Scanner digitale per vetrini per la patologia SLIDEVIEW VS-M1

Un veloce ed efficiente scanner per vetrini permette di acquisire delle immagini di qualità da microscopio di campioni cellulari e tessutali. Il sistema SLIDEVIEW™ VS-M1 utilizza dei flussi di lavoro standardizzati, un'intuitiva interfaccia e degli strumenti di AI efficienti per semplificare l'imaging, permettendo agli utenti di qualunque grado di esperienza di acquisire scansioni in campo chiaro di campioni per le analisi patologiche di routine in soli pochi clic. Risultati chiari e dettagliati permettono di rendere più affidabili le decisioni prese nell'ambito della patologia.

  • Product Availability: Available in Japan as VS-M1J

Scanner per vetrini per patologia digitale SLIDEVIEW VS-M1

Scansioni semplici per decisioni sicure

La qualità ottica su cui hai fatto affidamento per anni, ora in uno scanner per vetrini dedicato.

Ispirato da un secolo di innovazioni e realizzato grazie alla nostra ricca esperienza di imaging per la patologia, lo scanner SLIDEVIEW VS-M1 fornisce immagini di campioni istologici e citologici con una qualità simile alla microscopia.

Il sistema SLIDEVIEW VS-M1 usa flussi di lavoro standardizzati, un'interfaccia intuitiva e strumenti smart basati sull'intelligenza artificiale (IA) per semplificare le tecniche di imaging su epitelio semplice o Z-stack consentendo in tal modo agli operatori di ogni livello di competenza di acquisire, in modo affidabile e con pochi clic, scansioni in campo chiaro di campioni patologici di routine.

I dettagli necessari a supportare decisioni sicure in patologia.

Scarica la brochure

Scansioni semplici per decisioni sicure

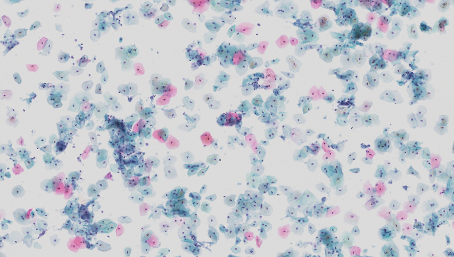
Immagini da sinistra a destra: citologia su strato sottile (ThinPrep Pap test), istologia su epitelio semplice (stomaco, EE)

Immagini da sinistra a destra: citologia su strato sottile (ThinPrep Pap test), istologia su epitelio semplice (stomaco, EE)

Immagini da sinistra a destra: citologia su strato sottile (ThinPrep Pap test), istologia su epitelio semplice (stomaco, EE)

Velocità ed efficienza in patologia digitale

Il sistema SLIDEVIEW VS-M1 migliora il flusso di lavoro delle analisi patologiche fornendo scansioni rapide e dettagliate di campioni di tessuti e cellule.

  • Imaging di alta qualità di interi vetrini: acquisizione di immagini chiare e a fuoco con dettagli precisi e alta risoluzione.
  • Illuminazione realizzata per i coloranti utilizzati in patologia: il generatore di luce LED dello scanner, i profili della fotocamera con correzione del colore e l'obiettivo X Line™ ad alte prestazioni replicano i colori necessari per visualizzare sullo schermo le colorazioni tipiche delle analisi patologiche.
  • Osservazione come con gli oculari: le immagini sullo schermo sono visualizzate con colori reali su un monitor ad alta resa cromatica con calibrazione automatica.
  • Portavetrini virtuale dall'aria familiare: organizza e utilizza diversi vetrini digitali proprio come faresti con quelli fisici.
  • Progettato per una condivisione semplice e collaborativa: condividi facilmente le immagini dei vetrini con patologi ed esperti all'interno della rete protetta.

Costruito per i laboratori di analisi patologiche a intensa attività

Accelera la digitalizzazione dei vetrini per aumentare l'efficienza nell'invio dei risultati al patologo. Il design user-friendly e la flessibilità delle funzioni di scansione rendono il sistema non solo scalabile e configurabile, ma anche intuitivo. Ogni componente è stato progettato per aiutare il laboratorio a gestire in modo efficiente un elevato numero di casi.

