デジタルイメージングシステム 「APEXVIEW APX100」を発売

観察開始までにかかる時間は最短10秒、研究効率の向上に貢献

オリンパス株式会社の完全子会社である株式会社エビデント(代表取締役社長:齋藤 吉毅)は、ストレスフリーな操作で高精細な画像を取得し、研究効率向上に貢献するデジタルイメージングシステム「APEXVIEW APX100(エイペックスビュー エーピーエックス100)」を2022年9月1日から全世界で発売予定です。

本製品は、当社の従来型顕微鏡と同様に高い光学性能を持ち、高品質な蛍光画像や明視野画像を取得可能です。再生医療やがん研究、脳科学研究など、幅広い分野の研究者のニーズに応えます。新機能として、AIを活用したスマートサンプルナビゲーターを搭載しており、本体にサンプルをセットすると、自動的にサンプルを検出し、サンプルセットから最短10秒で観察を開始できます。また、無色透明なサンプルでもコントラストを付けて立体的に観察できる、独自の観察手法・グラディエントコントラストに対応しています。さらにエビデントが提供するクラウドサービス「Olympus Life Science Solution Cloud(オリンパスライフサイエンスソリューションクラウド、以下OLSC)」に連携可能で、顧客の効率的なデータ管理にも貢献します。

▪主な特長

  1. 観察開始までの準備工程が最短10秒、研究効率を向上し、ストレスフリーな使用感を実現
  2. 新たな観察手法・グラディエントコントラストも加えた高い光学性能により、研究の信頼性向上
  3. 自動データ整理機能やクラウド(OLSC)との連携により、効率的なデータ管理に貢献

APEXVIEW APX100

▪開発の背景

様々な産業分野でデジタル化が進む昨今、顕微鏡を使う研究者の方々からも、デジタル化によるワークフローの改善を求める声がありました。例えば研究者からは、「観察前に行うサンプル探しやピント調整、研究の準備段階にかかる手間を削減して、実験結果の分析・考察に集中したい」というニーズがありました。このようなニーズに応えるべく、簡単に使えて、研究の効率化に貢献できる、デジタルイメージングシステム「APEXVIEW APX100」を開発しました。

▪主な特長の詳細

1. 観察開始までの準備工程が最短10秒、ストレスフリーな使用感を実現し、研究効率を向上

本製品はAIを活用したスマートサンプルナビゲーターを搭載しています。サンプルをサンプルホルダーにセットすると、ホルダー全体のマクロ画像を自動撮影し、AIがサンプルの位置を認識します。これによりサンプルの場所探しなど、観察前の煩わしい準備工程を自動化し、最短10秒で観察をスタートできます。また、新しいアルゴリズムの開発により、従来の顕微鏡ソフトウェア「cellSens(セルセンス)」に比べて、AF(オートフォーカス)速度が最大12倍に向上しているため、ユーザーはストレスを感じることなく使用できます。さらに本製品は、BOX型を採用しているため、従来の蛍光観察には必要だった暗室環境が不要です。これらの機能・仕様により、ユーザーの研究効率向上に貢献します。

APX100での観察開始までの流れ

APX100での観察開始までの流れ
手順1(画像左):APX100にサンプルをセットし、蓋を閉じる。
手順2(画像中央):サンプルホルダー全体のマクロ画像を取得し、AIがサンプルを自動検出。
手順3(画像右):AF等を活用し、フォーカスを微調整するだけですぐに観察スタートできる。

APX100と従来の顕微鏡のワークフローの比較

APX100と従来の顕微鏡のワークフローの比較
研究の準備段階にかかる手間を削減して、実験結果の分析・考察に集中できる。

2. 新たな観察手法・グラディエントコントラストも加えた高い光学性能により、研究の信頼性向上

本製品は高い光学性能を誇る、当社の対物レンズラインアップ25種類に対応しています。高演色LED光源や、色再現性に優れたカラーカメラを使用することで、目視観察に限りなく近い忠実な色味を再現しています。さらに、本製品ではエビデント独自の新たな透過観察手法グラディエントコントラストに対応。これにより、iPS細胞や脳スライスのような厚みのあるサンプルにおいて、高コントラストで立体的な観察が可能です。

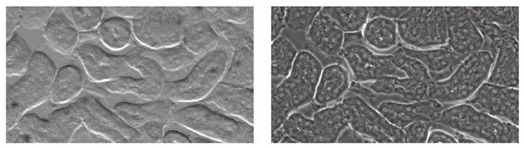
マウスの腎臓組織の観察比較(左:グラディエントコントラスト観察、右:位相差観察)

マウスの腎臓組織の観察比較(左:グラディエントコントラスト観察、右:位相差観察)
グラディエントコントラスト観察の方が、位相差観察に比べて組織の輪郭を立体的に観察できている。

3. 自動データ整理機能やクラウド(OLSC)との連携により、効率的なデータ管理に貢献

本製品が撮影したデータは、サンプル毎に自動的に生成されるフォルダへ保存されます。また、本製品はエビデントが提供するクラウドサービスOLSCと連携ができるため、研究に関するデータを一元管理することが可能です。過去の実験データの参照や、研究者間での共有をスムーズに行うことで、正確で効率的なデータ管理を実現することができます。

データの自動整理

データの自動整理
取得したデータは、サンプルごとに自動で保存される。

クラウドサービスOLSCと連携

クラウドサービスOLSCと連携
クラウド上でデータの一元管理ができる。効率よくスムーズにデータの参照、共有が可能。

APX100デジタルイメージングシステムの詳細情報はこちら

本リリースに掲載されている社名及び製品名は各社の商標または登録商標です。

EVIDENTについて


私たちは、オリンパスとして100年以上にわたり、顕微鏡の光学精度において業界標準を確立し、これまで見えなかったものを見えるようにしてきました。私たちEvidentは、優れた光学技術と最新のデジタルイノベーションを組み合わせた高度な画像ソリューションで、科学者や医師、エンジニアの皆さんが目に見えないものを明らかにするお手伝いをしています。

当社のライフサイエンスポートフォリオは、研究、臨床診断、教育をサポートし、基本的な明視野・暗視野顕微鏡から高度な蛍光分析、4D解析、デジタルパソロジーまで、幅広いイメージング手法を提供します。私たちは工業用顕微鏡において、日常的な検査から複雑な品質管理や製造分析まで、多様なタスクに対応するために設計されたレーザー走査、デジタルマイクロスコープ、半導体顕微鏡を通じて、精度と柔軟性を実現しています。

Evidentは、新しい治療法の推進や、製品の完全性の確保、未知の領域の探求において、隠れた答えを解き明かし、画期的なブレークスルーを新たに実現できる使いやすいツールを提供することにより、発見の新時代を築いています。

Evidentは東京に本社を置き、日本、米国、ドイツ、中国に研究開発・製造の拠点を有するとともに、世界中に事業拠点と専任の販売・サービス拠点を展開しています。詳細については、当社のウェブサイト EvidentScientific.com をご覧ください。

お問い合わせ先:
Michelle Gaynor
michelle.gaynor.ext@evidentscientific.com
+1 609 828 3634