臓器の芸術:2021年7月の人気顕微鏡画像

august-18-2021-kerry-israel-banner.jpg

Kerry Israel

Kerry Israel

2021年 8月 18日

7月に最も人気の高かった画像はすべて臓器に関するものでした。 脳から脾臓、そして眼球まで、身体を作り上げているものを詳細に見ることができました。

オリンパスBX40顕微鏡で撮影されたイヌの網膜組織の切片

Kate Murphy氏の撮影による見事なピンク色のストライプは、単なるかわいい模様ではなくイヌの網膜組織切片の画像です。

Kateの被写体に対する情熱がはっきりと伝わってきます。

「網膜は眼球の奥にある非常に薄い層の特殊細胞で、視神経につながります。 網膜は入ってきた光を神経信号に変換します。 この信号が脳に送られて視覚認識されるのです。

網膜は10層で構成されています。

  1. 網膜色素上皮
  2. 光受容体
  3. 外境界膜
  4. 外顆粒層
  5. 外網状層
  6. 内顆粒層
  7. 内網状層
  8. 神経節細胞層
  9. 神経線維層
  10. 内境界膜

私は眼球が大好きです。 本当に興味をそそられる器官です。 こんなに薄い層の細胞がなければ見ることができないなんておかしいですよね」

画像提供と説明:Kate Murphy氏。 オリンパスBX40顕微鏡で撮影。

in vitroで14日目の初代培養ラット皮質ニューロンの核(緑色)および発達している樹状突起(mpl-inferno LUT)に、ニューロンの輪郭が見えるようにMAP2染色が追加された画像

多くの神経疾患に対して酵素補充療法(ERT)を試験する上で、培養ニューロンは優れたモデルです。 この目を引く画像は、研究者Nadia Efimova氏がラット皮質ニューロンの遺伝子工学的酵素の取り込みについて研究する中で撮影されたものです(酵素の染色は示されていません)。 この画像は、in vitroで14日目の初代培養ラット皮質ニューロンの核(緑色)と発達している樹状突起(mpl-inferno LUT)を示してします。 ニューロンの輪郭が見えるようにMAP2染色が追加されています。

画像提供:Nadia Efimova氏、オリンパス主催の2020 Image of the Year Award入選。

シロイヌナズナの葯

シロイヌナズナの葯の絵文字

膠原繊維と皮膚色素

膠原繊維と皮膚色素細胞の絵文字

ラット胚

ラット胚の絵文字

40種を超えるチョウの羽

40種を超えるチョウの羽の顕微鏡画像絵文字

7月17日は世界絵文字デーということで、2020 Global Image of the Year受賞作品のいくつかを絵文字風アートに変えてみました。 左上から順に:

シロイヌナズナの葯。
画像提供:Jan Martinek氏、2020 Image of the Year Award入選。

アフリカイエヘビ胎児の皮膚の膠原繊維と皮膚色素細胞。
画像提供:Grigorii Timin氏、2020 Image of the Year Award欧州、中東、アフリカ地域最優秀賞。

ラット全胚。
画像提供:Werner Zuschratter氏、2020 Image of the Year Awardグローバル最優秀賞。

40種を超えるチョウの羽から収集した鱗粉。
画像提供:XinPei Zhang氏、2020 Image of the Year Awardアジア・パシフィック地域最優秀賞。

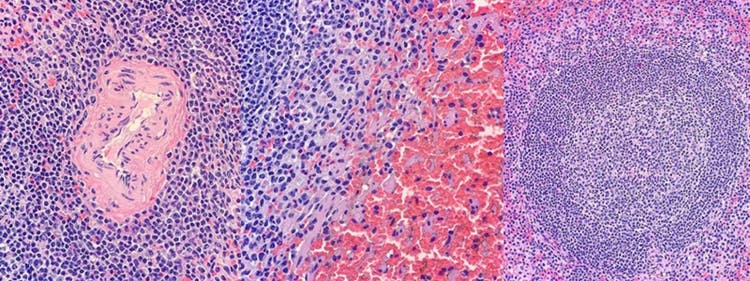
組織染色された脾臓切片

組織染色された脾臓切片

組織染色された脾臓切片

Kate Murphy氏の美しい組織染色によって、これらの見事な脾臓画像はまたしても人気上位5位入りしました。

「脾臓は最大のリンパ系器官です。 脾臓は白血球を貯蔵し、古い赤血球を再生する働きがあります。 つまり血液の品質管理センターと言えます。

顕微鏡では2つの異なる「脾髄」が見られます。 白脾髄は紫色の円形の細胞群で、 リンパ組織です。 赤脾髄(赤血球に富んでいる)では血液ろ過が行われています。

この画像はアカクビワラビーの脾臓です」

画像提供と説明:Kate Murphy氏。 オリンパスBX40顕微鏡で撮影。

ドーパミン作動性ニューロン生成のために分化されたiPS細胞由来オルガノイドの顕微鏡画像。

この画像は、ドーパミン作動性ニューロン生成のために分化されたiPS細胞由来「オルガノイド」を示しています。 この実験は、これらの細胞とCRISPR-Cas9遺伝子編集技術を用いて、まれな神経発達疾患をモデル化することを目的としています。

画像提供:Scott Bell氏、マギル大学ダグラス研究所のOlympus Discovery Center。研究者が先進の顕微鏡機器を利用できるように、先端生命科学を支援する目的で設計されたプログラムの一環。

このような画像をもっとご覧になるには、Instagramで@olympuslifescienceをフォローしてください。

ご自分の画像をシェアすることをお望みですか? 当社の画像応募サイトをご覧ください。

Kerry Israel

Kerry Israel

マーケティング・コミュニケーション、マネージャー

Kerry Israel氏は、Olympus Corporation of the AmericasのScientific Solutions Groupのライフサイエンスのマーケティングおよびコミュニケーションのマネージャーです。Brandeis Universityで文学士号を取得し、広告・ソーシャルメディア戦略からグラスルーツアウトリーチまで、マーケティングのすべての側面で15年を超える経験を有しています。