  • Caricamento fluido e sicuro dei vetrini: la movimentazione verticale dei vetrini riduce al minimo il rischio di danneggiarli o farli cadere, riducendo così i tempi di inattività dello scanner.
  • Funzionamento semplice: la configurazione e l'analisi dei campioni sono effettuate tramite l'ampio touch screen.
  • Alta velocità di scansione: scansione di oltre 80 vetrini all'ora in modalità veloce, senza che sia necessaria una mappatura della messa a fuoco.
  • Meno ripetizioni di scansioni, più affidabilità: l'identificazione di campioni supportata da IA migliora la precisione, anche nelle aree che presentano una colorazione poco intensa. Inoltre, la modalità di scansione manuale permette di orientare lo scanner sull'area desiderata e ottenere così risultati ottimali grazie a un controllo flessibile della scansione.
  • Configurazione dello scanner in base alle proprie preferenze: sono disponibili quattro modalità di scansione per ottimizzare la velocità, la precisione o i tipi di campioni, come quelli disomogenei o con una colorazione poco intensa. Le funzionalità dello scanner possono essere personalizzate in base al flusso di lavoro del laboratorio.
Costruito per i laboratori di analisi patologiche a intensa attività

Patologi

Qualità da microscopio delle immagini, direttamente sullo schermo

Il sistema SLIDEVIEW VS-M1 utilizza un obiettivo X Line dedicato ad alte prestazioni per acquisire immagini ad alta risoluzione con una planarità migliorata, semplificando il processo di unione (stitching) e l'esecuzione di scansioni nitide di vetrini interi. L'acquisizione dei dettagli è affidabile e consente di prendere decisioni basate su informazioni accurate.

Qualità da microscopio delle immagini, direttamente sullo schermo
Osservazione ottimale per ogni campione

Osservazione ottimale per ogni campione

L'obiettivo apocromatico esteso X Line assicura una planarità omogenea delle immagini e una ampia correzione dell'aberrazione cromatica. L'obiettivo si combina al nostro generatore di luce LED True Color ad alta resa cromatica e ai nostri profili di colori ICC per fotocamere, specificamente regolati per immagini di vetrini interi per fornire una riproduzione cromatica realistica necessaria per colorazioni con EE, per immunoistochimica e speciali. Le immagini vengono visualizzate su un monitor di qualità diagnostica con un'ampia copertura della gamma di colore, tarato per la patologia digitale e progettato per mantenere precisione, corrispondenza e stabilità dei colori nel tempo, fornendo un livello di dettaglio paragonabile alla visualizzazione attraverso un microscopio.

Efficiente flusso di lavoro per le analisi patologiche

Sviluppato in collaborazione con i patologi, il sistema SLIDEVIEW VS-M1 è intuitivo e semplice da usare. Grazie alle modalità di scansione multiple e alle impostazioni personalizzabili, si adatta al flusso di lavoro del laboratorio consentendo di creare protocolli specifici per ciascun campione sulla base nelle priorità di analisi. Un portavetrini virtuale simula la manipolazione di vetrini reali e permette di passare facilmente alla patologia digitale mantenendo al contempo un flusso di lavoro già familiare.

Efficiente flusso di lavoro per le analisi patologiche
Collaborazione a distanza

Collaborazione a distanza

Il sistema è dotato di strumenti di collaborazione affidabili e integrati che semplificano la condivisione delle immagini di vetrini con altri patologi e specialisti in tutto il mondo. Gli operatori possono accedere ai dati da qualunque computer senza dover installare alcun software addizionale.

Tecnici di laboratorio

Scansioni semplici e di alta qualità

Avvia una scansione con un solo clic, senza la necessità di configurare i profili di scansione. Grazie all'ampio touch screen, al funzionamento graduale e al caricamento verticale dei vetrini, semplice e sicuro, il sistema SLIDEVIEW VS-M1 è progettato per essere integrato facilmente nei laboratori ad alta produttività.

Touch screen intuitivo

L'ampio touch screen dello scanner rende semplice e intuitiva l'accessibilità ai comandi e alle impostazioni.

Caricamento dei vetrini rapido e sicuro

I vetrini possono essere caricati facilmente nel rack e successivamente nello scanner. Il caricamento avviene verticalmente invece che orizzontalmente, il che minimizza il rischio di danneggiamento o di caduta dei vetrini e riduce i tempi di inattività dello scanner.

