藻類からアリまで:2021年4月の人気顕微鏡画像

may-2021-kerry-israel-banner.jpg

Kerry Israel

Kerry Israel

2021年 5月 06日

最近発表された2020年度Image of the Year 受賞者が今月のトップの位置を占めているのは当然ですが、今回は、月間集計で人々の目を引いた他の画像を紹介したいと思います。

今月のテーマは、題して「Aから始まる!」:4月(April)・藻類(algae)・アリ(ants)です。

スタウラストルムと呼ばれる緑藻の一属

この画像の正体に悩む人もいましたが、多くの人は正しく言い当てていました。これは、Staurastrum(スタウラストルム)と呼ばれる緑藻の一属です。面白かったのは、スターウォーズのタイファイターかもしれないと考えた人が二人いたことです。無意識のうちに、ジョージ・ルーカス監督が宇宙船のデザインを思いついた時のインスピレーションを感じ取っていたかもしれません!

画像提供:Linden Gledhill氏

Closteriumと呼ばれる緑藻

Håkan Kvarnström氏のシリーズ「Exploring the Microscopic World with X Line Objectives(X Line対物レンズによる顕微鏡の世界の探索)」からの今月の画像は、とても小さなプランテン(料理用バナナ)ではありません。Closteriumと呼ばれる緑藻です。Closterium属は、淡水環境でのみ生息し、陸生植物に最も近い単細胞生物で、起源は4億5千万年前に遡ります。

Kvarnström氏は、藻類は、地上に到達した後に共生菌との密な関係を形成することにより、生存に不可欠な栄養を取り込む能力を進化させたと最近まで考えられていたと説明しています。しかし、地球の水中に生息していた藻類の先祖は、共生菌を発見し相互依存するために必要な一連の遺伝子および地上で生きる能力をすでに持っていたため、藻類が水域の外で生き残り、地球に定着することができたことが最近の研究で示されています。

藻類にこの前適応能力がなければ、地球は今日とは大いに異なる場所になっていたかもしれないのです。ただし、これらの遺伝子の起源と地上定着との潜在的な相関関係は謎のままです。

説明文と画像提供:Håkan Kvarnström氏。 DIC(40倍)とオリンパスX Line対物レンズで撮影した多焦点合成画像により取得されました。

コタニワタリの葉柄から取り出した30ミクロンの切片の画像2枚

The petiole of a Harts Tongue Fern captured using ultra-violet-induced excitation microscopy zoomed in

紫外線励起顕微鏡法を用いて撮影されたこれらの画像は、ヨーロッパおよび米国東部でよく見られるコタニワタリの葉柄から取り出した30ミクロンの切片の画像2枚を示しています。

画像提供:Karl Gaff氏

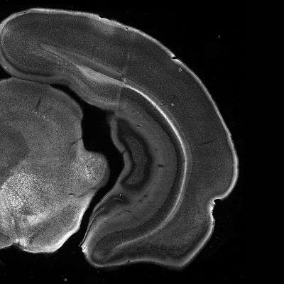
マウス脳の冠状断面の全体像

mouse brain right

知っていましたか?マウスの脳には、平均的な人間の脳に見られるニューロンの約0.07%しかありません!この画像では、脳の冠状断面の全体像が見られます。

モウセンゴケの餌食となったアリ

この画像では、モウセンゴケの餌食となったアリを見ることができます。モウセンゴケは、葉の粘毛で獲物を捉える食虫植物です。

画像提供:Ralph Grimm氏

ボーナスビデオです!

今月は、Benedikt Pleyer氏による微小世界の春の花が私たちの関心を集めました。

「冬の凍える寒さが緩み始めるとまもなく、冬が残していった空虚さの中に生命が戻ってきます。解けだした雪を難なく突き破って成長するスノードロップのような花が想像されるでしょう。

微小世界にもそこにしかない春の開拓者がいます。珪藻です!このガラスのような生物は、雪解けが最も盛んな時期の山の斜面から流れ落ちる、ケイ素が豊富な冷たい水の中で爆発的に増殖します。

ビデオに登場するスリレラ(Surirella)は私のお気に入りです。この珪藻が山の泉の底に深さ2 cmの琥珀色の層を作り始めると、ビバルディの四季の静かなハミングが聴こえてきます。スリレラって、なんて素晴らしい生き物なのでしょう!」

映像および説明文提供:Benedikt Pleyer氏。DICを使用して200~400倍で撮影され、30~60分にスピードアップされています。オリンパスBX53顕微鏡で撮影されました。

このような画像をさらにご覧になるには、@olympuslifescienceのインスタグラムをフォローしてください!

皆さまご自身の画像をシェアすることに関心をお持ちですか?当社の画像投稿サイトをご覧ください。

Kerry Israel

Kerry Israel

マーケティング・コミュニケーション、マネージャー

Kerry Israel氏は、Olympus Corporation of the AmericasのScientific Solutions Groupのライフサイエンスのマーケティングおよびコミュニケーションのマネージャーです。Brandeis Universityで文学士号を取得し、広告・ソーシャルメディア戦略からグラスルーツアウトリーチまで、マーケティングのすべての側面で15年を超える経験を有しています。