アプリケーションノート

メールでのお問い合わせ

層板骨と繊維状骨を見分けるための偏光顕微鏡法

骨形態計測で利用する顕微鏡法

骨形態計測は、顕微鏡を用いて骨の代謝や動態の情報を骨切片の形態観察によって読み取り、骨細胞のカウントや骨の質の数値化を行う方法です。非脱灰骨による骨形態計測を例にご説明します。あらかじめテトラサイクリンで骨組織に蛍光標識を行っておき、骨採取、薄切切片に加工後にビラヌエバ染色を行って計測用のプレパラートを作製します。

注目する部位の類骨、石灰化骨、細胞質、核、蛍光標識の各部の形態を詳しく観察しますが、このときに、同じ視野を明視野と蛍光で観察し、それぞれの観察法による画像から必要なパラメーターを読み取ります。したがって、顕微鏡には明視野観察と蛍光観察を簡単な操作で切り替えできる必要がありますが、これは、従来のシステム顕微鏡で普通に実現できていることです。データ取得時には、デジタイザーを用いることもあるため、その場合には視野を固定したままで観察法の切り替えができなければなりません。

こうして得られたデータをもとに評価を行いますが、さらに層板骨と繊維状骨とを偏光顕微鏡法で見分けることでより的確な評価ができることが報告されています。(詳しくは参考文献を参照ください。)

偏光顕微鏡法による主な利点は以下とされています。

  1. セメントライン(新旧の骨基質の境界)の識別が容易で、骨層板1枚1枚の走行が観える。
  2. 内軟骨性骨化の領域と境界が観える。
  3. 蛍光像との比較で、骨の硬い領域が光って観えやすい。

したがって、骨形態計測では、明視野法、蛍光法、偏光法の3つで計測できることが理想的といえます。

骨形態計測で利用するための偏光顕微鏡法の問題点

従来の偏光顕微鏡法をそのまま骨形態計測に応用するには以下の問題があり、同じ視野で明視野観察、蛍光観察、偏光観察を行なうのは難しいとされていました。

偏光顕微鏡法は切片試料の分子配向を光学的に評価する方法として多方面で利用されています。通常、試料をはさんで2枚の偏光板(ポラライザー、アナライザー)の軸を直交(直交ニコル)に配置して、試料にピントを合わせて観察します。試料の分子配向を見るには、その配向方向と偏光板の軸とを45°の方位(対角位)に合せる必要があるので、試料を回転する必要がありました。骨切片の偏光像を図1に示します。視野全体が暗く、配向のある部分が薄明るく見えます。消光している部分を見るには試料の方位を変えなければなりませんので、視野内の配向の様子を全て観察するには、試料を元の位置を原点に180°まで徐々に回しながら観察する必要があります。しかし、複屈折が小さくコントラストの弱い骨切片の場合、鋭敏色板を用いて色によるコントラストをつけても、試料そのものの視野全体が鋭敏色とその類似色になるだけで層板骨の形態は良く見えないことがあります(図2)。そこで、複屈折が小さい試料の偏光コントラストを強調して観察する方法として、コンペンセーターによるコントラスト強調法があります。この方法は生体組織に由来する試料の偏光観察法として、従来から良く知られている方法です。セナルモンコンペンセーターでコントラスト強調した骨切片の偏光像を図3に示します。層板骨の形態が見やすくなっていることがわかりますが、コントラストの明るい部分と暗い部分については見えにくいため、この部分を良く見るためも試料の方位を変えながら観察しなければなりません。

このように偏光観察を行なうには、明視野観察や蛍光像観察を行なう顕微鏡とは別の、回転ステージを備えた顕微鏡が必要とされ、3つの観察法で同じ視野を確保するのは難しく骨形態計測と併用が困難とされていました。

図1 骨切片の偏光像(直交ニコル)

図1 骨切片の偏光像(直交ニコル)

図2 骨切片の偏光像(鋭敏色観察)

図2 骨切片の偏光像(鋭敏色観察)

図3 骨切片の偏光像 (セナルモンコンペンセーターによるコントラスト強調)

図3 骨切片の偏光像 (セナルモンコンペンセーターによるコントラスト強調)

骨形態計測に最適な新しい偏光顕微鏡法

上記の問題点を解決するために、骨形態計測に適した新しい偏光顕微鏡法を開発しました。
この偏光顕微鏡法では、プレパラートを消光位、対角位に回転する必要がありません。明視野観察や蛍光観察と同じステージ操作で観察が行なえ同一視野で3つの観察が可能となりました。また、この偏光観察法では、微小な複屈折の試料のコントラストを好みの色調に調整でき層板骨と繊維状骨を容易に見分けられると共に、簡単な操作で明視野像に近いコントラストで観察できるようになりました。

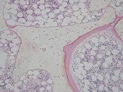
図4に本法による骨切片の偏光像を示します。明視野に類似したコントラストに調整した例です。図5の明視野像と比較すれば、偏光像でありながら自然な階調の像で、層板骨の層状構造が見易いことがわかります。

本稿ではこの新しい偏光顕微鏡法の原理についてのご紹介はしませんが、この新しい方法によって従来の顕微鏡システムで難しいとされていた問題を解決でき、骨形態計測により最適なシステムの利用が可能となりました。

図4 骨切片の偏光像(本法)

図4 骨切片の偏光像(本法)

図5 骨切片の明視野像

図5 骨切片の明視野像

(偏光観察による計測データが骨形態計測に非常に有用であることに関する詳細は、下記の参考文献に詳しく報告されています。)

【骨形態計測分野の参考文献】

1. Increased Osteocyte Death and Mineralization Inside Bone After Parathyroidectomy in Patients With Secondary Hyperparathyroidism. Journal of Bone and Mineral Research ,Vol25,No.11,November 2010,pp2374-2381
2. Impact of Cinacalcet Hydrochloride on Bone Histology in Patients with Secondary Hyperparathyroidism.Therapeutic Apheresis and Dialysis 12(Supplement 1)2008:S38-S43
3. Minimodeling Reduces the Rete of Cortical Bone Loss in Patients With Secondary Hyperparathyroidism. American Journal of Kidney Doseases,Vol49,No3(March),2007:pp440-451
4. Efficacy and Safety of Cinacalcet in Chronic Kidney Disease Stage Ⅲand Ⅳ .Clinical medicine:Therapeutics 2009:1
5. 再発性腎性副甲状腺機能亢進症の1例.CLINICAL CALCIUM vol.21,No4,2011:pp95-100.
6. Bone formation by minimodeling is more active than remodeling after parathyroidectomy. Kidny international(2008)74:pp775-781

サマリー:オリンパス製品の貢献

<理想的な骨形態計測用顕微鏡を実現>
1台の顕微鏡で、簡単な操作によって明視野観察、蛍光観察、偏光観察の3つの観察法をきりかえることができ、同一視野で骨形態計測の各種パラメーターを取得できます。
さらに、この顕微鏡には特別な機材は不要です。偏光観察用の偏光板、波長板やコンデンサ等は、すべて現行のBX53顕微鏡のシステムユニットです。もし、現在、明視野顕微鏡や蛍光顕微鏡をお持ちであれば、必要なユニットを追加するだけですぐに骨形態計測用顕微鏡に仕様変えすることができます。

このアプリケーションノートに関連する製品

システム生物顕微鏡

BX53

  • 高演色LED照明による忠実な色再現での標本観察
  • 部分電動化可能なモジュラーシステム
  • 多重染色蛍光画像の簡単取得

詳細はこちら