Flusso di lavoro semplice e guidato

Il sistema guida l'operatore attraverso il processo di scansione. Al termine della scansione è possibile inviare le immagini direttamente al patologo semplicemente toccando lo schermo oppure verificare la qualità dei vetrini digitali sul touch screen prima dell'invio.

Scansioni semplici e di alta qualità

Scansioni semplici e di alta qualità

Scansioni semplici e di alta qualità

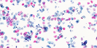
Citologia su strato sottile (ThinPrep Pap test)

Citologia su strato sottile (ThinPrep Pap test)

Adattato al tuo carico di lavoro

Progettato per l'istologia e la citologia, il sistema SLIDEVIEW VS-M1 offre la flessibilità di soddisfare diverse esigenze di laboratorio, adattandosi a diversi tipi di campione e facilitando la gestione di maggiori carichi di lavoro. È possibile scegliere tra scansioni su epitelio semplice o su strato sottile per assicurare una maggiore precisione ed efficienza di analisi.

Maggiore produttività per le analisi patologiche di routine

Il sistema SLIDEVIEW VS-M1 può gestire fino a 150 vetrini alla volta e assicura quindi un'alta produttività delle scansioni di routine: la funzionalità di caricamento continuo permette di sostituire rack da 30 vetrini mentre lo scanner è in funzione ed è inoltre possibile inserire dei vetrini urgenti in un lotto già avviato, incrementando ulteriormente la produttività.

La velocità di scansione di più di 80 vetrini all'ora semplifica il processo di digitalizzazione e rende il flusso di lavoro più rapido. L'autofocus in tempo reale del sistema riduce l'esigenza di una mappatura della messa a fuoco manuale, accelerando così l'operazione di scansione.

Maggiore produttività per le analisi patologiche di routine
Acquisisci solo i dati necessari

Acquisisci solo i dati necessari

Il rilevamento automatico dei campioni, basato sull'intelligenza artificiale, consente di identificare tutte le aree con presenza di cellule e tessuti sul vetrino, velocizzando le scansioni e riducendo la necessità di ripetizione delle stesse. In questo modo è possibile acquisire anche aree che presentano una colorazione poco intensa e ottimizzare al contempo i requisiti per l'archiviazione dei dati.

Imaging flessibile per la patologia digitale

È possibile creare flussi di lavoro specifici per campioni in base alle priorità del proprio laboratorio: le quattro modalità consentono di personalizzare la scansione per adattarsi alle esigenze di ogni applicazione e campione.

  • Modalità di scansione veloce: l'autofocus in tempo reale consente di acquisire velocemente immagini di alta qualità.
  • Modalità di scansione con messa a fuoco: l'autofocus a singoli punti consente di creare una mappatura dettagliata della messa a fuoco prima di effettuare la scansione, in modo da migliorare la precisione.
  • Modalità di scansione manuale: è possibile impostare singoli punti di messa a fuoco e definire l'area di scansione per facilitare la completa messa a fuoco di campioni con colorazione poco intensa o disomogenei.
  • Modalità di scansione Z-stack*: vengono utilizzati protocolli predefiniti per tipi di campioni standard o vengono definiti parametri personalizzati per applicazioni specifiche.
Imaging flessibile per la patologia digitale

Tecnici IT

Facile integrazione

Il sistema SLIDEVIEW VS-M1 si integra facilmente con i sistemi informativi di laboratorio (LIS) e supporta diversi protocolli di rete sanitari, inclusi l'HL7 e il FHIR. Il formato DICOM permette la compatibilità con i sistemi di gestione delle immagini basati su PACS e DICOM. Il sistema dispone di funzionalità di sicurezza dei dati HIPAA-NIST, crittografia e gestione centralizzata dell'account. I tecnici IT possono usare la piattaforma di gestione centralizzata del sistema per visualizzare a distanza gli errori del sistema di scansione e scaricare i report.

Facile integrazione

Gestione semplificata

L'Evident Management Portal (EMP) fornisce una piattaforma centralizzata per configurare e gestire diversi scanner in un laboratorio. Questo sistema permette di gestire l'accesso allo scanner e all'EMP; impostare le configurazioni dello scanner (come l'analisi del codice a barre e la modalità di scansione predefinita) e monitorare le informazioni diagnostiche quali lo stato di attività, i registri dello strumento e di audit e le statistiche di utilizzo dello scanner.

