顕微鏡の構成と仕様 その1 ~観察系(対物レンズ)~

メールでのお問い合わせ

顕微鏡の構成と仕様 その1 ~観察系(対物レンズ)~

基礎編では、顕微鏡を構成する各部位の仕様について説明した。
応用編では、観察系と照明系に分けて基礎編の内容を深く掘り下げて学習する。

1.観察系

ここでは、対物レンズ、接眼レンズ、撮影レンズについて、どのような仕組みになっていて、また、どのような働きをするのかを知り、観察系の果たす役割を考える。なお、基礎編で説明した内容については省略している。基礎編を再読してほしい。

1-1.対物レンズ(OB:Objective)

■仕様

同焦点距離( PFD:Parfocalizng Distance of the Objective)

焦点を合わせたときの対物レンズの胴付き面から物体面(試料のある面)までの距離を指す。
JISでは、45+15m(m=-1、0、1、2、3、4)mmの範囲と定められている。
また、カバーガラスがある場合は、以下の式によって定められる。

図1 作動距離と同焦点距離

図1 作動距離と同焦点距離

図2 カバーガラスによる同焦点距離の違い

図2 カバーガラスによる同焦点距離の違い

焦点距離(Focal Length)

通常、1枚のレンズの焦点距離はレンズの中心から焦点までの距離で、1つのレンズには1つの焦点距離がある。しかし、これはレンズの厚さを考えないときの 定義であり、実際の厚さのあるレンズの場合は、2つの「主点」と呼ぶ基準位置から焦点までの距離になる。前側(物体側)主点(H)から前側焦点、後側(像 側)主点(H')から後側焦点までの距離がそれぞれ等しく、焦点距離となる。凸、凹単レンズのさまざまな形とその時の主点位置の関係を図3に示す。主点 は、レンズの外側にある場合もある。

図3 単レンズの種類と主点の位置の概略 (H:前側主点(物主点)、H':後側主点(像主点))

図3 単レンズの種類と主点の位置の概略

(H:前側主点(物主点)、H':後側主点(像主点))

図4 複合光学系(主点基準のもの:像距離s,s'、焦点基準のもの:像距離z,z')

図4 複合光学系(主点基準のもの:像距離s,s'、焦点基準のもの:像距離z,z')

倍率( M:Magnification)

倍率とは、無限遠補正系と有限補正系で倍率の規定のしかたが異なる。次の点に注意したい。

無限遠補正系は(顕微鏡の構造による分類 その2 ~結像方式による分類~ 2-2.無限遠補正光学系 参照)、対物レンズの他に平行光線を収束させる結像レンズが組込まれ、結像レンズによって中間像が作られる。このため、対物レンズの焦点距離と結像レンズの焦点距離の比率で倍率が決まる。例えば、結像レンズの焦点距離が180の場合、10倍の対物レンズでは18mmの焦点距離となる。対物レンズと結像レンズの間隔を変えても倍率は変わらない。
一方、有限補正系は(微鏡の構造による分類 その2 ~結像方式による分類~ 2-1.有限補正光学系 参照)、対物レンズ単体で中間像を結ぶため、必ずしも倍率と焦点距離は一致していない。対物レンズの焦点距離に関係なく、物体と像との関係が10倍であれば10倍の倍率となる。

瞳位置・瞳径・スポット径

カメラのレンズのように絞りを内蔵する一般的なレンズでは、物体側に「入射瞳」、像側に「射出瞳」と呼ぶ場所がある。入射瞳は、絞りよりも物体側のレンズによってできる絞りの像であり、射出瞳は、絞りよりも像側のレンズによってできる絞りの像であって、その大きさは絞りの大きさとは異なる。
「顕微鏡の能力 その2 ~コントラスト・画質を決める要素~ コラム:開口絞りの調整」のように、鏡筒から接眼レンズを抜き取って中を覗くと対物レンズの中に開口絞りが見える。これは、対物レンズの瞳面にコンデンサの開口絞りが投影されたものである。対物レンズの場合は、「微鏡の構造による分類 その2 ~結像方式による分類~ 参考 テレセントリック光学系の話」で述べたようにテレセントリック光学系になっていることから、入射瞳は∞位置、射出瞳は後側焦点位置にある。対物レンズでは、射出瞳を単に瞳と呼ぶ。

図5 複合光学系の2つの瞳
図5 複合光学系の2つの瞳

顕微鏡の光学系においては、瞳位置や瞳径を決めるのは対物レンズとなる。次の式で求めることができる。

対物レンズ用浸液

対物レンズとカバーガラスの間に入れる液体を「浸液」といい、浸液を使って観察するための対物レンズを「液浸(系)対物レンズ」という。

対物レンズは、試料に密着してカバーガラスがあり、浸液があり、対物レンズがあるという前提で設計されている(図7)。
このため、試料がカバーガラスよりも奥(深部)にある場合(図8)、浸液の屈折率と培養液の屈折率が違うと、培養液とカバーガラスとの境界で設計と異なる光の屈折が生じて球面収差が発生する。したがって深部観察をする場合は、培養液の屈折率に近い浸液を使うのが望ましい。

図7 対物レンズと浸液

図7 対物レンズと浸液

図8 屈折率の違いによる画像への影響
図8 屈折率の違いによる画像への影響

浸液には、水、オイル、グリセリン、シリコーンオイルがある。それぞれの特徴を下表に示す。

表1 浸液の屈折率と特徴

浸液
屈折率
特徴
1.33
培養液の屈折率は水に近いため、球面収差の劣化が小さい。
オイル
1.52
分解能を最大に保つことができる。
グリセリン
1.47
屈折率は水とオイルの中間となる。
シリコーンオイル
1.40
細胞の屈折率に近いため、水浸対物レンズより球面収差は小さい。

