アプリケーションノート

お問い合わせ

マニュアル顕微鏡を用いたスライド標本のデジタル化

デジタル化が進むスライド標本

近年、スライド標本のデジタル化(ホールスライドイメージング)による業務の効率化が活発に進められています。ホールスライドイメージングを行えば標本を観察する際にも、その都度顕微鏡を用意する必要がありません。データがあれば時間や場所にとらわれずにPC等から閲覧することができ、必要に応じて端末上で位置や倍率を変えて観察できます。また、遠隔地にいる相手とも共通の標本を同時に観察することが可能です。すでにホールスライドイメージングの手段として全電動のスキャナー型システムを導入している施設もありますが、スキャナー型システムは高額で大型なため導入に至っていないケースも多く、デジタル化の恩恵を受けている施設は限られているのが現状です。オリンパスのマニュアル顕微鏡とデジタルカメラを組み合わせれば、より手軽で安価に、限られたスペースでもホールスライドイメージングが行うことができます。

デジタル化が進むスライド標本

標本のデジタル化をより手軽でスピーディーに実現するマニュアルホールスライドイメージング

マニュアルホールスライドイメージングとは、マニュアル顕微鏡とデジタルカメラ、ソフトウェアを組み合わせることにより、電動ステージ不要で標本の全体像のデータを作成することです。特に低倍*でルーペ像を作成するときに効果を発揮します。手動でステージを動かし、リアルタイムに画像を貼り合わせ、任意の範囲で標本全体像を撮影することができます。4倍対物レンズなら15mm×15mmの領域を30秒程度でデータ作成できます。
*画像取得対物レンズ10倍以下推奨

マニュアルホールスライドイメージングを使った応用事例

事例1 施設内での説明資料

施設内での勉強会等においては、高倍像だけでなく低倍像で標本全体を見せながらの説明が必要な場合があります。マニュアルホールスライドイメージングなら、あらかじめ低倍レンズで標本全体像の撮影が可能なため、都度顕微鏡を持ち込まなくても、端末上で標本全体を見せながら議論ができます。また高倍像との連携も可能で、撮影された高倍像が標本全体のどこの部分か表示させることができます。広い視野の中でどこを拡大しているかを確認できるため、ストレスなく観察が可能です。

事例2 学会ポスター・論文用画像

学会ポスターや論文に使う画像で広範囲の領域を示すとき、低倍レンズでも全体を捉えることができない場合がありました。このような時にマニュアルホールスライドイメージングを行えば、つなぎ目なく任意の範囲の画像取得が可能です。撮影した画像をトリミングすることで、必要な範囲のみを切り取って表示することもできます。

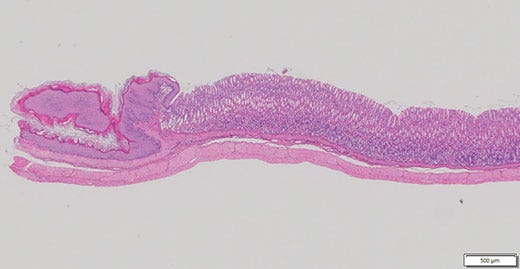
細長い標本も撮影可能

細長い標本も撮影可能

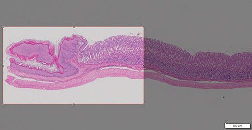
任意の範囲をトリミング

任意の範囲をトリミング

事例3 デジタルアーカイブ

標本全体像をデジタル画像として保存したいとき、これまではスキャナー型システムを使わなければなりませんでした。しかしマニュアルホールスライドイメージングなら、お手持ちの顕微鏡にデジタルカメラとソフトウェアを追加するだけで実施可能です。また、深部の画像が必要な細胞標本は、全体像でマーキングされた位置を確認しつつ、関心のある細胞のみに範囲をしぼり、フォーカスをずらした動画として保存をすることができます。これにより、少ないデータ量で必要な情報を取得することができます。

事例4 遠隔コンサルテーション

教育などを目的として遠隔地とネットワークで画像を共有ながら議論を行う際、従来は顕微鏡下のライブ画像を使用していました。 TV会議システムなどのネットワークにアクセスできる場所に顕微鏡で観察できる環境を用意しなければなりませんでした。マニュアルホールスライドイメージングであらかじめ標本全体像をデジタル化しておけば、都度顕微鏡やスライド標本を用意しなくても、遠隔地にいる相手と同じ標本を同時に観察することが可能になります。

まとめ

オリンパスマニュアル顕微鏡とデジタルカメラ、ソフトウェアを組み合わせて行うマニュアルホールスライドイメージングなら、スライド標本では不可能だった遠隔地との同時観察のほか、作成済のデータを使用することで、手元に顕微鏡がなくても標本を閲覧することが可能です。全電動のスキャナー型システムを設置するよりも手頃に、必要に応じた少ないデータ容量で行うことができるため、省コスト・省スペースで、標本観察とデータ共有の効率向上に貢献します。

このアプリケーションノートに関連する製品


システム生物顕微鏡

BX53

  • 高演色LED照明による忠実な色再現での標本観察
  • 部分電動化可能なモジュラーシステム
  • 多重染色蛍光画像の簡単取得

詳細はこちら

顕微鏡用デジタルカメラ

DP74

鮮明な蛍光イメージングを可能にするDP74顕微鏡用デジタルカメラは、冷却CMOSセンサーを備え、60 fpsの速度で高画質なカラー画像を届けます。カメラの位置ナビゲーターにより、対象領域を目で把握することもできます。

  • 60fpsの速度でサンプルの高画質カラー画像を取得
  • 位置ナビゲーターにより、貼り合わせ画像内の対象領域を目視で把握
  • 冷却CMOSセンサーによりノイズの少ない鮮明な蛍光画像を取得

詳細はこちら

イメージングソフトウェア

cellSens

直感的な操作とシームレスなワークフローを実現するcellSensソフトウェアは、ユーザーインターフェースをカスタマイズ可能なので、レイアウトを自由に変えられます。各種パッケージをご用意し、お客様特有のイメージングニーズに合わせたさまざまな機能を提供しています。Graphic Experiment Managerとウェルナビゲーター機能により、5D画像取り込みが容易になります。TruSight™ デコンボリューションで解像度の向上を実現し、カンファレンスモードを使用して画像を共有しましょう。

  • TruAI™ ディープラーニングセグメンテーション解析により実験効率が向上し、ラベルフリーの核検出と細胞カウントが可能
  • モジュール式のイメージングソフトウェアプラットフォーム
  • 直感的なアプリケーション主導のユーザーインターフェース
  • 単純なスナップショットから高度な多次元リアルタイム実験まで、豊富に取りそろえられた機能セット

詳細はこちら