Specifiche tecniche

Campione di analisi previsto Campione di analisi Vetrino in vetro con coprioggetti
Dimensioni del vetrino Lunghezza: 75–76,5 mm (2,954–3,011 in.), larghezza: 25–26,5 mm (0,985–1,043 in.),
spessore: 0,9–1,2 mm (0,0355–0,0472 in.) (ISO 8037-1)
Spessore del vetrino coprioggetti 0,13–0,19 mm (0,0052–0,0074 in.) (ISO 8255-1) (consigliato: 0,17 mm)
Scanner Touch screen LCD integrato a colori da 21,5"
Con il touch screen è possibile regolare le impostazioni di scansione e osservare le immagini acquisite
Numero massimo di vetrini Fino a 150 vetrini
Rack per vetrini 5 rack per vetrini, fino a 30 vetrini per rack
Adattatore per rack per vetrini Cestello per vetrini (K1650009) di Sakura Finetek Japan Co., Ltd., per il trasferimento di 10 vetrini per volta sul rack per vetrini
Modalità di scansione Modalità di scansione veloce (priorità a qualità o velocità), modalità di scansione con messa a fuoco, modalità di configurazione manuale, modalità Z-stack
Produttività Più di 80 vetrini/ora (area di 15 mm × 15 mm ad una risoluzione equivalente a 40X, modalità di scansione veloce)
Obiettivi Apocromatico esteso X Line
Risoluzione 0,23 μm/pixel (equivalente a 40X)
Fotocamera Sensore immagine: CMOS da 1,1 in., pixel pitch: 3,45 × 3,45 μm
Illuminatore LED ad alta intensità e elevata resa cromatica (fino a 50.000 ore)
Lettore di codici a barre Codice a barre 1D

WPC (JAN/EAN/UPC-A/UPC-E), NW-7, ITF, Code39, Code128, RSS-14, RSSLimited,

RSSExpanded

Codice a barre 2D QR Code (Model 1 e Model 2), DataMatrix (ECC200), MicroQR, PDF417, MicroPDF417
Rilevamento automatico dei vetrini Sì, le posizioni del rack per vetrini e dei vetrini vengono rilevate automaticamente e visualizzate sul touch screen.
Rilevamento automatico dell'area di scansione
Funzione antivibrazioni
Indicatore LED di stato Stato dell'hardware, stato del rack per vetrini, stato della scansione
Dimensioni esterne (L x P x A) 1060 × 625 × 710 mm (41,7 × 24,6 × 27,9 in.)
Peso 150 kg (330,7 lb)
Alimentazione principale 100–240 VCA, 50–60 Hz
Consumo elettrico Max. 120 W
Condizioni ambientali

Intervallo di temperatura: un massimo intervallo operativo di 7 °C (44,6 °F) compreso tra 15 °C e 27 °C (da 59 °F a 80,6 °F)

(senza repentine variazioni di temperature)

Intervallo di umidità: 35–80% UR (uso in ambienti interni senza condensa)

Intervallo di pressione: dal livello del mare a 2000 m (6561,7 ft)

Sistema di gestione delle immagini Funzioni di visualizzazione Filtri di ricerca, elenco vetrini, portavetrini virtuale, schermo intero, dividi, immagine macro e proprietà del vetrino
Funzioni di osservazione

Panoramica, zoom, rotazione, sincronizzazione, navigatore del vetrino, definizione rotazione, mappa di calore, scala, blocco ingrandimento,

lente d'ingrandimento

Annotazioni e misure Indicatore, quadrato, cerchio, linea e commenti
Funzioni di collaborazione Chat, vista condivisa
Opzioni software DICOM

Le scansioni sono prodotte in base agli standard delle immagini DICOM per l'integrazione con i

sistemi di gestione delle immagini basati su PACS e DICOM

Connettore LIS Integrazione con i sistemi LIS per visualizzare i campioni e i dati dei pazienti nel sistema di gestione delle immagini Evident

Dichiarazione di non responsabilità

Questo prodotto è destinato al solo uso in laboratorio. È responsabilità del cliente assicurare che le prestazioni del prodotto siano idonee allo specifico uso o all'applicazione del cliente.

Per un elenco completi di opzioni e configurazioni disponibili nella propria area geografica, fare clic qui o contattare il proprio rappresentante locale Evident.

Risorse

Video

Risorse dei prodotti