

Small Footprint Enables In-Hood Sterilization

The CKX53 microscope fits on a clean lab bench and can be remain there during the UV sterilization process thanks to its UV-resistant coating. The system is about 7 kg (15.4 lb), lighter than the previous model and has a smaller footprint, so it takes up less space in your lab. You can move the microscope with one hand, and it’s easy to carry it by the neck of the observation tube. The base’s sliding pad makes it easy to position.

Easy Cell Sampling in a Sterile Bench Environment

The short distance between the view point and the optical axis/focus knob facilitates natural hand positioning and makes focusing and cell sampling easier.

Efficient Cell Observation and Handling

Accommodates a Variety of Cell Culture Containers

  • The universal holder makes it easy to view cells that were cultured in a variety of containers, including dishes, microplates, and flasks
  • Three 35 mm dishes can fit on the stage with the optional holder attachment
  • Different types of microplates can be accommodated without the holder

Comprehensive Observation for a Multilayer Tissue Flask

  • The microscope’s width and easily detachable condenser enable you to view containers, such as multilayer tissue flasks, up to 190 mm (7.5 in.) in height
  • The PLCN4X objective’s depth of focus makes it easy to observe cells in the two bottom layers of a multilayer flask

Flexibility to Use Larger Cell Culture Containers

  • Lift the holder’s arm to manually position culture containers
  • Expand the stage up to 70 mm (2.8 in.) to the left and right for greater handling flexibility

Accommodates various containers

Observation for a multi-layer tissue flask

Lift-able holder's arm

ergonomic design for userfriendly operation

Ergonomic Microscope Design

Comfortable Viewing Position

The eyepieces’ 45-degree angle and the placement of the butterfly-shaped observation tube against the stage facilitates ergonomic cell observation, whether standing or seated.

Rest Your Hand Near the Controls

All the controls, including the power switch, coarse and fine focus, and the knob for switching the light path, are ergonomically located for easy access and reduced user fatigue.

Applied Technologies

3D Cell Views with the Inversion Contrast (IVC) Technique

The IVC technique offers a narrower depth of field than phase contrast, rendering clear three-dimensional images for objects of any shape or transparency. IVC observation also provides clear views without halos or directional shadows, preserving the integrity of object details during observation.

*10X objectives (PLCN10X, CACHN10XIPC) are used for this new IVC observation.

Esquerda: PH/Direita: IVC

Clear Views with a Wide Range of Fluorescence Dyes

Comparison of with and without Umbra Shield

Easy Fluorescence Imaging

Clear Views with a Wide Range of Fluorescent Dyes

With the CKX53 standard fluorescence set, even weak fluorescence signals can be viewed clearly with the aid of different integrated light sources, such as a 100 W mercury lamp (U-LH100HG), a LED and LDP light source (U-LGPS), and 3rd party LEDs*. The same type of mirror unit as those offered with our IX3 and BX3 microscopes can be set in the mirror unit slider’s three slots.
*Not available in some areas.

High Contrast Under Bright Conditions

The Umbra Shield efficiently blocks out room light, enhances the contrast of fluorescence, and enables clear fluorescence observation under bright lab conditions. When using phase contrast, you can lift the shield to pass light through to the sample.

Achieve a Safer and More Flexible Cell Culture Process with a Wireless Digital Camera and Heads-Up Display

With the wireless LAN-enabled EP50 digital camera, you can move your CKX53 microscope around the tissue culture room and into a biosafety cabinet without having to worry about a corded connection to a computer. Manipulate and save images remotely from a computer, tablet, or smartphone.

Add the heads-up display for a compact all-in-one imaging solution. The entire unit can be safely used inside a biosafety cabinet, keeping your samples sterile while you image.

* Third-party products may not be available in some countries.

Achieve a Safer and More Flexible Cell Culture Process with a Wireless Digital Camera and Heads-Up Display

Specifications

Microscope Frame
CKX53SF
Observation Method
Fluorescence (Blue/Green Excitation)
Fluorescence (Ultraviolet Excitation)
Phase Contrast
Brightfield
Revolving Nosepiece
Manual
Standard Type
Built in, 4 positions
Observation Tubes
Widefield (FN 22)
Trinocular
Illuminator
Transmitted Illuminator
LED Lamp
Fluorescence Illuminator
100 W Mercury Lamp
Light Guide Illumination
Stage
Manual
Plain Stage
Condenser
Manual
Ultra-Long Working Distance Condenser
NA 0.3/ W.D. 72 mm (built in)
Dimensions (W × D × H)
200 mm × 498 mm × 454 mm (7.9 in. × 19.6 in. × 17.9 in.) (Phase contrast entry configuration)
Weight
Approx. 6.9 kg (15.2 lb)

*2x overview with an 11 mm diameter view for efficient cell screening.

Resources

White Papers

Product Resources