アプリケーションノート

メールでのお問い合わせ

高輝度高演色LED搭載 システム顕微鏡BX53を用いた ピクロシリウスレッド染色によるコラーゲン繊維Ⅰ型・Ⅲ型の同定

コラーゲン繊維の観察には従来、主にマッソントリクローム(MT)、エラスチカワンギーソン(EVG)、エラスチカマッソン(E-M)染色が用いられてきましたが、いずれもⅠ型・Ⅲ型等型式の区別することはできません。コラーゲン繊維の定量評価が必要な創薬研究市場では近年、Ⅰ型・Ⅲ型を検出することができるピクロシリウスレッド染色を用いた偏光観察が注目を集めています。

ピクロシリウスレッド染色を用いた偏光観察の課題

この検出方法ではコラーゲン繊維を干渉色で同定するため、顕微鏡の照明色が昼白色であることが必須条件ですが、併せて目視観察を行うための光量の微調整も必要となります。また、創薬研究では定量評価のために、観察視野の背景を暗くし、偏光成分を持つコラーゲン繊維のみを検出することが求められます。
偏光顕微鏡観察では、太いコラーゲン繊維のⅠ型は明るい黄色~赤色に、網状繊維を含む細いⅢ型コラーゲンは緑色に発現します。一般的なハロゲンランプで色味を一定にして調光する場合、NDフィルターを使用しますが、この手法では段階的(4段階)な調整のみで微調整が効きません。そのため、電圧を変更しての調光が必要となりますが、ハロゲンランプは光量を少なくすると下図のとおり分光特性は黄色~赤色の成分が強くなるため、特に緑色の干渉色で現れるコラーゲン繊維Ⅲ型の認識ができなくなってしまいます。下図のように、ハロゲンランプ(4V)では緑色の波長530nm前後の強度に比べ、オレンジ色の波長630nm前後の強度は約2倍になっています。一方でLEDでは、530nmと630nmで強度の差はほとんどなく、全体的にも一定の強度で発光しています。以上のことからLEDは、Ⅰ型とⅢ型を同じ強度で観察することができるため、ハロゲンランプと比べて2種類のコラーゲン繊維の同定が容易になります。

ピクロシリウスレッド染色を用いた偏光観察の課題

これまでは時間をかけて、区別の付きにくいⅠ型とⅢ型のコラーゲンの判別を行っており、効率も正確性も良い作業ではありませんでした。加えて、偏光観察を行うためにはスキルと知識が必要なこともあり、難易度の高い検鏡とされていました。

BX53LEDの有効性

この課題を解決する手法として、高輝度高演色を搭載したBX53LEDを使用した簡易偏光観察が効果的であるということが近年明らかとなってきました。どの光量においても昼白色を保ち、12V100Wハロゲンランプ(9V時)と同等の分光特性をもっているため、ピクロシリウスレッドを用いたコラーゲン繊維Ⅰ型・Ⅲ型の同定を目的とした観察とは非常に相性が良いといえます。また、簡易偏光観察での検出が可能なため、スキル面での課題も解決することができます。

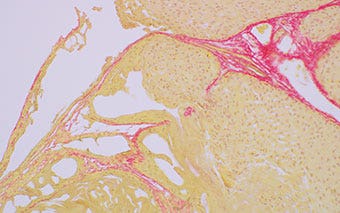
マウスの肺組織(ピクロシリウスレッド染色)

明視野観察
明視野観察

背景が暗くなるよう、光量を調整した状態での偏光観察
Ⅰ型コラーゲンは黄色~オレンジ色、Ⅲ型コラーゲンは緑色で検出されます

100Wハロゲンランプ
<100Wハロゲンランプ>

高輝度高演色LED搭載 BX53LED
<高輝度高演色LED搭載 BX53LED>

コラーゲン繊維の定量評価

創薬研究では、コラーゲン繊維を型毎に判別し、その構成比率などを定量的に評価することが必要となります。オリンパスのイメージングソフトウェアcellSensを用いることによって、サンプル画像の色情報からコラーゲン繊維部分を自動抽出し、面積や面積比を測定することができます。

<サンプル画像>

<サンプル画像>

<測定結果>

<測定結果>

創薬研究の効率化を支えるBX53LED

高輝度高演色LEDを搭載したBX53LEDは、光量に関わらず昼白色を保ち、12V100Wハロゲンランプ(9V時)と同等の分光特性を持っているため、簡易偏光観察でピクロシリウスレッド染色されたコラーゲン繊維Ⅰ型・Ⅲ型の同定が可能です。なお、簡易偏光観察には、透過用アナライザー(U-ANT)と透過用ポラライザー(U-POT)が必要です。
さらに、顕微鏡BX53LED+デジタルカメラDP74+イメージングソフトウェア cellSensカウント&メジャーシステムの併用によって、創薬研究において欠かせないコラーゲン繊維の型毎の定量評価を行うことができます。
すでにBXシリーズの顕微鏡をお持ちであれば、必要なユニットを追加することで、上記のシステムに仕様替えをすることが可能です。

このアプリケーションノートに関連する製品

システム生物顕微鏡

BX53

  • 高演色LED照明による忠実な色再現での標本観察
  • 部分電動化可能なモジュラーシステム
  • 多重染色蛍光画像の簡単取得

詳細はこちら