IXplore Live for Luminescence

専用遮光ボックスモデル

専用遮光ボックスと顕微鏡、電動ユニットを一体化。電動ステージによるウェルプレート多検体観察から自動還流装置での発光基質の自動添加まで、電動システムならではの作業効率化を実現します。

本システムは、科学技術振興機構(JST)先端計測分析技術・機器開発プログラムで大阪大学産業科学研究所の永井健治教授らと株式会社東海ヒット及びオリンパス株式会社が共同で開発した成果を既存の製品と組合せパッケージ化したものです。

電動ステージを用いたマルチウェルプレートの多検体観察、ハイコンテンツ解析を実現

電動ステージにより、ウェルごとに任意のエリアを自動で観察

電動ステージにより、ウェルごとに任意のエリアを自動で観察

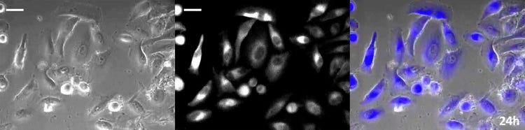
顕微鏡用培養装置と自動基質添加・灌流装置による安定した長時間観察

培地の灌流および発光基質の自動添加による長時間観察(24時間:位相差/ 発光/ 重ね合わせ)

培地の灌流および発光基質の自動添加による長時間観察(24時間:位相差/ 発光/ 重ね合わせ)

標本作製、画像の取得・提供にご協力賜りました先生:大阪大学産業科学研究所生体分子機能科学研究分野教授 永井健治 先生、助教 服部満 先生

発光・蛍光イメージング、光刺激、長時間観察まで多彩なアプリケーションに対応

神経幹細胞の自己複製におけるAscl1 遺伝子発現と細胞周期を観察。蛍光グローブ“Fucci”と組み合わせることで、細胞周期の各ピリオドにおけるAscl1 遺伝子発現の振動を詳細に可視化。

神経幹細胞の自己複製におけるAscl1 遺伝子発現と細胞周期を観察。蛍光グローブ“Fucci”と組み合わせることで、細胞周期の各ピリオドにおけるAscl1 遺伝子発現の振動を詳細に可視化。

標本作製、画像の取得・提供にご協力賜りました先生:京都大学生命科学研究科 脳機能発達再生制御学 今吉格先生、京都大学 ウイルス・再生医科学研究所 増殖制御システム分野 磯村彰宏先生、影山龍一郎先生

創薬研究の薬効評価における薬剤応答イメージング

医薬品の主要な標的分子群であるGPCRの薬剤による活性計測が、より生体に近い反応を示すスフェロイドを用いた定量的なカルシウムイオン濃度測定により可能となります。また、マルチウェルプレートを用いることで、濃度や環境条件による効果の違いや新薬候補となるライブラリを用いた細胞への影響のスクリーニングなどハイコンテンツ細胞解析が可能となります。

更には顕微鏡用培養装置と自動基質添加・培地灌流装置により、長時間安定的に細胞の形態分化や薬剤応答などを解析できます。発光による計測は蛍光よりも高いシグナル/ノイズ比を実現するため、標識に用いることで細胞のシグナル伝達や遺伝子発現などの僅かな変化を明瞭に検出します。

創薬研究の薬効評価における薬剤応答イメージング

メールでのお問い合わせ