対物レンズと浸液を選ぶポイントは、薄いサンプルや見たい部分がカバーガラスに密着している場合は、開口数が大きい油浸対物レンズが適しており、厚いサンプルの深部や見たい部分がカバーガラスから離れている場合は、試料の屈折率に近い水浸対物レンズが適している。屈折率のミスマッチで起こる球面収差を抑え、画像の劣化がない。
また、細胞の屈折率は約1.38のため、シリコーンオイル浸対物レンズがより適している。生体内の深部まで解像度のよい観察が可能である。

表2 液浸(系)対物レンズとサンプルの関係

対物レンズ
薄いサンプル
厚いサンプル
油浸対物レンズ NA1.42
水浸対物レンズ NA1.2
シリコーンオイル浸対物レンズ NA1.05

浸液は、当初、対物レンズの開口数(NA)を大きくするための手段として油浸対物レンズが作られたが、平らなものだけではなく、奥行きのあるものをフォーカスを徐々に変えながら厚み方向のデータを取得するといった使い方(共焦点レーザ顕微鏡)に変わり、水浸対物レンズ、さらにシリコーンオイル浸対物レンズが誕生した。

■種類

各種観察用対物レンズの特徴

表3 観察用対物レンズの特徴

種類
特徴
明視野観察用対物レンズ
明視野観察用。色のにじみが少なくコントラストが高い。
位相差観察用対物レンズ
対物レンズの瞳位置に位相板が内蔵され、専用コンデンサと組合わせて使用する。表示は緑色。
偏光観察用対物レンズ
レンズ面の偏光の乱れが少なく、レンズのひずみが小さくなるよう設計されている。開口数の小さい方が偏光特性に優れている。また、微細な試料を観察する場合は、開口数の大きい方が優れている。表示は赤色。
蛍光観察用対物レンズ
短波長(紫外線)と長波長(赤外線)の透過率が高く、開口数が大きいレンズである。レンズ自体の蛍光(自家蛍光)が少ない。
レリーフコントラスト観察用対物レンズ
プラスチックシャーレなど、複屈折のある容器で立体的な観察ができる。レンズ内部にモジュレータが内蔵され、専用コンデンサと組合わせて使用する。
明暗視野観察用対物レンズ
(金属顕微鏡用)
レンズ周辺部にリング状の照明光路が付いている。
微分干渉用、蛍光用もある。
微分干渉観察用対物レンズ
無染色試料の観察では、微分干渉観察で細胞の形を検出し、蛍光観察に切換えて蛍光シグナルを見るといった使い方をする。このため、蛍光観察用と共用できるものが多い。
偏光観察用の対物レンズほどではないが、レンズのひずみが小さくなるよう設計されている。
分散染色観察用対物レンズ
位相差観察用対物レンズの位相板の位置に、同じ大きさの遮光リングが内蔵されている。

コラム:ユニバーサル対物レンズ

対物レンズが、高NA,広い波長帯での均一な高透過率と色収差補正、低自家蛍光、低光学歪、良好なザイデル収差補正、良好な瞳収差補正、良好な瞳位置設定、長作動距離といった仕様項目のすべてを基本性能として高いレベルで達成できれば、理想の対物レンズである。全ての観察方法で高分解能、高コントラストで良好な作業性を達成できる、真のユニバーサル対物レンズと呼べる。しかし、上記の項目には、両立が困難で相反する特性が多いので実現は難しく、現在、このような対物レンズは存在しない。

そこで、微分干渉性能とUV励起が可能な蛍光性能の2つを、基本性能として高いレベルで両立させた対物レンズを「ユニバーサル対物レンズ」と呼び、オリンパスでは記号「U」を表示している。

補正環付き対物レンズ/絞り付き対物レンズの特徴

表4 補正環付き対物レンズ・絞り付き対物レンズの特徴

種類 特徴
補正環付き 補正環対物レンズ 開口数(0.85以上)の大きな乾燥系の対物レンズである。
乾燥系で高分解能観察したい全ての用途に適する。
培養容器用対物レンズ 倒立顕微鏡で培養容器のシャーレを通して観察する際、プラスチックディッシュを使う場合は容器の厚みによる変動が大きい。このため、開口数に関わらず補正環機構が付いている。
水浸対物レンズ 水での液浸観察に対応した対物レンズ。開口数が大きい。
カバータイプの対物レンズは、生細胞の高分解能観察(微分干渉、蛍光)に、ノーカバータイプの対物レンズはIR微分干渉観察やパッチクランプ実験に適する。
シリコーンオイル浸対物レンズ シリコーンオイルでの浸液観察に対応した対物レンズ。開口数が大きい。
生細胞の高分解能観察(微分干渉、蛍光)用で、水浸対物レンズより高解像観察に適する。
LCD用対物レンズ 液晶基板観察用。
基板の厚さによる球面収差を補正する。
絞り付き 絞り付き対物レンズ 開口数を変えられる絞りを内蔵している。
蛍光観察、暗視野観察に適する

図9 補正環付き対物レンズ・絞り付き対物レンズ


図9 補正環付き対物レンズ・絞り付き対物レンズ

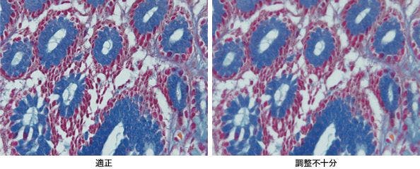
図10 補正環付き対物レンズによる調整の影響


図10 補正環付き対物レンズによる調整の影響

図11 絞り付き対物レンズによる調整の影響
図11 絞り付き対物レンズによる調整の影響

■使用上の留意点

対物レンズの選択法

対物レンズには、開口数、作動距離、収差補正などの要素がある。対物レンズの選択において次の点に留意したい。