形を見る:2022年5月の人気顕微鏡画像

june-2022-kerry-israel-banner.jpg

Kerry Israel

Kerry Israel

2022年 6月 07日

2021年度Image of the Yearの受賞者が引き続き話題となり、Instagramで多くのいいねを獲得しています。 ハートに見える核から星のように広がった毛まで、今月の人気顕微鏡画像はさまざまな形を見せてくれます。

顕微鏡で見た双子葉植物の茎

ここに見えるのは双子葉植物の見事な茎です。 双子葉植物には、単子葉植物とは異なる特徴的な節と節間があり、葉、枝、花が生じます。 維管束の内部構造は、木部(オレンジ色と黄色で標識)、師部(蛍光緑色で標識)、複数の繊維から構成されます。

画像提供:Minjun Shin氏。 オリンパスCX21顕微鏡を200Xで使用し、ラインベルク照明による明視野観察で撮影。

顕微鏡で見た核

細胞でさえ、ハートとハートがつながる瞬間があります。 この画像では、2つの細胞の分離しかかった核が、ハートとハートをつないだ形になっています。 核の線維性タンパク質であるラミンで標識されています。

画像提供:Di Lu氏。 2021 Image of the Year(IOTY)入選。 オリンパスFV3000共焦点顕微鏡で撮影。

その他の2021 IOTY画像を見るには、Image of the Yearページをご覧ください。

顕微鏡で見たミバエの卵巣

この小さなしつこい虫がキッチンで飛んでいるのは見たくないでしょうが、科学的な研究対象としては優れています。 一般にミバエと呼ばれるショウジョウバエは、急速な繁殖能力を持つことで知られています。 ここに示されている卵巣は、重要なのはもちろんのこと、とてもきれいです。

画像提供:Yujun Chen氏。 2021 Image of the Year入選。

顕微鏡で見たウツギの葉

星でしょうか? この画像は、ウツギ の葉の表面を覆う星状の防御毛が、赤い蛍光を発する葉の葉緑素の詰まった細胞を背景に、浮かび上がっている様子を示しています。 アジサイ科に属する ウツギ は、アジア、中米、ヨーロッパで見られる低い花木です。

画像提供:David Maitland氏。 2021 Image of the Year入選。 オリンパスBX51顕微鏡で撮影。

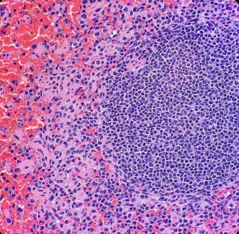
顕微鏡で見たアカクビワラビー脾臓

Kate Murphyさんが撮影したこの画像は、アカクビワラビーの脾臓です。

Kateさんは次のように説明しています。「脾臓は最大のリンパ系器官です。 この器官には主に、白血球を貯蔵し、古い赤血球を再生します。 基本的には血液の品質管理センターとしての役割があります。 脾臓なしでも生きられますが、感染症にかかりやすくなります。 顕微鏡では2つの異なる「脾髄」が見られます。 白脾髄は紫色の円形の細胞群で、 リンパ組織です。 赤脾髄(赤血球に富んでいる)では血液ろ過が行われています。」

画像提供と説明:Kate Murphy氏。 オリンパスBX40顕微鏡で撮影。

私たちは皆、美しさは内面に宿るという表現に馴染みがあります。 この目を引くビデオは、花の茎の表皮細胞と、画像の取得に用いたプロセスを示していて、内面の美を見せてくれます。

「表皮細胞に組み込まれた気孔も見ることができます。 気孔は植物の茎やその他の部分にあります(葉の中だけではないのです)。 気孔は、植物が二酸化炭素を取り入れ酸素を放出するために使用する器官です。 つまり、気孔は植物が「呼吸」をするために使用しています。

ビデオの冒頭で私が使っている液体は蒸留水です。 蒸留水はサンプル内の細胞の緊張力維持に役立ちます。 水とカバースリップも、厄介な光の反射を回避して画像を明瞭にしています。」

ビデオ提供と説明:Adolfo Sánchez-Blanco博士。 オリンパスCX31顕微鏡を使用して最大400xで撮影。

このような画像をもっとご覧になるには、Instagramで@olympuslifescienceをフォローしてください。

ご自分の画像をシェアすることをお望みですか? 当社の画像応募サイトをご覧ください。

Kerry Israel

Kerry Israel

マーケティング・コミュニケーション、マネージャー

Kerry Israel氏は、Olympus Corporation of the AmericasのScientific Solutions Groupのライフサイエンスのマーケティングおよびコミュニケーションのマネージャーです。Brandeis Universityで文学士号を取得し、広告・ソーシャルメディア戦略からグラスルーツアウトリーチまで、マーケティングのすべての側面で15年を超える経験を有しています。